Volume 59 - Issue 11 - November 2019

Consultant

Diabetes Q&A
Diabetes Q&A
05/29/2022
In this Diabetes Q&A, Kelley Williams, MD, and Kim A. Carmichael, MD, discuss the relationship between chronic kidney disease and diabetes, including the latest diagnostic criteria and the therapeutic...
05/29/2022
Photoclinic
Photoclinic
07/29/2021
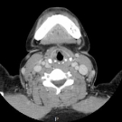
A 37-year-old woman with no related medical history presented to the clinic with right-sided neck swelling. She reported having had swelling in the area for approximately 6 years, but she had recently noted...
07/29/2021
What's the Take Home?
What's the Take Home?
01/31/2021
A 60-year-old man presents for evaluation of abnormalities discovered during a biannual employment physical examination. The findings in question included obesity, abnormal blood glucose and glycated...
01/31/2021
Photoclinic
Photoclinic
01/15/2021
A 28-year-old active-duty man presented with a 4-week history of multiple tender, enlarging nodules on the scalp.
01/15/2021
Photoclinic
Photoclinic
12/29/2020
A 15-year-old girl with a history of depression was brought to the emergency department by emergency medical services for nausea and vomiting. Five hours prior to presentation, she had intentionally taken...
12/29/2020
Photo Quiz
Photo Quiz
12/27/2020
A 14-year-old girl presented with an ongoing problem with dental crowding in the area of the upper central incisors; a previous CT scan of the head had identified a cyst emanating from the area of the...
12/27/2020
Case In Point
Case In Point
11/23/2020
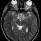
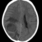
A 13-year-old previously healthy girl with a maternal family history of antiphospholipid syndrome presented with headache, blurry vision, and bilateral papilledema that had been confirmed with MRI and that...
11/23/2020
Case In Point
Case In Point
05/27/2020
A 3-month-old boy was brought to the clinic by his mother with concern for abnormal head shape. He had been born at term via spontaneous vaginal delivery, without any complications.
05/27/2020
Feature Article
Feature Article
05/04/2020
The authors conducted a retrospective review of cases of botulism in infants admitted to a Texas hospital from January 2010 to May 2018. They describe the epidemiology of infant botulism in Texas, along...
05/04/2020
Photoclinic
Photoclinic
11/27/2019
A 23-year-old man was referred to our hospital by his primary care physician due to headaches, palpitations, and recent-onset hypertensive urgency.
11/27/2019
Photo Essay
Photo Essay
11/06/2019
This article is part 1 of a 15-part series of Photo Essays describing and differentiating conditions affecting the nails.
11/06/2019