Skip to main content
Menu
Menu
Main navigation
Home
Education
Featured Topics
AAEM 32nd Annual Scientific Assembly
Depression Care 360
Emergency Medicine Excellence Forum
Emergency Medicine
GSK Partner Spotlight
Gynecologic Oncology
HIV Management
HIV Prevention
Migraine Excellence Hub
Severe Hypertriglyceridemia (sHTG)
Transthyretin Amyloid Cardiomyopathy (ATTR-CM)
Vaccines
Resources
Atlas of Lumps and Bumps
Case Presentations
Commentary
Disease State and Specialty Directory
FDA Alerts
Multidisciplinary Roundtables
Pearls
Podcasts
Polls
Q&A
Quizzes
Research Summaries
Slideshows
Videos
Featured Conferences
67th ASH Annual Meeting & Exposition
AAEM 32nd Annual Scientific Assembly
AANA 2025 Annual Congress
ANESTHESIOLOGY Annual Meeting
AANP National Conference
AAOMS 107th Annual Meeting
AAPM - PainConnect 2025
ACOG Annual Clinical & Scientific Meeting
ACR Convergence
ADA 85th Scientific Sessions
American Academy of Orthopaedic Surgeons 2025 Annual Meeting
American Association of Clinical Endocrinology 2025
American College of Cardiology 2025 Annual Meeting
American College of Foot and Ankle Surgeons 2025
American College of Physicians Internal Medicine Meeting
American Society of Clinical Oncology 2025
American Society of Hematology Annual Meeting & Exposition
APG Spring Conference 2025
APMA 2025 Annual Scientific Meeting
ASCO Annual Meeting
ASCRS Annual Scientific Meeting
ASHP Midyear Clinical Meeting and Exhibition
ASMBS 2025 Annual Meeting
ASRA Spring 2025
Consultant360's Practical Updates in Primary Care
Conference on Retroviruses and Opportunistic Infections
ENDO 2025
Kidney Week 2025
NCQA Health Innovation Summit
Plastic Surgery: The Meeting
SGO Annual Meeting on Women's Cancer
Society of Gynecologic Oncology Annual Meeting
Society of Hematologic Oncology's Annual Meeting
Society of Hospital Medicine Converge
Clinical Updates
Allergic Asthma
Alzheimer Disease
Atopic Dermatitis
Cardiovascular Disease
Chronic Obstructive Pulmonary Disease
COVID-19
Endometrial Cancer
Endometrial Hyperplasia
Endometriosis
Eosinophilic Disorders
Exocrine Pancreatic Insufficiency
Familial Chylomicronemia Syndrome
Generalized Pustular Psoriasis
Major Depressive Disorder
Myelofibrosis
Nasal Polyps
Ovarian Cancer
Rheumatoid Arthritis
Schizophrenia
Ulcerative Colitis
Uterine Polyps
Publication
About Consultant
Advertising With Consultant360
Author Guidelines
Call for Papers
Case Report Templates
Consultant Current Issue
Consultant Archive
Consultant Early View
FAQ
Get Permissions
Get Permissions
Search
Contact
Login
Menu
Menu
Main navigation
Home
Education
Featured Topics
AAEM 32nd Annual Scientific Assembly
Depression Care 360
Emergency Medicine Excellence Forum
Emergency Medicine
GSK Partner Spotlight
Gynecologic Oncology
HIV Management
HIV Prevention
Migraine Excellence Hub
Severe Hypertriglyceridemia (sHTG)
Transthyretin Amyloid Cardiomyopathy (ATTR-CM)
Vaccines
Resources
Atlas of Lumps and Bumps
Case Presentations
Commentary
Disease State and Specialty Directory
FDA Alerts
Multidisciplinary Roundtables
Pearls
Podcasts
Polls
Q&A
Quizzes
Research Summaries
Slideshows
Videos
Featured Conferences
67th ASH Annual Meeting & Exposition
AAEM 32nd Annual Scientific Assembly
AANA 2025 Annual Congress
ANESTHESIOLOGY Annual Meeting
AANP National Conference
AAOMS 107th Annual Meeting
AAPM - PainConnect 2025
ACOG Annual Clinical & Scientific Meeting
ACR Convergence
ADA 85th Scientific Sessions
American Academy of Orthopaedic Surgeons 2025 Annual Meeting
American Association of Clinical Endocrinology 2025
American College of Cardiology 2025 Annual Meeting
American College of Foot and Ankle Surgeons 2025
American College of Physicians Internal Medicine Meeting
American Society of Clinical Oncology 2025
American Society of Hematology Annual Meeting & Exposition
APG Spring Conference 2025
APMA 2025 Annual Scientific Meeting
ASCO Annual Meeting
ASCRS Annual Scientific Meeting
ASHP Midyear Clinical Meeting and Exhibition
ASMBS 2025 Annual Meeting
ASRA Spring 2025
Consultant360's Practical Updates in Primary Care
Conference on Retroviruses and Opportunistic Infections
ENDO 2025
Kidney Week 2025
NCQA Health Innovation Summit
Plastic Surgery: The Meeting
SGO Annual Meeting on Women's Cancer
Society of Gynecologic Oncology Annual Meeting
Society of Hematologic Oncology's Annual Meeting
Society of Hospital Medicine Converge
Clinical Updates
Allergic Asthma
Alzheimer Disease
Atopic Dermatitis
Cardiovascular Disease
Chronic Obstructive Pulmonary Disease
COVID-19
Endometrial Cancer
Endometrial Hyperplasia
Endometriosis
Eosinophilic Disorders
Exocrine Pancreatic Insufficiency
Familial Chylomicronemia Syndrome
Generalized Pustular Psoriasis
Major Depressive Disorder
Myelofibrosis
Nasal Polyps
Ovarian Cancer
Rheumatoid Arthritis
Schizophrenia
Ulcerative Colitis
Uterine Polyps
Publication
About Consultant
Advertising With Consultant360
Author Guidelines
Call for Papers
Case Report Templates
Consultant Current Issue
Consultant Archive
Consultant Early View
FAQ
Get Permissions
Get Permissions
Volume 4 - Issue 4 - April 2005
Consultant for Pediatricians
allergic reaction
allergic reaction
Dermclinic: A Photo Quiz to Hone Dermatologic Skills (April 2005)
04/29/2011
Kirk Barber, MD, FRCPC
This 3-year-old girl presented with red tender skin, irritability, and fever.
04/29/2011
allergic reaction
allergic reaction
Photoclinic: Neonatal Acne
04/29/2011
Alexander K.C. Leung, MD, MBBS, FRCPC, FRCP; Justine H.S. Fong, MD
For the past 10 days, a 3-week-old infant had a rash on the face.
04/29/2011
allergic reaction
allergic reaction
Infant With Purpura
04/29/2011
Randall Schlievert, MD; Gabriella Bene, MD
A 9-week-old Caucasian infant is brought to the primary care physician for evaluation of purpura and petechiae.
04/29/2011
allergic reaction
allergic reaction
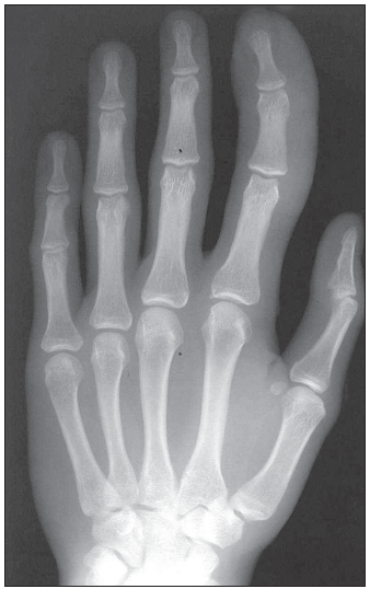
Photo Quiz: Can You Identify These Musculoskeletal Abnormalities?
04/29/2011
Douglas P. Beall, MD; John Whyte, MD, MPH
A 16-year-old boy is concerned that his right index finger looks "odd." The finger is several centimeters longer than his left index finger, and it is also wider.
04/29/2011
allergic reaction
allergic reaction
Apert Syndrome
04/29/2011
Bhagwan Das Bang, MD
<div id="article-content-body"> <p><img alt="Apert Syndrome" src="/sites/default/files/transfer/0504cfpPCApertA_thumb.jpg" style="height:73px; margin:5px;...
04/29/2011
asthma
asthma
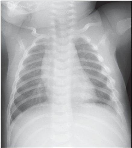
3-Year-Old Boy Covered With a Rash 1 Week After Vomiting, Diarrhea, and Abdominal Pain
04/29/2011
David Effron, MD; Maya C. Myslenski, MD
<DIV id=article-content-body> <P><STRONG><IMG style="MARGIN: 5px; FLOAT: left" alt="viral exanthem"...
04/29/2011
asthma
asthma
What Next For This Patient?: Teenage Girl With Constant Headaches
04/29/2011
David S. Reitman, MD
After a long morning in the office, you finally pick up the chart for your last scheduled patient--17-year-old Michelle.
04/29/2011
Boy With Rash After "Accidentally" Swallowing Coins
04/01/2005
An 8-year-old boy seen at a gastroenterology clinic after "accidentally" swallowing 2 coins 4 days earlier.
04/01/2005