Case 1:
A 16-year-old boy is concerned that his right index finger looks "odd." The finger is several centimeters longer than his left index finger, and it is also wider. The boy's mother reported that the finger had always seemed to be a little larger than the others, even when the patient was an infant, but no one paid it much attention.
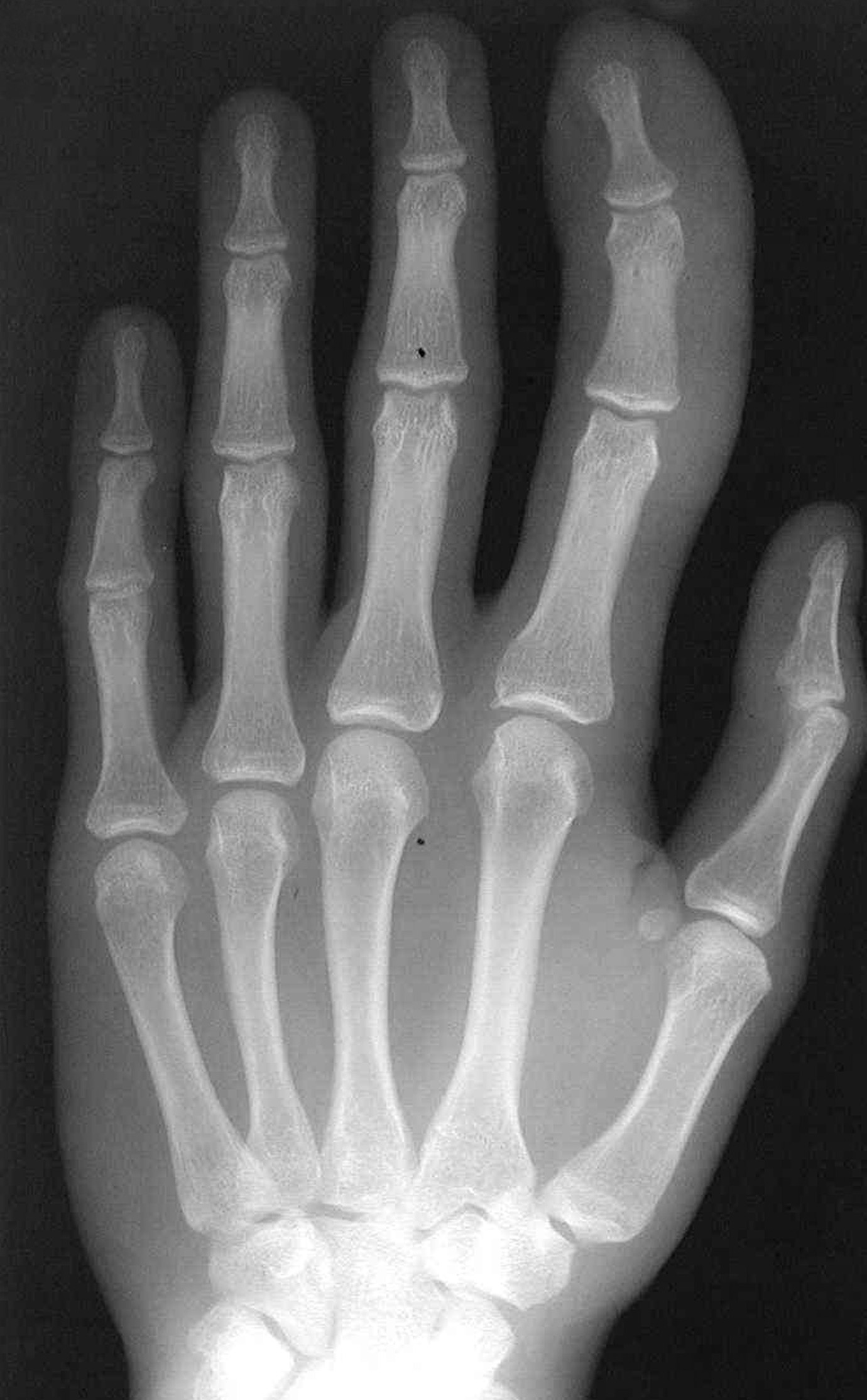
The patient reports no abnormal sensations in the enlarged finger. Significant fatty tissue is present, but there are no discrete masses. He has no pain on palpation or neurologic defect, and the finger has a full range of motion. Oblique and posteroanterior radiographs of the hand are shown.
What do the findings indicate?


Answer and discussion on next page.
Answer: Macrodystrophia lipomatosa
The radiographs demonstrate prominent soft tissue and bone overgrowth in the finger, consistent with the clinical and radiographic diagnosis of megadactyly. The soft tissue overgrowth is most marked at the distal end of the digit and the volar aspect. The intermetacarpal space is also enlarged. The finger has a slight lateral curve at the apex but no underlying bone deformity. Several lucent areas represent fat. Macrodystrophia lipomatosa was the subsequent diagnosis.

This fairly rare congenital form of focal gigantism is manifested by an overgrowth of the mesenchymal elements of a digit, with a concomitant disproportionate increase in fibroadipose tissue. Infiltrations into large nerves (typically, the median nerve) and their branches also may be present. A fibroadenolipoma may contribute to focal gigantism, because the soft tissue and bony enlargement generally occurs in the neurologic distribution of the affected nerve. The focal gigantism and its exact relationship to the hamartomatous disorder of the nerve remain unclear.
Macrodystrophia lipomatosa typically presents in infancy as a painless, slowly enlarging mass with or without neuropathy. Digit enlargement is usually unilateral and continues until puberty. Degenerative changes can occur in early adulthood.
Surgery--which may include excision of a mass or amputation--is usually performed for cosmetic or mechanical reasons. This patient was referred for a surgical consultation for cosmetic reasons. Reduction of the subcutaneous fat was performed without complications.
(Continued on next page)
Case 2:
A 3-year-old boy whose family recently immigrated to this country was brought for evaluation because the child was having difficulty in walking. Physical examination findings included genu varum, frontal bossing, and squaring of the calvaria, as well as swelling of the wrists and ankles.
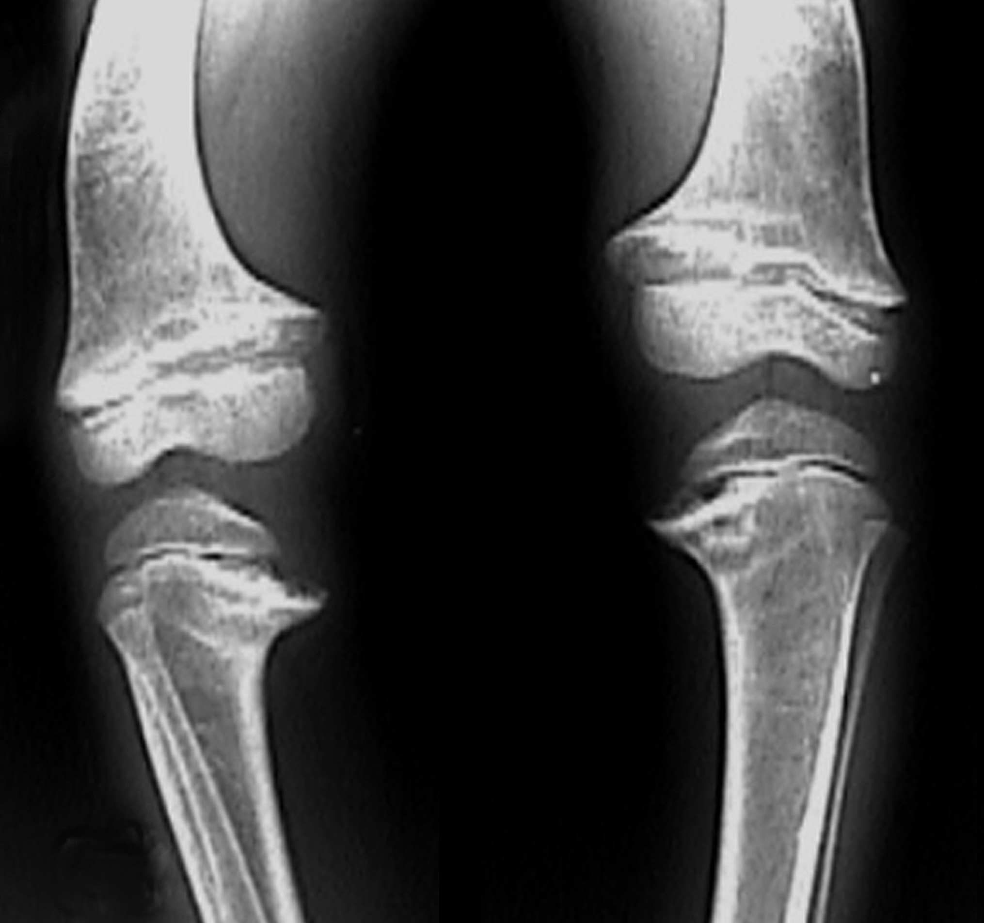
Radiographs of the patient's knees, the left knee alone, and the left wrist are obtained.
What diagnostic clues do you see here?

Answer and discussion on next page.
Answer: Rickets
The clinical and radiographic findings led to a diagnosis of rickets, which was attributed to vitamin D deficiency.


The radiograph of the knees shows bilateral genu varum and widening of all the tibial and femoral physes (A, orange arrows); there is also prominent sclerosis adjacent to the physes, primarily located in the medial portions of the metaphyseal tibiae and femora (A, black arrows). The radiograph of the left knee better demonstrates the physeal widening (B,orange arrows) and the juxtaphyseal sclerosis (B, black arrows). The radiograph of the left wrist shows widening of the distal radial physis with flaring of the distal radial and ulnar metaphyses (C,orange arrowheads); sclerosis adjacent to the radial and ulnar physes is most prominent in the distal radial metaphysis (C, black arrows). A prominent anterior costochondral junction caused by the preponderance of the maturing cartilage can also occur in persons with rickets.
This patient was given vitamin D supplements and was reportedly doing well 6 weeks later. When vitamin D deficiency is the cause of rickets, patients usually do very well with treatment and have radiographic resolution of their bone abnormalities within 12 to 24 weeks.
(Continued on next page)
Case 3:
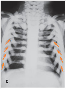
This petite 9-year-old boy presents for a new-patient evaluation after recently moving to the area. The child's medical history includes mild anemia, severe dental caries, and several multiple long bone and rib fractures within the past few years. Over the past 3 months, progressive visual changes and sensorineural hearing loss have developed. Other than focal examinations after fractures, he has not been examined radiographically for a few years. A complete bone survey, including radiographs of the hands, feet, and chest, is obtained.
What is your impression?



Answer and discussion on next page.
Answer: Osteopetrosis
The child has osteopetrosis. The radiographs show diffuse osteosclerosis and dramatically increased bone density throughout the axial and appendicular skeleton. There is diffuse bone sclerosis in the hands with widening of the distal radial metaphyses (A, arrows) and a "bone-within-a-bone appearance"--typical of osteopetrosis--in virtually all the metacarpals and phalanges. Bone sclerosis is also apparent in the feet; the bone-within-a-bone appearance is most prominent in the metatarsals (B, arrows). A chest radiograph demonstrates diffuse bone sclerosis and numerous old fractures of the anterolateral ribs bilaterally (C, arrows).



Bone biopsy confirms the diagnosis of osteopetrosis, also known as osteosclerosis fragilis generalisata or Albers-Schönberg disease. This is an extremely rare congenital disorder (incidence, 1 in 500,000) caused by defective osteoclast function or a decreased number of osteoclasts. Bones become overly dense because of increased bone mass and appear sclerotic. The resulting distorted architecture compromises the bone's ability to handle stress or loads and leads to numerous fractures.Patients may experience numerous infections associated with leukopenia, as well as anemia from decreased hematopoiesis, vision and hearing loss from compression of the cranial nerves, and dental caries.
Osteopetrosis is initially diagnosed radiographically. Bone density tests and bone biopsy confirm the diagnosis.
Treatment primarily involves bone marrow transplantation. Cranial nerve decompression may be attempted in patients with vision and hearing loss. Other options include intravenousinterferon gamma-1band oral 1,25-dihydroxyvitamin D, although the latter has not been proved to be effective. Corticosteroids have been used to stimulate bone resorption to treat anemia; however, their use is somewhat controversial.
This patient underwent bone marrow transplantation. The anemia was corrected and bone marrow function improved. The osseous components of his skeleton did not change significantly.
Dr Beall is associate professor of radiology and orthopedics, section chief of the musculoskeletal imaging division, and director of fellowships at the University of Oklahoma Medical Center, Oklahoma City. Dr Whyte is director, Council on Private Sector Initiatives, Agency for Healthcare Research and Quality, Rockville, Md.
