Middle-Aged Man With Worsening Cough and Dyspnea
A 52-year-old man with hypertension and hyperlipidemia presents to the emergency department with a 5-month history of cough and dyspnea. Despite several courses of oral antibiotics, the patient's dyspnea has worsened; his cough has persisted and now produces foul-smelling brown sputum. He denies fever, chills, and rigors. His appetite is only fair; he lost 8 lb during the month before this evaluation. He is a long-time smoker but has no history of alcohol or substance abuse.
The patient's temperature is normal; his blood pressure is 125/75 mm Hg. He is tachypneic, with a respiration rate of 24 breaths per minute. His heart rate is 93 beats per minute. No lymphadenopathy is detected. Decreased air entry in the left hemithorax and dullness to percussion over the left lower lobe and lingular area are noted. Tactile vocal fremitus (TVF) is decreased in the same areas. The remainder of the physical examination is unremarkable.
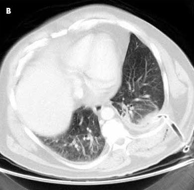
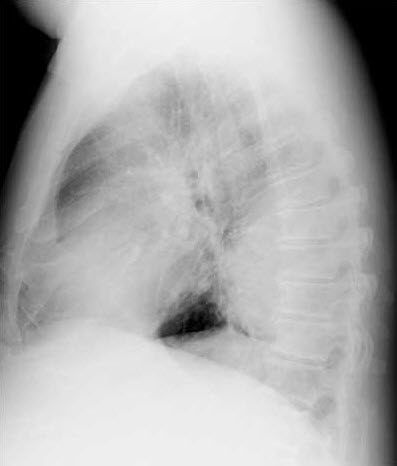
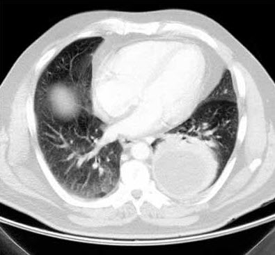
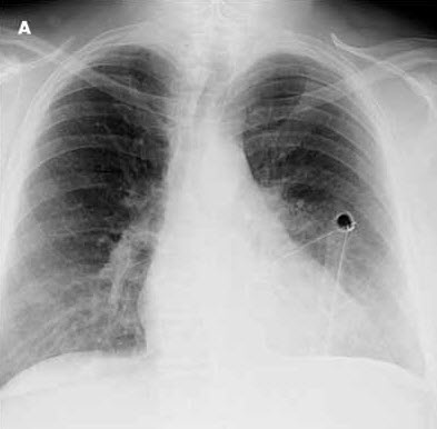
The posteroanterior chest radiograph suggests a rounded retrocardiac density in the left hemithorax (Figure 1). This is confirmed by the lateral view, which shows a large posterior lobulated shadow (Figure 2). The differential diagnosis at this point includes loculated pleural effusion, lung abscess without an air-fluid level, and thoracic empyema with or without an underlying malignancy. A chest CT scan delineates a 9 3 8-cm rounded density (Figure 3). The difference in homogeneity suggests a walled-off fluid collection with no evidence of air.
Intravenous levofloxacin and clindamycin are initiated in anticipation of percutaneous chest tube insertion into the lesion in the left hemithorax. The pleura in the left posterior lung base is slightly thickened; however, there is no evidence of an endobronchial obstructing lesion, hilar-mediastinal mass lesion, or pulmonary nodule. After the tube is placed, about 850 mL of foul-smelling brown fluid is evacuated by gravity (Figure 4). Microbiologic culture of the contents reveals Streptococcus intermedius, which is sensitive to levofloxacin. Cytologic analysis of the drainage material reveals no malignancy. Intravenous levofloxacin is continued for 10 days, followed by oral levofloxacin for another 2 weeks. Chest radiography and chest CT are repeated just before the chest tube is removed to assess whether surgery is needed. The CT scan shows almost complete resolution of the empyema.
PLEURAL EMPYEMA: AN OVERVIEW
Almost two thirds of cases of pleural empyema result from pneumonia with a complicated parapneumonic effusion. Other causes include chest trauma, tuberculosis, and mediastinal or pulmonary surgery, especially lung resection. In approximately 10% of patients, no cause is apparent.1,2
Mortality from empyema ranges from 1% to 19%.3 The prognosis is worse for elderly patients and for those with comorbid cardiac, pulmonary, or renal disease. The outcome is also likely to be poor in patients with hospital-acquired or culture-positive empyema, especially those with collections of fluid that contain Gram-negative bacteria or multiple pathogens.3
CLINICAL FEATURES
The clinical presentation varies. Patients who have an aerobic infection may present with an acute febrile illness characterized by chest pain, dyspnea, sputum production, and leukocytosis. Patients with an anaerobic infection may sustain a more indolent course marked by weight loss, fever, anemia, and chronic cough.
The physical examination often reveals decreased breath sounds, dull percussion, decreased TVF, and restricted respiratory excursions. A pleural rub may be heard in some patients; the trachea may be shifted away from the midline by a large empyema.3 Other manifestations of chronic empyema include chondritis and osteomyelitis of the ribs, pericarditis, mediastinal and vertebral abscesses, disseminated infection, and multiorgan failure.2
WORKUP
CT is helpful in making the diagnosis and in planning the drainage procedure. In patients with an empyema, the scan shows that the visceral and parietal pleural layers are separated by the fluid collection. This finding, called the "split sign," is essential in differentiating a loculated empyema from a peripheral lung abscess.4
The pleural fluid is turbid and may contain bacteria and cellular debris. The pleural fluid glucose level is usually less than 40 mg/dL, the lactate dehydrogenase level higher than 1000 IU, the white blood cell count higher than 5000/µL, and the pH less than 7.1.3
About 35% of cases of infected pleural effusion are caused by anaerobic organisms; aerobic pathogens are responsible for 24% of cases. Mixed aerobic and anaerobic infection is documented in 40% of established empyema, which makes anaerobic organisms the most common bacteria isolated from infected pleural effusion. Gram staining is not helpful in up to 35% of established empyema. In many patients with complicated parapneumonic effusions, cultures of the drained fluid are negative for organisms.5
MANAGEMENT
There is no consensus about the most appropriate therapy for thoracic empyema. Management options include antibiotic therapy, intrapleural fibrinolytic agents, nonsurgical drainage by thoracentesis or chest tube, and surgical procedures such as video-assisted thoracic surgery (VATS) and open thoracotomy. Fibrinolytic agents are a useful adjunct in the management of complicated parapneumonic effusions. In one study, the early use of intrapleural fibrinolytics was associated with a decrease in the rate of surgical interventions (VATS or open decortication) and the length of the hospital stay, with only minor associated morbidity.6Nevertheless, the optimal therapy remains controversial and probably depends on the available resources.7
Finally, we would like to draw attention to the pathogen recovered in our patient. S intermedius belongs to the Streptococcus milleri group, which consists of normal oral commensals. The streptococci that colonize the mouth and upper respiratory tract are often considered harmless. There are few case reports of thoracic empyema attributable to S intermedius in the literature. However, the authors' personal experience,8 as well as more recent reviews,9 suggests that the S milleri group plays a more significant role in pulmonary infections, especially idiopathic empyema, than was previously recognized.
1. Vallieres E. Management of empyema after lungresections (pneumonectomy/lobectomy). Chest SurgClin North Am. 2002;12:571-585.
2. Kim HY, Song KS, Goo JM, et al. Thoracic sequelaeand complications of tuberculosis. Radiographics.2001;21:839-860.
3. de Hoyos A, Sundaresan S. Thoracic empyema.Surg Clin North Am. 2002;82:643-671.
4. Collins J. CT signs and patterns of lung disease.Radiol Clin North Am. 2001;39:1115-1135.
5. Bartlett JG. Empyema. In: Gorbach S, Bartlett JG,Blackblow NR, eds. Infectious Disease. Philadelphia:WB Saunders Co; 1992:639-644.
6. Misthos P, Sepsas E, Konstantinou M, et al. Earlyuse of intrapleural fibrinolytics in the managementof postpneumonic empyema. A prospective study.Eur J Cardiothorac Surg. 2005;28:599-603.
7. Coote N. Surgical versus non-surgical managementof pleural empyema. Cochrane Database SystRev. 2002;(2):CD001956.
8. Roy WJ Jr, Roy TM, Davis GJ. Thoracic empyemadue to Streptococcus intermedius. J Ky Med Assoc.1991;89:558-562.
9. Shinzato T, Saito A. The Streptococcus millerigroup as a cause of pulmonary infections. Clin InfectDis. 1995;21:S238-S243.
