Volume 46 - Issue 2 - February 2006

Consultant

Sudden Illness
Sudden Illness
04/30/2011
Vu Phan, MD; Douglas McConnell, MD; David Effron, MD
<div id="article-content-body"> <p>A 21-month-old previously healthy child is brought to the pediatrician's office because of increasingly labored breathing that began the night...
04/30/2011
04/30/2011
Gregory W. Rutecki, MD
<div id="article-content-body"><p><img src="/sites/default/files/images/Gregory%20W%20Rutecki%2C%20MD.jpg" style="float: left; margin-left: 8px; margin-right:...
04/30/2011
Delirium
Delirium
04/30/2011
Dale P. Murphy, MD; Bill Zafirau, MD
Delirium is characterized by altered level of consciousness, decreased attention span, acute onset, and fluctuating course.
04/30/2011
Hypertension and Palpitations
Hypertension and Palpitations
04/30/2011
Navin M. Amin, MD
In patients who have a coarctation, the narrowing of the lumen of the aorta obstructs blood flow and thereby raises blood pressure.
04/30/2011
stuff
stuff
04/30/2011
Leonid Skorin, Jr., DO, MS, OD
The potential for ocular side effects in patients taking selective phosphodiesterase (PDE) 5 inhibitors has been documented. The most common visual symptoms associated with the PDE 5 inhibitors are the...
04/30/2011
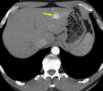
Abdominal Bruit of Unusual Origin
Abdominal Bruit of Unusual Origin
04/30/2011
Ildiko Lingvay, MD; Suzanne M. Strowig, MSN, RN; Philip Raskin, MD
<p><em><img alt="" height="123" src="/sites/default/files/images/ConCPBruitF2.jpg" style="float:left" width="150" /></em>A...
04/30/2011
Chest Pain and Palpitations
Chest Pain and Palpitations
04/30/2011
William J. Brady, MD; Richard A. Harrigan, MD; Theodore Chan, MD
A 35-year-old woman presents to the emergency department with palpitations and chest pain. She is aware of her heart beating fast but not irregularly. She notes associated discomfort in the center of her...
04/30/2011
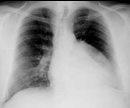
Cough and Dyspnea
Cough and Dyspnea
04/30/2011
Larry Hudgins, MD; Thomas M. Roy, MD; Said B. Iskandar, MD; Muhanad A. Al Hasan, MD; Vipul Brahmbhatt, MD
<div id="article-content-body"> <p><em><img alt="" src="/sites/default/files/images/ConCPEmpy3.jpg" style="border:1px solid black; height:139px;...
04/30/2011
Pressure Ulcers
Pressure Ulcers
04/30/2011
Brian L. Patterson, MD
<div id="article-content-body"><p>Pressure ulcers occur frequently in elderly, hospice, and spinal cord injury patients. They affect 5% to 10% of patients in all health care facilities...
04/30/2011
Headache and Neurologic Deficit
Headache and Neurologic Deficit
04/30/2011
Seymour Diamond, MD; Alexander Feoktistov, MD, PhD
<div id="article-content-body"><p><strong></strong>A 32-year-old woman complains of severe throbbing pain at the top of her head; numbness and weakness on the left side of...
04/30/2011
tips and tricks
tips and tricks
04/27/2011
<div id="article-content-body"> <p><strong>Saddle Up for Jugular Venous Pressure Assessment</strong></p> <p><strong>Cleaner Catch Urine in...
04/27/2011