Skip to main content
Menu
Menu
Main navigation
Home
Education
Featured Topics
AAEM 32nd Annual Scientific Assembly
Depression Care 360
Emergency Medicine Excellence Forum
Emergency Medicine
GSK Partner Spotlight
Gynecologic Oncology
HIV Management
HIV Prevention
Migraine Excellence Hub
Severe Hypertriglyceridemia (sHTG)
Transthyretin Amyloid Cardiomyopathy (ATTR-CM)
Vaccines
Resources
Atlas of Lumps and Bumps
Case Presentations
Commentary
Disease State and Specialty Directory
FDA Alerts
Multidisciplinary Roundtables
Pearls
Podcasts
Polls
Q&A
Quizzes
Research Summaries
Slideshows
Videos
Featured Conferences
67th ASH Annual Meeting & Exposition
AAEM 32nd Annual Scientific Assembly
AANA 2025 Annual Congress
ANESTHESIOLOGY Annual Meeting
AANP National Conference
AAOMS 107th Annual Meeting
AAPM - PainConnect 2025
ACOG Annual Clinical & Scientific Meeting
ACR Convergence
ADA 85th Scientific Sessions
American Academy of Orthopaedic Surgeons 2025 Annual Meeting
American Association of Clinical Endocrinology 2025
American College of Cardiology 2025 Annual Meeting
American College of Foot and Ankle Surgeons 2025
American College of Physicians Internal Medicine Meeting
American Society of Clinical Oncology 2025
American Society of Hematology Annual Meeting & Exposition
APG Spring Conference 2025
APMA 2025 Annual Scientific Meeting
ASCO Annual Meeting
ASCRS Annual Scientific Meeting
ASHP Midyear Clinical Meeting and Exhibition
ASMBS 2025 Annual Meeting
ASRA Spring 2025
Consultant360's Practical Updates in Primary Care
Conference on Retroviruses and Opportunistic Infections
ENDO 2025
Kidney Week 2025
NCQA Health Innovation Summit
Plastic Surgery: The Meeting
SGO Annual Meeting on Women's Cancer
Society of Gynecologic Oncology Annual Meeting
Society of Hematologic Oncology's Annual Meeting
Society of Hospital Medicine Converge
Clinical Updates
Allergic Asthma
Alzheimer Disease
Atopic Dermatitis
Cardiovascular Disease
Chronic Obstructive Pulmonary Disease
COVID-19
Endometrial Cancer
Endometrial Hyperplasia
Endometriosis
Eosinophilic Disorders
Exocrine Pancreatic Insufficiency
Familial Chylomicronemia Syndrome
Generalized Pustular Psoriasis
Major Depressive Disorder
Myelofibrosis
Nasal Polyps
Ovarian Cancer
Rheumatoid Arthritis
Schizophrenia
Ulcerative Colitis
Uterine Polyps
Publication
About Consultant
Advertising With Consultant360
Author Guidelines
Call for Papers
Case Report Templates
Consultant Current Issue
Consultant Archive
Consultant Early View
FAQ
Get Permissions
Get Permissions
Search
Contact
Login
Menu
Menu
Main navigation
Home
Education
Featured Topics
AAEM 32nd Annual Scientific Assembly
Depression Care 360
Emergency Medicine Excellence Forum
Emergency Medicine
GSK Partner Spotlight
Gynecologic Oncology
HIV Management
HIV Prevention
Migraine Excellence Hub
Severe Hypertriglyceridemia (sHTG)
Transthyretin Amyloid Cardiomyopathy (ATTR-CM)
Vaccines
Resources
Atlas of Lumps and Bumps
Case Presentations
Commentary
Disease State and Specialty Directory
FDA Alerts
Multidisciplinary Roundtables
Pearls
Podcasts
Polls
Q&A
Quizzes
Research Summaries
Slideshows
Videos
Featured Conferences
67th ASH Annual Meeting & Exposition
AAEM 32nd Annual Scientific Assembly
AANA 2025 Annual Congress
ANESTHESIOLOGY Annual Meeting
AANP National Conference
AAOMS 107th Annual Meeting
AAPM - PainConnect 2025
ACOG Annual Clinical & Scientific Meeting
ACR Convergence
ADA 85th Scientific Sessions
American Academy of Orthopaedic Surgeons 2025 Annual Meeting
American Association of Clinical Endocrinology 2025
American College of Cardiology 2025 Annual Meeting
American College of Foot and Ankle Surgeons 2025
American College of Physicians Internal Medicine Meeting
American Society of Clinical Oncology 2025
American Society of Hematology Annual Meeting & Exposition
APG Spring Conference 2025
APMA 2025 Annual Scientific Meeting
ASCO Annual Meeting
ASCRS Annual Scientific Meeting
ASHP Midyear Clinical Meeting and Exhibition
ASMBS 2025 Annual Meeting
ASRA Spring 2025
Consultant360's Practical Updates in Primary Care
Conference on Retroviruses and Opportunistic Infections
ENDO 2025
Kidney Week 2025
NCQA Health Innovation Summit
Plastic Surgery: The Meeting
SGO Annual Meeting on Women's Cancer
Society of Gynecologic Oncology Annual Meeting
Society of Hematologic Oncology's Annual Meeting
Society of Hospital Medicine Converge
Clinical Updates
Allergic Asthma
Alzheimer Disease
Atopic Dermatitis
Cardiovascular Disease
Chronic Obstructive Pulmonary Disease
COVID-19
Endometrial Cancer
Endometrial Hyperplasia
Endometriosis
Eosinophilic Disorders
Exocrine Pancreatic Insufficiency
Familial Chylomicronemia Syndrome
Generalized Pustular Psoriasis
Major Depressive Disorder
Myelofibrosis
Nasal Polyps
Ovarian Cancer
Rheumatoid Arthritis
Schizophrenia
Ulcerative Colitis
Uterine Polyps
Publication
About Consultant
Advertising With Consultant360
Author Guidelines
Call for Papers
Case Report Templates
Consultant Current Issue
Consultant Archive
Consultant Early View
FAQ
Get Permissions
Get Permissions
Volume 14 - Issue 12 - December 2015
Consultant for Pediatricians
cataracts
cataracts
Congenital Cataracts
12/30/2015
Michelle Leff, MD, FAAP; Shira L. Robbins, MD
Within a few hours of birth, a neonate was noted to have bilateral leukokoria.
12/30/2015
gastroenteritis
gastroenteritis
Rotavirus Gastroenteritis Presenting Atypically With Ileus
12/30/2015
Melissa Kaori Silva Litao, MD
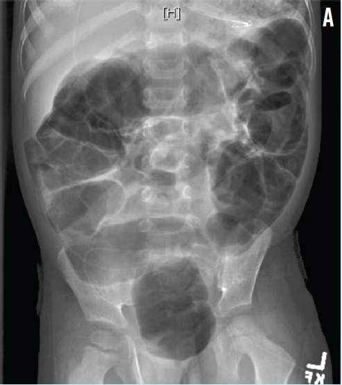
A 4-year-old boy was transferred to our hospital from another institution for abdominal distention of 1 day’s duration.
12/30/2015
Photoclinic
Photoclinic
Scleral Melanocytosis
12/29/2015
Pavan Bang, MBBS
A 7-year-old boy presented with bluish spots in both eyes that had been present since early childhood.
12/29/2015
stroke
stroke
Neonatal Stroke Induced by Factor V Leiden Mutation
12/29/2015
Lourdes Cohen, MD; Xin Ye, MD
A meconium-stained, nonvigorous girl was born at 41 weeks of gestation via normal, spontaneous vaginal delivery to a 30-year-old, gravida 1, para 1 mother.
12/29/2015
Becker nevus syndrome
Becker nevus syndrome
Becker Nevus Syndrome
12/28/2015
Daniel L. Ivan, MD
A 10-year-old girl presented with her mother for evaluation of a large brown spot that had been present on her right arm since birth.
12/28/2015
scoliosis
scoliosis
Are School Scoliosis Screening Examinations Necessary and Effective?
12/28/2015
Lindsay Nakaishi, MD, MPH; Linda S. Nield, MD
One parent asks whether scoliosis screenings in school are really necessary, and do they make a difference in the health of a child?
12/28/2015
Cellulitis
Cellulitis
Cellulitis and Abscess in a 2-Year-Old’s Cheek: Cutaneous Nocardia Infection
12/28/2015
Richard H. Schwartz, MD, DO; Rebecca Levorson, MD; Salma Haneef, MD
Two days before presenting to his primary care pediatrician, a previously well, 27-month-old boy had developed a solitary papule below his left eye.
12/28/2015
Pain
Pain
Do White Children Receive Better Pain Management Than Black Children Do?
12/28/2015
Jessica Tomaszewski, MD
Racial disparities have been documented in many areas of health care, from emergency department (ED) wait times to hospital admission rates.
12/28/2015
computed tomography
computed tomography
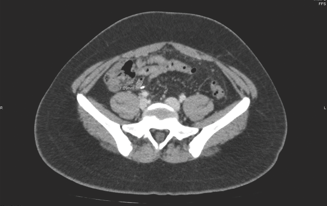
A Teenage Boy With Abdominal Pain After Appendectomy: What Does CT Show?
12/28/2015
Daniel Edberg, MD; Rayhan Lal, MD; Cynthia H. Ho, MD
A 16-year-old boy presented to the emergency department with 2 weeks of worsening lower abdominal pain.
12/28/2015
Plantar corn
Plantar corn
What Is This Adolescent’s Painful, Hyperkeratotic Foot Lesion?
12/28/2015
Alexander K. C. Leung, MD—Series Editor, and Benjamin Barankin, MD
Alexander K. C. Leung, MD—Series Edit...
A 17-year-old male athlete presented with a painful lesion on his right sole of approximately 6 months’ duration.
12/28/2015
Optic neuritis
Optic neuritis
Pediatric Optic Neuritis: An Isolated Finding, or a Sign of Demyelination?
12/28/2015
Massiel Sarmiento, MD; Sergey Prokhorov, MD; Virginia Kaldas, MD
A 17-year-old young male presented to the emergency department with sudden-onset vision loss in his right eye of 1 week’s duration...
12/28/2015
Langerhans Cell
Langerhans Cell
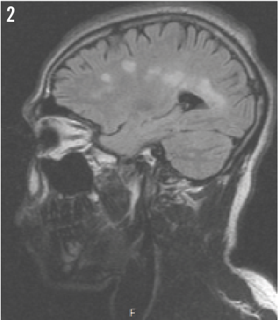
Langerhans Cell Histiocytosis: More Than Just a Simple Headache
12/23/2015
Bensson Samuel, MD, PG Dip, PhD, DBA; Jennifer Axelband, DO; Alden Smith, BA; Gloria Fioravanti, DO; Michael Hughes, BS; Santo Longo, MD; Emily Keeler, DO
An 18-year-old male without a significant medical history presented with 2-day history of swelling of the forehead above the right eye.
12/23/2015
chigger
chigger
A Girl Returns From Summer Camp With an Itchy Rash: What’s the Cause?
12/09/2015
Bann Al-Shammaa, MD; Amy C. Brown, MD, MHS
A mother brought her 8-year-old daughter to the office because of a rash on the girl’s ankle.
12/09/2015