Peer Reviewed
Isolated Idiopathic Intracranial Hypertension as the Initial Presentation of Pediatric Lupus
Christopher Kuo, MD
Department of Pediatrics, Children’s Hospital Los Angeles, Los Angeles, California
Cynthia Salvant, MD
Department of Rheumatology, Children’s Hospital Los Angeles, Los Angeles, California
Citation:
Kuo C, Salvant C. Isolated idiopathic intracranial hypertension as the initial presentation of pediatric lupus. Consultant. 2019;59(11):329-333.
Systemic lupus erythematosus (SLE) is a chronic inflammatory disease characterized by autoantibody production with multisystem involvement. Approximately 9% to 45% of pediatric SLE patients have central nervous system (CNS) involvement.1 CNS involvement continues to be a diagnostic and therapeutic challenge in patients with SLE. These wide-ranging CNS manifestations can include headache, thrombosis, seizures, and psychosis. Most commonly, seizures and psychosis are the presenting manifestations in pediatric SLE patients.1
Despite headache being a common manifestation of SLE, idiopathic intracranial hypertension (IIH) is a rare cause of headache in SLE.2 IIH (also referred to as pseudotumor cerebri) has been recognized as a complication in SLE. To our knowledge, no pediatric cases have been reported with isolated IIH as the initial presentation of SLE. We report a case of IIH as the sole initial presentation of SLE in a 13-year-old girl and explore the rarity of such a presentation by way of a literature review.
CASE REPORT
A 13-year-old previously healthy girl with a maternal family history of antiphospholipid syndrome (APLS) was transferred from a referring hospital for further workup after presenting with headache, blurry vision, and bilateral papilledema that had been confirmed with magnetic resonance imaging (MRI) and that was concerning for venous sinus thrombosis.
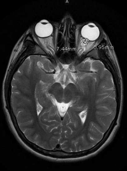
Her headaches had been occurring for 1 year at the time of her presentation, and she described them as a sharp shooting pain with occasional “vision blackouts.” Two months prior to presentation, her headaches had progressively worsened with associated photophobia, phonophobia, and emesis. She was found to have papilledema on funduscopic examination by an ophthalmologist. Findings of computed tomography scans of the head were normal. MRI of the orbits showed findings consistent with intracranial hypertension (IH) (Figure), and magnetic resonance venography (MRV) findings were concerning for superior sagittal sinus thrombosis. She denied taking any medications, specifically oral contraceptives, vitamin A, steroids, and antibiotics.
Upon arrival, anticoagulation was initiated with fondaparinux after clearance by neurosurgery and hematology specialists. Given the significant family history of APLS, a rheumatologist was consulted, and blood was drawn for laboratory workup.

Figure. MRI of the orbits showed findings consistent with intracranial hypertension.
Physical examination. The patient was in no acute distress, with a temperature of 36.8°C, a pulse rate 86 beats/min, a blood pressure of 101/61 mm Hg, and a respiratory rate of 13 breaths/min. Her weight was 47 kg and her height was 158 cm, corresponding to a body mass index of 18.8 kg/m2. Papilledema was noted bilaterally; the pupils were equal, round, and reactive to light, and extraocular movements were intact. Neurologic examination findings were normal, with intact cranial nerves II through XII and normal strength and reflexes. There were no appreciable joint effusions, tenderness, or erythema.
Diagnostic tests. Initial laboratory test results showed leukopenia (white blood cell count, 3670/µL), thrombocytopenia (platelet count, 90 × 103/µL), and hemolytic anemia (hemoglobin, 10.9 g/dL; direct antiglobulin test, positive). An infectious workup was pursued, with results pending.
On hospital day 2, a neuroradiologist was consulted to reexamine images from the referring hospital and reported no evidence of venous sinus thrombosis. Thus, fondaparinux was discontinued.
On hospital day 3, the patient’s headaches persisted, along with intermittent blurriness and vision blackouts. Thus, lumbar puncture (LP) was performed, revealing an elevated opening pressure of 36.4 cm H2O. Of note, her laboratory test results did not meet all of the American College of Rheumatology (ACR) criteria for SLE during that time (autoimmune hemolytic anemia, lymphopenia, and thrombocytopenia).3,4 Additionally, given the rarity of IIH as a manifestation of SLE, the lack of other systemic findings on examination, and the contraindication of glucocorticoids in patients with papilledema, she was not started on therapeutic drugs for SLE.
Her symptoms improved after the LP, but she continued to have intermittent vision changes. She remained clinically stable and received a diagnosis of IIH. She was initiated on acetazolamide, 250 mg daily, and was discharged with scheduled follow-up appointments.
Outcome of the case. One month after discharge, the girl presented to an outside hospital with severe anemia (hemoglobin, 3 g/dL). She met the full ACR criteria for SLE (antinuclear antibody, positive at 1:1280 dilution; autoimmune hemolytic anemia; lymphopenia; anti-double stranded DNA, positive; anticardiolipin antibodies (aCL) immunoglobulin M (IgM), positive; lupus anticoagulant (LAC), positive; and arthritis). Infectious workup findings remained negative. She received high-dose glucocorticoids and was started on hydroxychloroquine. Upon discharge, she was urgently induced with rituximab infusion and has remained clinically stable since.
LITERATURE REVIEW
Methods. A retrospective systemic literature search was performed with PubMed using the terms SLE, systemic lupus erythematosus, lupus, pediatric, pseudotumor cerebri, idiopathic intracranial hypertension, and neuropsychiatric lupus. Only pediatric populations were included, and studies that included headaches with pseudotumor cerebri were selected. Studies with an exclusively adult population (>21 years old) or with patients who did not meet ACR or Systemic Lupus International Collaborating Clinics (SLICC) criteria for SLE were excluded. All articles with sufficient data in terms of diagnosis of SLE and/or neuropsychiatric SLE (NPSLE) were selected. Studies that were not related to SLE patients were excluded, as were studies that presented duplicate data.
Results. Fourteen articles published between 1968 and 2018 were identified (Table).5-18 A total of 18 patients with IIH prior to the diagnosis of SLE were identified (15 girls and 3 boys). There was a wide variety of ethnicities (African American, 4 [22%]; Afro-Caribbean, 1 [6%]; white, 1 [6%]; Italian, 1 [6%]; Cuban, 1 [6%], Arab, 2 [11%]; Ashkenazi Jewish, 1 [6%]; Jewish not otherwise specified, 1 [6%]; and 6 [33%] without any records). Three patients (17%) were prepubertal (<13 years old); 10 (56%) were pubertal (13-15 years old), and 5 (28%) were postpubertal (>15 years old). Most patients (13 [72%]) did not have any risk factors for developing secondary IH (2 [11%] had risk factors; 3 [17%] did not have any records). Documented risk factors included hypothyroidism, demeclocycline use, and obesity.
All of the patients had systemic symptoms prior to presentation. Nine patients (50%) had no records for the presence of antiphospholipid antibodies (aPL), 6 (33%) had normal aPL, and 3 (16%) had positive aPL. None of the patients with positive aPL had evidence of thromboembolism.
The treatment course in the 18 identified cases of IIH associated with SLE varied. Most (17 [94%]) received corticosteroids. One patient (6%) received LP followed by placement of ventricular valve, 1 (6%) received mannitol, and only 4 (22%) received acetazolamide. Most (13 [72%]) of the patients had resolution of IIH, and 3 (17%) relapsed (1 without records and 1 with persistence of papilledema).
|
Table. Literature Review Epidemiology and Systemic Symptoms |
||||||||
|
Authors |
Year Published |
Patients Meeting Inclusion Criteria |
Age/ |
Ethnicity |
Symptoms |
Imaging Findings |
IIH Risk Factors |
Additional Symptoms/ |
|
Bettman et al5 |
1968 |
1 |
21/F |
African American |
Papilledema |
No evidence of venous sinus thrombosis |
None |
Migratory arthralgia, low-grade fever, hypertension |
|
Hammami et al6 |
1973 |
1 |
12/M |
Italian |
Nuchal rigidity, papilledema, clonus, headache |
Pneumoencephalography normal |
None |
Fever, weakness, anorexia, purpuric rash, adenopathy, splenomegaly |
|
Silberberg et al7 |
1973 |
1 |
18/F |
Not reported |
Severe headache, vomiting, diplopia, papilledema |
None |
None |
Hypertension, hematuria, chills, fever |
|
Carlow et al8 |
1974 |
1 |
21/F |
Cuban |
Papilledema |
Fluorescein fundus angiography with papilledema without other retinal vasculopathy; plain skull series and brain scan normal |
Obesity, demeclocycline exposure |
Fever, fatigue, malaise, alopecia |
|
Kaplan et al9 |
1985 |
1 |
11/F |
White |
Headache, diplopia, photophobia, papilledema |
Head CT with and without contrast normal |
None |
History of pain and swelling of great toe bilaterally |
|
DelGiudice et al10 |
1986 |
3 |
14/F, 14/F, 13/F |
African American |
Headache, visual symptoms, papilledema |
Not reported |
Not reported |
Fever, oligoarthritis, edema of hand, polyarthritis, hypertension |
|
Vachvanichsanong et al11 |
1992 |
1 |
9/M |
Not reported |
Headache, papilledema |
Head CT normal |
None |
Edema, hypertension, fever, oral ulcers |
|
Padeh et al12 |
1996 |
1 |
13/F |
Ashkenazi Jewish |
Headache, dizziness, nausea, decreased visual acuity, diplopia |
Radiological findings normal |
None |
Fever |
|
Komura et al13 |
2002 |
1 |
15/F |
Not reported |
Headache, nausea, diplopia |
Brain CT, brain MRI normal |
None |
Fever, arthralgia |
|
Kuyucu et al14 |
2007 |
1 |
13/F |
Not reported |
Headache, papilledema |
Fluorescein angiography with optic disc edema; CT, MRI, MRV normal |
None |
Fever, malaise |
|
Hershko et al15 |
2008 |
3 |
14/F, 16/F, 19/F |
1 Jewish not otherwise specified; 2 Arab |
Headache, blurred vision, nausea |
CT, MRI normal except 1 patient with nonenhancing focus on MRI and 1 with unidentified bright object |
None |
Joints, seizures, Raynaud, chorea, skin |
|
Mathew et al16 |
2012 |
1 |
14/M |
Not reported |
Headache, vomiting, papilledema |
Fluorescein angiography confirmed papilledema, MRI with partial empty sella, MRV normal |
Hypothyroidism |
Fever for 6 months, oral ulcers on presentation, delayed puberty |
|
Rajasekharan et al17 |
2013 |
1 |
14/F |
Not reported |
Headache, blurred vision, visual symptoms |
MRI consistent with papilledema, MRV normal |
None |
High intermittent fevers, red scaly lesions on both cheeks, neck swelling |
|
Maloney18 |
2013 |
1 |
14/F |
Afro-Caribbean |
Headache, vomiting |
CT with mild cerebral atrophy, no intracranial hemorrhage or infarct, MRV normal |
None |
Joint pain and swelling in wrists and knees |
DISCUSSION
IH was first described by Quincke in 1897 as meningitis serosa.19 In 1937, Dandy formulated the diagnostic criteria for IIH, and the criteria were revised in 1985 to the modified Dandy criteria.20,21 Most recently, the criteria were updated to include requirements for pediatric cases and those without papilledema.22 The pathophysiology of IIH remains obscure; however, multiple risk factors have been identified in the adult population such as obesity, polycystic ovary syndrome, postpubertal status, and female gender.23 In the pediatric population, the demographics and pathophysiology of IIH are markedly different than in the adult population, with puberty being a significant factor that separates pediatric and adult IIH.24
Pediatric patients with IIH have an equal sex distribution and a lower incidence of obesity compared with adults,25-27 as evident in our patient’s case. Prepubertal patients with IIH have significantly lower body mass index and a lower predilection for being female than do postpubertal patients.28,29 Other studies have shown no clear racial predilection for IIH.30 Papilledema is the hallmark ophthalmologic sign of IH in the pediatric population, with headache being the most common symptom. Other presenting symptoms include nausea, vomiting, neck stiffness, visual changes, and diplopia.25,31 Multiple factors other than adiposity have been postulated as causes of IIH in the pediatric population, including mineralocorticoid use, alterations in glucocorticoid metabolism, and abnormal regulation of cerebrospinal fluid production.24
Aside from ruling out common causes of IH (eg, brain tumor, malignancy, infection, medication use), in the setting of a patient with suspected underlying SLE, dural sinus thrombosis secondary to APLS must be excluded as a cause of IH. Although strict criteria for APLS have been established for adults, they have not been evaluated in the pediatric population.32 Antiphospholipid antibodies have been found in approximately 65% of children with SLE.33 More specifically, Harel and colleagues34 reported the presence of aPL in 70% of SLE patients, including aCL in 64%, aCL immunoglobulin G in 56%, aCL IgM in 35%, and LAC in 18%. There was significant association of NP events with positive LAC on more than one occasion and significant association between cerebrovascular accident and aCL IgM.34 However, there was no association between aPL and headaches or any other NP events.34 Our patient had positive aCL IgM and positive LAC results at the time of SLE diagnosis at the outside hospital.
Headache is the most frequent neurologic manifestation of NPSLE in children without a previous diagnosis of SLE.2,35 Kaposi first described NP involvement in a patient with SLE in 1872.36 Since then, the ACR has defined 19 different NP manifestations of SLE.37 In the pediatric population, NP manifestations have been reported in approximately 22% to 48% of cases of SLE.35,38-43 Despite being a common symptom, headache remains highly nonspecific and is often associated with other NP manifestations. Given the lack of gold standard diagnostic methods, NPSLE remains a diagnosis of exclusion and relies on expert opinion.44
After an extensive workup, our patient met the criteria for IIH without any associated risk factors having been identified. The pathophysiology of developing increased IH in SLE remains elusive. Various etiologies have been proposed, such as aPL and their implications in vascular occlusion and disruption of the blood-brain barrier (BBB).15 Others have suggested activation of complement system causing migration of leukocytes into the BBB, thereby increasing capillary permeability or absorptive failure of cerebrospinal fluid.7,17 Interestingly, the reported annual incidence of IIH in the pediatric population was 0.00063% in one large city in the US Midwest (Columbus, Ohio),45 while the prevalence of IIH in patients with SLE ranges from 1% to 1.5%,15,46 suggesting that the association between SLE and IIH is not purely coincidental.
IIH remains an uncommon manifestation of SLE, with favorable outcomes.47 The most serious sequela is permanent vision loss, reported in 19% of pediatric patients by Gospe and colleagues.48 Given its association with SLE, a thorough history and physical should be performed in order to better classify the pathology and guide therapeutic interventions. When clinical suspicion is high for possible SLE, a patient not meeting all of the criteria for SLE does not preclude further workup and/or treatment. The criteria were developed to establish a framework for research and should not be superior to clinical judgment.
CONCLUSION
We report a case of IIH as a presentation of SLE in the absence of systemic symptoms, with maternal history of APLS. In established SLE patients, CNS manifestations occur 50% of the time with no other evidence of SLE activity.49 This patient’s case suggests that IIH can be a rare isolated initial manifestation of SLE. This is important for clinicians evaluating pediatric patients with IIH, who may not normally consider SLE as a differential diagnosis, especially without any other manifestations suggestive of a connective tissue disorder. The association between SLE and IH remains unclear. It is important to distinguish whether increased IH is idiopathic or a manifestation of SLE, since first-line management differs significantly. Further prospective studies are needed in order to conclusively delineate the association and pathophysiology of IIH and SLE.
- Horoshovski D, Amital H, Katz M, Shoenfeld Y. Pseudotumour cerebri in SLE. Clin Rheumatol. 1995;14(6):708-710.
- Unterman A, Nolte JE, Boaz M, Abady M, Shoenfeld Y, Zandman-Goddard G. Neuropsychiatric syndromes in systemic lupus erythematosus: a meta-analysis. Semin Arthritis Rheum. 2011;41(1):1-11.
- Tan EM, Cohen AS, Fries JF, et al. The 1982 revised criteria for the classification of systemic lupus erythematosus. Arthritis Rheum. 1982;25(11):1271-1277.
- Hochberg MC. Updating the American College of Rheumatology revised criteria for the classification of systemic lupus erythematosus. Arthritis Rheum. 1997;40(9):1725.
- Bettman JW Jr, Daroff RB, Sanders MD, Joyt WF. Papilledema and asymptomatic intracranial hypertension in systemic lupus erythematosus: a fluorescein angiographic study of resolving papilledema. Arch Ophthalmol. 1968;80(2):189-193.
- Hammami H, Streiff EB. Changes of retinal vessels in a case of lupus erythematosus disseminatus: development following treatment with immunosuppressive agents [in French]. Ophthalmologica. 1973;166(1):16-35.
- Silberberg DH, Laties AM. Increased intracranial pressure in disseminated lupus erythematosus. Arch Neurol. 1973;29(2):88-90.
- Carlow TJ, Glaser JS. Pseudotumor cerebri syndrome in systemic lupus erythematosus. JAMA. 1974;228(2):197-200.
- Kaplan RE, Springate JE, Feld LG, Cohen ME. Pseudotumor cerebri associated with cerebral venous sinus thrombosis, internal jugular vein thrombosis, and systemic lupus erythematosus. J Pediatr. 1985;107(2):266-268.
- DelGiudice GC, Scher CA, Athreya BH, Diamond GR. Pseudotumor cerebri and childhood systemic lupus erythematosus. J Rheumatol. 1986;13(4):748-752.
- Vachvanichsanong P, Dissaneewate P, Vasikananont P. Pseudotumor cerebri in a boy with systemic lupus erythematosus. Am J Dis Child. 1992;146(12):1417-1419.
- Padeh S, Passwell JH. Systemic lupus erythematosus presenting as idiopathic intracranial hypertension. J Rheumatol. 1996;23(7):1266-1268.
- Komura K, Sato S, Ishida W, Fujii H, Takehara K. Idiopathic intracranial hypertension with elevated cerebrospinal fluid level of interleukin-6 in a patient with systemic lupus erythematosus. Clin Rheumatol. 2002;21(3):267-268.
- Kuyucu S, Argin A, Kuyucu N, Özen S. Systemic lupus erythematosus presenting with pseudotumor cerebri: a rare association. Turk J Pediatr. 2007;49(1):98-101.
- Hershko AY, Berkun Y, Mevorach D, Rubinow A, Naparstek Y. Increased intracranial pressure related to systemic lupus erythematosus: a 26-year experience. Semin Arthritis Rheum. 2008;38(2):110-1
- Mathew M, Cherian A. Intracranial hypertension with delayed puberty: a rare presentation of juvenile onset systemic lupus erythematosus. Singapore Med J. 2012;53(1):e15-e17.
- Rajasekharan C, Renjith SW, Marzook A, Parvathy R. Idiopathic intracranial hypertension as the initial presentation of systemic lupus erythematosus. BMJ Case Rep. 2013;2013:bcr2012007886.
- Maloney K. Idiopathic intracranial hypertension as an initial presentation of systemic lupus erythematosus. BMJ Case Rep. 2013;2013:bcr2013010223.
- Quincke H. Ueber Meningitis serosa und verwandte Zustände. Dtsch Z Nervenheilkd. 1897;9(3-4):149-168.
- Dandy WE. Intracranial pressure without brain tumor: diagnosis and treatment. Ann Surg. 1937;106(4):492-513.
- Smith JL. Whence pseudotumor cerebri? J Clin Neuroophthalmol. 1985;5(1):55-56.
- Friedman DI, Liu GT, Digre KB. Revised diagnostic criteria for the pseudotumor cerebri syndrome in adults and children. Neurology. 2013;81(13):1159-1165.
- Durcan FJ, Corbett JJ, Wall M. The incidence of pseudotumor cerebri. Population studies in Iowa and Louisiana. Arch Neurol. 1988;45(8):875-877.
- Phillips PH, Sheldon CA. Pediatric pseudotumor cerebri syndrome. J Neuroophthalmol. 2017;37(suppl 1):S33-S40.
- Rangwala LM, Liu GT. Pediatric idiopathic intracranial hypertension. Surv Ophthalmol. 2007;52(6):597-617.
- Phillips PH, Repka MX, Lambert SR. Pseudotumor cerebri in children. J AAPOS. 1998;2(1):33-38.
- Cinciripini GS, Donahue S, Borchert MS. Idiopathic intracranial hypertension in prepubertal pediatric patients: characteristics, treatment, and outcome. Am J Ophthalmol. 1999;127(2):178-82.
- Balcer LJ, Liu GT, Forman S, et al. Idiopathic intracranial hypertension: relation of age and obesity in children. Neurology. 1999;52(4):870-872.
- Aylward SC, Waslo CS, Au JN, Tanne E. Manifestations of pediatric intracranial hypertension from the Intracranial Hypertension Registry. Pediatr Neurol. 2016;61:76-82.
- Chen J, Wall M. Epidemiology and risk factors for idiopathic intracranial hypertension. Int Ophthalmol Clin. 2014;54(1):1-11.
- Aylward SC, Reem RE. Pediatric intracranial hypertension. Pediatr Neurol. 2017;66:32-43.
- Wilson WA, Gharavi AE, Koike T, et al. International consensus statement on preliminary classification criteria for definite antiphospholipid syndrome: report of an international workshop. Arthritis Rheum. 1999;42(7):1309-1311.
- Lee T, von Scheven E, Sandborg C. Systemic lupus erythematosus and antiphospholipid syndrome in children and adolescents. Curr Opin Rheumatol. 2001;13(5):415-421.
- Harel L, Sandborg C, Lee T, von Scheven E. Neuropsychiatric manifestations in pediatric systemic lupus erythematosus and association with antiphospholipid antibodies. J Rheumatol. 2006;33(9):1873-1877.
- Quintero-Del-Rio AI, Miller V. Neurologic symptoms in children with systemic lupus erythematosus. J Child Neurol. 2000;15(12):803-807.
- Kaposi M. Neue Beiträge zur Kenntnis des Lupus erythematosus. Arch Dermatol Syph. 1872;4:36-78.
- The American College of Rheumatology nomenclature and case definitions for neuropsychiatric lupus syndromes. Arthritis Rheum. 1999;42(4):599-608.
- Yancey CL, Doughty RA, Athreya BH. Central nervous system involvement in childhood systemic lupus erythematosus. Arthritis Rheum. 1981;24(11):1389-1395.
- Steinlin MI, Blaser SI, Gilday DL, et al. Neurologic manifestations of pediatric systemic lupus erythematosus. Pediatr Neurol. 1995;13(3):191-197.
- Parikh S, Swaiman KF, Kim Y. Neurologic characteristics of childhood lupus erythematosus. Pediatr Neurol. 1995;13(3):198-201.
- Cassidy JT, Sullivan DB, Petty RE, Ragsdale C. Lupus nephritis and encephalopathy. Prognosis in 58 children. Arthritis Rheum. 1977;20(2 suppl):315-322.
- Barron KS, Silverman ED, Gonzales J, Reveille JD. Clinical, serologic, and immunogenetic studies in childhood-onset systemic lupus erythematosus. Arthritis Rheum. 1993;36(3):348-354.
- Olfat MO, Al-Mayouf SM, Muzaffer MA. Pattern of neuropsychiatric manifestations and outcome in juvenile systemic lupus erythematosus. Clin Rheumatol. 2004;23(5):395-399.
- Magro-Checa C, Zirkzee EJ, Huizinga TW, Steup-Beekman GM. Management of neuropsychiatric systemic lupus erythematosus: current approaches and future perspectives. Drugs. 2016;76(4):459-483.
- Gillson N, Jones C, Reem RE, Rogers DL, Zumberge N, Aylward SC. Incidence and demographics of pediatric intracranial hypertension. Pediatr Neurol. 2017;73:42-47.
- Dave S, Longmuir R, Shah VA, Wall M, Lee AG. Intracranial hypertension in systemic lupus erythematosus. Semin Ophthalmol. 2008;23(2):127-133.
- Yoo WH, Park JH, Kim HK, Park TS, Baek HS. Recurrent pseudotumor cerebri in systemic lupus erythematosus: a case report. J Korean Med Sci. 2001;16(6):805-808.
- Gospe SM III, Bhatti MT, El-Dairi MA. Anatomic and visual function outcomes in paediatric idiopathic intracranial hypertension. Br J Ophthalmol. 2016;100(4):505-509.
- Toubi E, Khamashta MA, Panarra A, Hughes GR. Association of antiphospholipid antibodies with central nervous system disease in systemic lupus erythematosus. Am J Med. 1995;99(4):397-401.
