Volume 15 - Issue 5 - May 2016

Consultant for Pediatricians

heptatitis
heptatitis
04/30/2016
Geethi M. Abraham, BS ; Errol C. Baptist, MD
A 10-year-old girl presented to the clinic 3 days after she developed a painful lump on the back of her head. She reported that she felt tired, but she was afebrile and had no other symptoms.
04/30/2016
heptatitis
heptatitis
04/29/2016
Margaret Sutton, MD; Elizabeth Sutton, BA; Leigh Sutton, MD, PGY-3
An 8-year-old boy was referred for an evaluation of numerous pigmented macules of the skin.
04/29/2016
heptatitis
heptatitis
04/29/2016
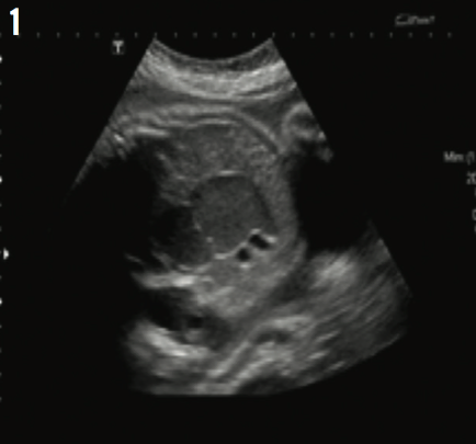
Carlos A. Perez, MD; Monaliza S. Evangelista, MD; Regina Yu, MD
A girl was born to a 27-year-old gravida 3, para 3 mother and was delivered vaginally at full term with a birth weight of 3620 g.
04/29/2016
cleft lip
cleft lip
04/28/2016
Benjamin Barankin, MD, FRCPC; Alexander K.C. Leung, MD, MBBS, FRCPC, FRCP
A 16-year-old white adolescent boy (Fitzpatrick skin type 1) presented with a 2-year history of progressive development of multiple, asymptomatic, fleshy, tiny papules around the coronal rim of the glans...
04/28/2016
cleft lip
cleft lip
04/28/2016
Andrew Bagg, MD
A 3-year-old girl who had a recent immunization presented to the emergency department (ED) with a 2-day history of worsening rashes of the body with peeling of the skin, mouth sores, bilateral...
04/28/2016
cleft lip
cleft lip
04/28/2016
Samuel Agyare, MD; Upma Suneja, MD; Omar Alharbi, MD; Karan Karki, MD
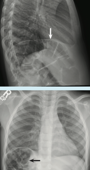
A 4-year-old boy with known asthma presented to the emergency department (ED) with a cough of 2 days’ duration.
04/28/2016
cleft lip
cleft lip
04/28/2016
Lynnette J. Mazur, MD, MPH; Catherine Carlile, BS; Alix D'Angelo; Steven Blackwell, MD
Findings from the physical examination revealed a vertical groove on the right philtrum and notching of the vermilion-cutaneous junction, the vermilion-mucosal junction, and the upper alveolar ridge.
04/28/2016
heptatitis
heptatitis
04/28/2016
Anshu Kumari, MD; Magda Mendez, MD, FAAP; Sandra Camacho, MD; Amir Navaei, MD
Echogenic bowel has been defined as bowel of similar or greater echogenicity on ultrasonography than surrounding tissues, such as liver, bones, and lung.
04/28/2016
heptatitis
heptatitis
04/28/2016
Jessica Tomaszewski, MD
The dangers of crib bumpers are not breaking news given the accumulation of evidence against their use.
04/28/2016
heptatitis
heptatitis
04/28/2016
Karamjit Chela, MD; Nikki Allmendinger, MD; Maria T. Boulos, MD; Christina Whyte, MD; Martha L. Lepow, MD; Roberto P. Santos, MD
Two siblings immigrated to the United States from Singapore after a 2-month visit to India, and neither sibling had received the hepatitis A vaccine.
04/28/2016
impetigo
impetigo
04/28/2016
Angela Wong DesPain, MD
A 2-week-old, full-term newborn boy presented with a pustular/vesicular type rash in his diaper area.
04/28/2016