Volume 12 - Issue 3 - March 2013

Consultant for Pediatricians

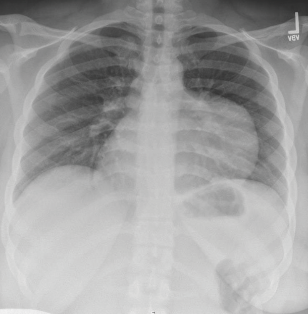
Dermatologic disorders
Dermatologic disorders
02/24/2014
Diego P. Peralta, MD; Aymara Y. Chang, MD
<p>A 16-year-old girl presented to the pediatric emergency department complaining of sudden-onset chest pain that had started a few hours ago. </p>
02/24/2014
Molluscum Contagiosum
Molluscum Contagiosum
02/24/2014
Rashida Pittalwala, MD
<p>An 11-week-old girl was brought to our emergency department (ED) for a lesion in her left armpit that her parents had noted earlier that day. </p>
02/24/2014
dysplasia
dysplasia
03/25/2013
Matthew C.K. Choi, MD; Alexander K.C. Leung, MD, MBBS, FRCPC, FRCP
These notched upper central incisors were noted in a 3-year-old girl. There was no history of traumatic injury to her mouth. The youngster was able to sweat normally, and no other evidence of ectodermal...
03/25/2013
Acrocyanosis
Acrocyanosis
03/25/2013
Yelva L. Lynfield, MD
<p class="p1">Cyanosis involving the hands and toes of a 12-year-old girl was first noted 3 months before medical evaluation was sought. Her fingers and palms were red, the nail beds were...
03/25/2013
myiasis
myiasis
03/25/2013
Joe R. Monroe, PA-C, MPAS, PA
<p class="p1">The parents of a 12-year-old sought a consultation for the “cyst” that had appeared on their daughter’s lower back. The lesion was first noticed 2 months earlier upon the...
03/25/2013
Blue Nevus
Blue Nevus
03/25/2013
Melinda F. Greenfield, DO
<p class="p3">Worsening episodes of pain and bleeding from the lesion on the dorsum of her foot brought a 16-year-old girl to her physician’s office. The spot had gradually enlarged since...
03/25/2013
Tinea capitis
Tinea capitis
03/22/2013
Benjawan Myrod, MD; Vickie Bailey, MD; Renu Jain, MD
<p class="p1">A previously healthy 2-year-old girl presented with a 3-month history of a nonpruritic scaly lesion on her scalp. She had no other lesions or rash, no fever, and no concurrent...
03/22/2013
Erythema multiforme
Erythema multiforme
03/22/2013
Kirk Barber, MD, FRCPC
<p class="p1"><strong>CASE:</strong> A 9-year-old girl presented with these lesions on her face and extremities. The lesions, which had developed within the past 24...
03/22/2013
torticollis
torticollis
03/22/2013
Susan Brown, MD; Sara Laskey, MD; David Effron, MD
<p><strong><img src="/sites/default/files/transfer/Screen_Shot_2013-03-22_at_3.25.40_PM.png" alt="torticollis" title="torticollis" width="115"...
03/22/2013
Allergic Rhinitis
Allergic Rhinitis
03/22/2013
Gregory W. Rutecki, MD
<p class="p2"><strong><strong><em><img src="/sites/default/files/transfer/Screen_Shot_2013-03-22_at_3.16.51_PM.png" alt="cobblestone papillae"...
03/22/2013
back pain
back pain
03/22/2013
David Della-Giustina, MD; Bradford A. Kilcline, MD
<p><strong><img alt="back pain scotty dog" src="/sites/default/files/transfer/Screen_Shot_2013-03-22_at_3.03.10_PM.png" style="height:90px; margin-left:5px;...
03/22/2013
pernio
pernio
03/22/2013

ALEXANDER K. C. LEUNG, MD—Series Editor,
STEWART P. ADAMS, MD, and ANDREW S. WONG, MD
University of Calgary

ALEXANDER K. C. LEUNG, MD—Series Edit...
<p class="p2"><strong><img src="/sites/default/files/transfer/Screen_Shot_2013-03-22_at_2.54.50_PM.png" alt="pernio" title="pernio"...
03/22/2013
Seizure
Seizure
03/22/2013
<p class="p3"><span class="s1"><strong><img src="/sites/default/files/transfer/Screen_Shot_2013-03-22_at_2.47.23_PM.png" alt="chart - febrile...
03/22/2013
brain injury
brain injury
03/22/2013
Suzy Mascaro-Walter, MSN, CFNP; Atiya Khan, MD, MRCP
<p><strong><br><img src="/sites/default/files/transfer/Screen_Shot_2013-03-22_at_2.23.36_PM.png" alt="holoprosencephaly" title="holoprosencephaly"...
03/22/2013
celiac disease
celiac disease
03/22/2013
Elaine Barfield, MD; Robbyn Sockolow, MD; Brian R. Landzberg, MD, AGA(F)
<p class="p5"><strong><img src="/sites/default/files/transfer/Screen_Shot_2013-03-22_at_2.04.21_PM.png" alt="small bowel" title="small bowel"...
03/22/2013
Oral Candidiasis
Oral Candidiasis
03/22/2013
<p><strong><img src="/sites/default/files/transfer/Screen_Shot_2013-03-22_at_1.45.04_PM.png" alt="oral candidiasis" title="oral candidiasis"...
03/22/2013