Congenital Brain Anomalies
Holoprosencephaly
A 2-year-old girl with developmental delay, mental retardation, microcephaly, and seizures was born after a term pregnancy complicated by polyhydramnios (A). Shoulder dystocia occurred during delivery leading to left humeral fracture. Cleft lip and palate were noted at birth. The neonatal period was complicated by hypernatremia, which subsequently led to the diagnosis of diabetes insipidus, and she was started on desopressin. She was also noted to have core body temperature instability.
An MRI scan of the brain revealed semilobar holoprosencephaly. Abnormal and incomplete cleavage of the lobes was evident (B, C, and D). The anterior interhemispheric fissure was incompletely visualized on the scan; the posterior interhemispheric fissure was present. There was partial fusion of the basal ganglia and the thalami (E). An H-shaped monoventricle was noted.
Chromosomal studies revealed normal female karyotype. At 2 months of age, she developed seizures and was started on phenobarbital. Subsequently, at 4 months of age, she developed infantile spasms, which responded to a course of adrenocorticotropic hormone therapy.
Holoprosencephaly is a congenital malformation of the brain that occurs before the 23rd day of gestation.1 According to severity, holoprosencephaly is classified as alobar and semilobar. In semilobar holoprosencephaly, there is variable separation of the cerebral hemispheres, while in alobar there is complete absence of the interhemispheric fissure. Fusion of the deep gray nuclei including the hypothalamus, thalamus, and basal ganglia is noted.
Craniofacial abnormalities associated with holoprosencephaly include hypotelorism (close-set eyes) or rarely hypertelorism (wide-set eyes); nasal abnormalities including absent nasal septum, single nostril, choanal atresia, or arhinia (absence of nose); and cleft upper lip, cleft palate, small mouth, or mandible.
Clinical features include mental retardation, microcephaly, rarely hydrocephalus, and craniofacial abnormalities. Most infants demonstrate hypotonia but spasticity may be seen later. Epilepsy occurs in at least half of the patients with holoprosencephaly.2 Patients develop a variety of seizures including infantile spasms, myoclonic, partial, or generalized seizures, which are often refractory to treatment. Endocrine abnormalities due to associated pituitary or hypothalamic maldevelopment, including central diabetes insipidus, growth hormone, cortisol, and thyroid deficiency, can be found in 75% of patients.3
The etiology of holoprosencephaly is variable and includes chromosomal (common karyotypic abnormalities include trisomy 13, trisomy 18, and rarely trisomy 21), teratogens (maternal diabetes, retinoic acids, and ethanol), and gene mutations.4 The most well-known gene mutation is the Sonic Hedgehog mutation, which is responsible for central nervous system patterning in the ventral midline.5 Because the condition can be inherited, the recognition of carrier states in parents is important and may be aided by mild facial abnormalities such as single central incisor and abnormal nasal septum.
Prenatal diagnosis of holoprosencephaly is based on ultrasound and MRI. After birth, the preferred imaging study for diagnosis and classification is MRI. Genetic testing with high-resolution banding and karyotyping is most helpful in determining genetic etiology.
The prognosis depends on the severity of the holoprosencephaly and related anomalies (eg, cardiac disease associated with trisomies). Life expectancy may be shortened in those with severe malformations.
References:
1. Swaiman KF, Ashwal S. Pediatric Neurology: Principles and Practice. 3rd ed. New York, NY: Mosby; 1999.
2. Hahn JS, Pinter JD. Holoprosencephaly: genetic, neuroradiological, and clinical advances. Semin Pediatr Neurol. 2002;9(4):309-319.
3. Plawner LL, Delgado MR, Miller VS, et al. Neuroanatomy of holoprosencephaly as predictor of function: beyond the face predicting the brain. Neurology. 2002;59(7):1058-1066.
4. Cohen MM Jr, Shiota K. Teratogenesis of holopro-sencephaly. Am J Med Genet. 2002;109(1):1-15.
5. Roessler E, Ward DE, Gaudenzk K, et al. Cytogenetic rearrangements involving the loss of the Sonic Hedgehog gene at 7q36 cause holoprosencephaly. Hum Genet. 1997;100(2):172-181.
Schizencephaly
The adoptive parents of an 11-month-old infant noticed that their son did not use his right arm as often as the left. Concern for brachial plexus injury was raised. Antenatal, natal, family, and early developmental history were unknown.
Physical examination revealed that the infant had left hemiparesis and a head circumference in the second percentile. Increased tone was noted in his left upper and lower extremities. However, he had good head control and could crawl and maintain a good sitting position. Fine motor movement was appropriate on the left. He weighed about 17 lb and was 71 cm long.
An MRI scan of the brain demonstrated a type II schizencephalic defect along the superior convexity of the right cerebral hemisphere at the level of the posterior body of the right lateral ventricle. This defect affected the posterior frontal and adjacent parietal lobes.
Schizencephaly accounts for 5% of all cortical malformations in pediatric patients.1 This structural abnormality is characterized by a congenital cleft that crosses the cerebral hemisphere from the pial surface to the lateral ventricles.2 Clefts typically develop in the region of the rolandic and sylvian fissures and involve the frontal cortex; however, they can involve the prefrontal and, rarely, the temporal and occipital lobes. Defects in the walls of the clefts of the cortical plate (eg, thick, microgyric cortex with large neuronal heterotopias) are consistent with migrational abnormalities and are thought to occur in the third month of gestation.
Type I (closed lip) schizencephaly is diagnosed when the walls of the cleft are in contact with each other. Type II (open lip) schizencephaly is characterized by separated lips with cerebrospinal fluid-filled clefts.
Schizencephaly can be unilateral or bilateral. It may present as an isolated malformation or it may be associated with other brain abnormalities, including heterotopia, agenesis of the corpus callosum and septum pellucidum, and septo-optic dysplasia. Hydrocephalus can occur with type II schizencephaly.
The cause is likely multifactorial and includes fetal ischemic injury in the middle cerebral artery, mutations in the homeobox gene EMX2 (which is involved in the development of the forebrain), intrauterine Cytomegalovirus infection, and toxins (ie, prenatal drug exposure).3-6 Schizencephaly may be detected early on ultrasonography; it is demonstrated by focal ventricular dilatation. However, MRI is considered the most sensitive test for the identification of migrational disturbances.5
Clinical manifestations include mental retardation, cognitive and language disturbances, motor deficits, seizures (which may not begin until adulthood), and hydrocephalus (open lip lesions). Severity depends on the type, location, and size of the clefts as well as any associated brain malformations. The most severe presentations are associated with large bilateral open lip clefts; the mildest forms are seen with small unilateral closed lip clefts.
Supportive care involves careful monitoring for potential motor and speech delays and for behaviors consistent with seizures. This child exhibits mild cognitive delays; no seizure activity has been reported. He continues to be observed by physical, occupational, and speech therapists.
References:
1. Leventer RJ, Phelan EM, Coleman LT, et al. Clinical and imaging features of cortical malformations in childhood. Neurology. 1999;53(4):715-722.
2. Barkovich AJ, Gressens P, Evrard P. Formation, maturation, and disorders of brain neocortex. AJNR Am J Neuroradiol. 1992;13(2):423-446.
3. Dominguez R, Aguirre Vila-Coro A, Slopis JM, Bohan TP. Brain and ocular abnormalities in
infants with in utero exposure to cocaine and other street drugs. Am J Dis Child. 1991;145(6):
688-695.
4. Granata T, Farina L, Faiella A, et al. Familial schizencephaly associated with EMX2 mutation. Neurology. 1997;48(5):1403-1406.
5. Barkovich AJ, Kjos BO. Schizencephaly: correlation of clinical findings with MR characteristics. AJNR Am J Neuroradiol. 1992;13(1):85-94.
6. Iannetti P, Nigro G, Spalice A, et al. Cytomegalovirus infection and schizencephaly: case reports. Ann Neurol. 1998;43(1):123-127.
Hemimegalencephaly
Seizures developed at about 6 weeks of age in a child with developmental delay and mild left hemiparesis. She had been born at 35 weeks’ gestation after an uncomplicated pregnancy and delivery. The initial seizures were characterized by left side jerking of extremities lasting approximately 20 to 30 seconds after which the patient would fall asleep. She initially responded to phenobarbital, but subsequently the seizures became refractory to medications; valproic acid, lamotrigine, carbamazepine, and levetiracetam were tried and were ineffective. The seizures continued to be focal with the left eye turning out and twitching of the left side of the body, at times accompanied by perioral cyanosis. She has experienced up to 7 seizures per day.
During the physical and neurological examination, significant speech delay, mild increase in tone, brisker reflexes, and poor coordination on the left side of the body were noted. Her electroencephalogram was markedly abnormal with asymmetrical slowing of the right hemisphere. Recurrent spikes were seen on the right, particularly prominent over the temporal and central regions.
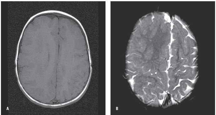
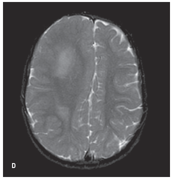
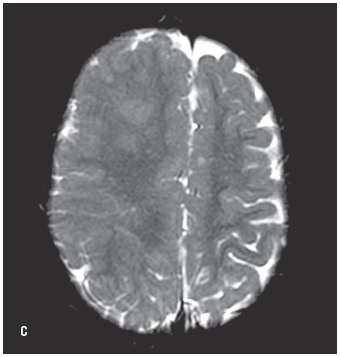
An MRI scan of the brain revealed a marked asymmetry in the size of the cerebral hemispheres with a larger hemisphere present on the right (A, B, and C). Also noted was nonlissencephalic cortical dysplasia involving the right frontal, parietal, and temporal lobes with several foci of heterotopic gray matter. The right subcortical white matter demonstrated abnormal hyperintensities (D). These findings were consistent with a diagnosis of right hemimegalencephaly.
Hemimegalencephaly is a rare congenital defect of neuronal migration and proliferation. The defect is characterized by hypertrophy of all or most of one hemisphere. Children typically present with seizures, cranial asymmetry, or hemiparesis.
Epilepsy first occurs during the neonatal period and typically consists of partial seizures involving the arm or leg contralateral to hemimegalencephaly. The seizures can later present as epilepsia partialis continua, Lennox-Gastaut syndrome, drop attacks, or partial seizures with secondary generalization.1,2 Some children may present with infantile spasms.3 Cranial asymmetry is apparent during the neonatal period when the skull is examined from above.4
Hemiparesis is evaluated as the child performs motor activities and is marked by unilateral spasticity with increased tone. These children will have flexion of the arm, which is marked when running. They may also toe walk on the affected side, which is contralateral to the defect.
MRI is considered the best tool in diagnosing hemimegalencephaly. Excessive growth of neurons and astrocytes manifests into a thickened cortex. There is a flattened inner cortical border and fused microgyri with a smooth cortical surface.5
Management of hemimegalencephaly is focused on seizure control. Although anticonvulsants are used, surgery is a consideration depending on the intractable nature of the seizures associated with this defect. The extent of surgical resection may be guided by the degree of motor impairment and can vary from hemispherectomy to resection of the seizure focus.
The prognosis for children with hemimegalencephaly is variable. Intractability of seizures can affect development. Physical therapy, occupational therapy, and speech therapy are important to address the child’s delays and to address the issues associated with hemiparesis. Because hemianopsia can be present, eye evaluations are also important.
REFERENCES:
1. Vigevano F, Di Rocco C. Effectiveness of hemispherectomy in hemimegalencephaly with intractable seizures. Neuropediatrics. 1990;21(4):222-223.
2. Kurokawa T, Sasaki K, Hanai T, Goya N, Komaki S. Linear nevus sebaceous syndrome: report of a case with Lennox-Gastaut syndrome following infantile spasms. Arch Neurol. 1981;38(6):375-377.
3. Bignami A, Palladini G, Zappella M. Unilateral megalencephaly with nerve cell hypertrophy. An anatomical and quantitative histochemical study. Brain Res. 1968;9(1):103-114.
4. Volpe JJ. Neurology of the Newborn. 3rd ed. Philadelphia, PA: WB Saunders Co; 1995.
5. Barkovich AJ, Kuzniecky RI, Jackson GD, Guerrini R, Dobyns WB. A developmental and genetic classification for malformations of cortical development. Neurology. 2005;65(12):1873-1887.
