Rotavirus Gastroenteritis Presenting Atypically With Ileus
A 4-year-old boy was transferred to our hospital from another institution for abdominal distention of 1 day’s duration. At the outside hospital, a nasogastric tube insertion had not produced any output and had not relieved the distention.
The patient had normal, soft bowel movements and was passing flatus; he did not have any emesis. Abdominal ultrasonography results showed no signs of obstruction.
The patient arrived at our hospital with normal vital signs and normal growth parameters. On physical examination, he had a significantly protuberant abdomen, which was nontender with no palpable masses or hepatosplenomegaly. Bowel sounds were hypoactive. The rest of the examination findings were unremarkable.
An abdominal radiograph showed multiple dilated loops of bowel with gas in the rectum (Figure A). Results of a complete blood count and thyroid function tests were normal, as were the erythrocyte sedimentation rate and levels of electrolytes, albumin, liver enzymes, pancreatic enzymes, and C-reactive protein.

The nasogastric tube was removed, and oral simethicone was started. He continued to have 2 to 3 normally formed bowel movements per day and frequent passage of flatus, but the abdominal distention remained unchanged.
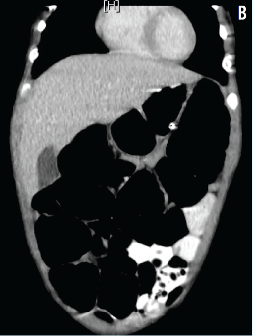
On the fourth day of hospitalization, the boy had an episode of emesis. An abdominal computed tomography scan visualized the dilated bowel loops and confirmed the lack of mechanical obstruction (Figure B). Stool samples were sent for pH testing, reducing substances, culture, Clostridium difficile DNA amplification, and a rotavirus enzyme immunoassay. The patient was started empirically on metronidazole for possible bacterial overgrowth.
On the fifth hospital day, he started having loose stools. Stool analysis results came back as positive for rotavirus. Metronidazole was discontinued, and the patient was discharged home with a diagnosis of acute gastroenteritis secondary to rotavirus infection.
Discussion
Ileus is the disruption of coordinated physiologic bowel motility resulting from a nonmechanical cause.1 It can result from increased sympathetic activity, inflammation of the bowel wall or adjacent organs, exposure to certain drugs (eg, opioids, antimotility agents), and electrolyte abnormalities (eg, hypokalemia).1,2 It is important to differentiate functional ileus from mechanical obstruction, since the management of either condition is quite different.
Patients with ileus can present with abdominal distention, vague discomfort, poor oral intake, nausea, and vomiting. On examination, bowel sounds are decreased, whereas in mechanical bowel obstruction, bowel sounds may be hyperactive. Radiography can help differentiate functional ileus from a mechanical obstruction, particularly when clinical evaluation is difficult.
In functional ileus, air is present in the small bowel, the colon, and the rectum. Cases of small bowel obstruction feature multiple dilated small bowel loops, and no air in the colon or rectum. In cases of large bowel obstruction, the presence of a competent ileocecal valve results in a nondistended small bowel and a dilated large bowel; air is not present in the rectum.3
Rotavirus is a leading cause of infectious gastroenteritis worldwide and is well known to cause severe diarrhea.4-6 Paralytic ileus can be a complication of potassium losses resulting from vomiting and diarrhea,2 or it can result from the inflammation and bowel irritation caused by the infection. The authors of a study of 116 children with rotavirus diarrhea in Kosovo found that 9.5% of them developed ileus.7
Our patient presented somewhat atypically, with ileus as the presenting sign, followed by vomiting 4 days later and, finally, diarrhea. It was learned later that he had failed to be vaccinated against rotavirus during infancy.
Most cases of acute gastroenteritis are self-limited, and management focuses primarily on preventing dehydration. Rotavirus gastroenteritis symptoms usually last from 3 to 7 days, but an asymptomatic child can continue viral shedding for several weeks.6
References
- Donahue TR, Hiatt JR. Ileus. In: Vincent J-L, Abraham E, Moore FA, Kochanek PM, Fink MP. Textbook of Critical Care. 6th ed. Philadelphia, PA: Elsevier Saunders; 2011:92-93.
- Burkhart DM. Management of acute gastroenteritis in children. Am Fam Physician. 1999;60(9):2555-2566.
- Recognizing bowel obstruction and ileus. In: Herring W. Learning Radiology: Recognizing the Basics. 2nd ed. Philadelphia, PA: Elsevier Saunders; 2012:138-147.
- Lin C-L, Chen S-C, Liu S-Y, Chen K-T. Disease caused by rotavirus infection. Open Virol J. 2014;8:14-19.
- Esona MD, Gautam R. Rotavirus. Clin Lab Med. 2015;35(2):363-391.
- Cox E, Christenson JC. Rotavirus. Pediatr Rev. 2012;33(10):439-445.
- Ismaili-Jaha V, Shala M, Azemi M, et al. Characteristics of rotavirus diarrhea in hospitalized children in Kosovo. Mater Sociomed. 2014;26(5):335-338.
