Peer Reviewed
Lateral Medullary Syndrome Presenting as Vertigo
Authors:
Audrey M. Sigmund, MD, and Michael S. Langan, MD
Department of Internal Medicine, The Ohio State University, Columbus, Ohio
Citation:
Sigmund AM, Langan MS. Laterally medullary syndrome presenting as vertigo [published online September 6, 2018]. Neurology Consultant.
A 34-year-old man with a history significant for hypertension presented to the emergency department (ED) with acute-onset vertigo. On initial presentation to the ED, his vital signs were within normal limits, other than mild hypertension. Orthostatic vital signs were notable only for dizziness without change in heart rate or blood pressure.
The initial plan had been to discharge the patient with conservative symptomatic treatment, but when the symptoms persisted, the decision was made to admit him for further observation and intravenous fluids. The patient began a trial of meclizine and fluid resuscitation overnight, which led to no improvement.
The next morning, the patient reported that he had developed some left-sided facial numbness, mild blurry vision, headache, and persistent vertigo. Further neurologic examination was performed, the results of which were remarkable for anisocoria, left-sided miosis, mild left-sided ptosis and conjunctival injection, ataxia, left-sided cranial nerve VI palsy, and sustained horizontal nystagmus. These findings raised concern for Horner syndrome.
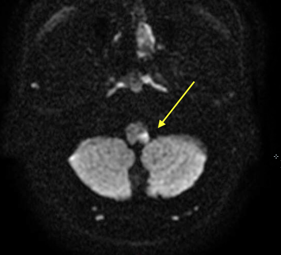
Diagnostic tests. A neurologist was consulted, and magnetic resonance imaging (MRI) of the brain and computed tomography angiography (CTA) of the head and neck were performed to evaluate for carotid artery dissection and for other causes of Horner syndrome. MRI of the brain findings were notable for an acute left lateral medullary infarct (Figure), and CTA showed likely occlusion of the posterior inferior cerebellar artery.

Figure. MRI scan showing an acute infarct in the left lateral portion of the medulla.
Diagnosis and management. The patient received a diagnosis of lateral medullary syndrome (also known as Wallenberg syndrome) with resultant Horner syndrome and gait ataxia. The results of an extensive workup—including transesophageal echocardiography, autoimmune studies, and coagulation studies—to determine the etiology of the stroke were negative. Therefore, the etiology of the stroke was thought to be cryptogenic. The patient was started on full-dose aspirin and atorvastatin, after which blood pressure control was optimized. He was transferred to inpatient rehabilitation and achieved an excellent recovery.
Discussion. Vertigo is an extremely common presenting symptom. In most young patients, the etiology is benign, making it particularly difficult to identify potentially serious conditions. Cerebrovascular disease is an especially rare cause of dizziness, accounting for as few as 6% of cases.1
Horner syndrome is characterized by ptosis, miosis, and anhidrosis with anisocoria that is more marked in dark than in light.2 Horner syndrome can result from a lesion occurring anywhere along the sympathetic pathway that supplies the head, eye, and neck. Most cases of Horner syndrome are related to second-order (preganglionic) lesions or third-order (postganglionic) lesions, while a small portion are caused by a first-order (central) lesion.3
One of the most life-threatening diagnoses that must be considered in the workup of Horner syndrome is carotid artery dissection, which often is accompanied by neck or facial pain.4,5 Of the central (first-order) causes, the most common is a lateral medullary infarct, which results in Horner syndrome along with Wallenberg syndrome. Presenting symptoms include vertigo and ataxia along with Horner syndrome.
In most cases of Horner syndrome, workup should include neuroimaging studies. MRI of the brain can be useful in evaluating for any brain lesions that could be causing Horner syndrome. If Horner syndrome is accompanied by neck or facial pain, imaging studies such as magnetic resonance angiography or CTA of the brain should be obtained to evaluate for carotid artery dissection.6
Overall, Horner syndrome is relatively rare in young patients, and lateral medullary infarct has been found to be particularly rare cause. One study of patients aged 18 to 44 with cerebral infarcts found that only 2 of 105 patients had a lateral medullary infarct.7 Therefore, it is important to have a high index of suspicion when evaluating these patients and to perform a thorough neurologic examination so-as not to miss a critical diagnosis.
- Kroenke K, Hoffman RM, Einstadter D. How common are various causes of dizziness? A critical review. South Med J. 2000;93(2):160-167.
- Reede DL, Garcon E, Smoker WRK, Kardon R. Horner's syndrome: clinical and radiographic evaluation. Neuroimaging Clin North Am. 2008;18(2):369-385.
- Maloney WF, Younge BR, Moyer NJ. Evaluation of the causes and accuracy of pharmacologic localization in Horner's syndrome. Am J Ophthalmol. 1980;90(3):394-402.
- Chan CCK, Paine M, O’Day J. Carotid dissection: a common cause of Horner's syndrome. Clin Exp Ophthalmol. 2001;29(6):411-415.
- Lyrer PA, Brandt T, Metso TM, et al; Cervical Artery Dissection and Ischemic Stroke Patients (CADISP) Study Group. Clinical import of Horner syndrome in internal carotid and vertebral artery dissection. Neurology. 2014;82(18):1653-1659.
- Almog Y, Gepstein R, Kesler A. Diagnostic value of imaging in Horner syndrome in adults. J Neuroophthalmol. 2010;30(1):7-11.
- Malm J, Kristensen B, Carlberg B, Fagerlund M, Olsson T. Clinical features and prognosis in young adults with infratentorial infarcts. Cerebrovasc Dis. 1999;9(5):282-289.
