THE CASE:
A 9-week-old Caucasian infant is brought to the primary care physician for evaluation of purpura and petechiae. His parents noted the bruising the previous night, which grew progressively worse throughout the next day. The lesions seemed to appear "out of the blue" without apparent cause, including trauma. The child had no fever, cough, or vomiting. He had been alert and was feeding well.
The child was born at term via cesarean delivery because of a maternal history of herpes simplex virus infection. The pregnancy was otherwise uncomplicated. The child weighed 6 lb 12 oz at birth. Prophylactic vitamin K was given before circumcision, which was done in the newborn nursery without bleeding or oozing.
The postnatal period was significant for mild jaundice, which developed when the infant was 3 days old. He did not require phototherapy. When the infant was about 4 weeks of age, colicky symptoms developed, along with increased spitting up.
A maternal uncle had experienced excessive bleeding during tooth extraction that required vitamin K therapy. There was no other family history to indicate a possible bleeding diathesis (including menorrhagia, easy bruising, postoperative bleeding, or early hysterectomy).
Physical examination revealed an alert infant in no distress with normal vital signs. Weight was at the 50th percentile. There was a dime-sized bluish bruise below the umbilicus and pinpoint blue bruising above the umbilicus. In addition, bluish bruising was present on the left anterior thigh, left flank, right posterior arm and shoulder, and temples bilaterally. Bleeding was absent from the nose, gums, and other mucous membranes. The infant had normal skin texture and elasticity. Joint mobility was normal. The remainder of the physical examination was unremarkable.
The child was hospitalized with a diagnosis of unexplained purpura. Given the family history, a bleeding diathesis was suspected. However, the complete blood cell count was normal, with no left shift.
Is the workup for bleeding disorders sufficient in this case--or is further investigation for other underlying conditions needed?
DISCUSSION:
In this case, a complete hematologic workup was undertaken. Results of prothrombin time, partial thromboplastin time, and liver function tests were normal. Factor VIII(, IX, and XIII assays were normal, as was a von Willebrand profile. Thrombin clotting time and evidence from platelet electron microscopy were unremarkable.
Urine and blood cultures were obtained as part of a "mini" sepsis workup. There was no bacterial growth.
After test results were received, the managing team reviewed the patient's medical and social history and was concerned about maltreatment. When a child abuse specialist was consulted, the child's parents expressed anger, stating that abuse was being considered because the doctors could not figure out the real cause of the bruising.
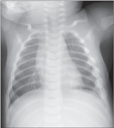
Radiographic studies, including a skeletal survey and brain CT, were ordered. The skeletal survey (Figure) demonstrated healing posterior fractures of the left sixth through eighth ribs and lateral rib fractures of the left fourth through seventh ribs. A CT scan of the head was normal. Ophthalmologic examination revealed left lateral subconjunctival hemorrhage. Retinal hemorrhages were not present.
A diagnosis of inflicted injury was made. Child Protective Services was contacted, and protective measures were implemented. Initially, the parents maintained that there was no trauma to the child. Several months later, the father admitted to repeatedly squeezing the infant during his bouts of crying.
TAKE-HOME POINTSFor primary care physicians, this case highlights the necessity of entertaining physical abuse as a leading item in a differential diagnosis of any infant with bruising. Any bruised non-ambulatory infant should receive a workup for possible inflicted injury. Research has documented the near non- existence of bruising in otherwise healthy non-ambulatory non-abused infants. Sugar and colleagues1 demonstrated that only 2 (0.6%) of 366 normal infants younger than 6 months had any bruises. And--unlike the infant in our case--infants younger than 6 months had no bruises on the face, trunk, or extremities in that study.
Rib fractures in an infant are a major indicator of physical abuse. A study of 39 infants with rib fractures found that 82% had been physically abused.2 Other, much less common mechanisms of injury were serious accidents, birth trauma, or conditions of bony fragility. Because rib fractures in infants were usually the result of abuse, the authors recommended thorough clinical and radiologic evaluation. Posterior rib fractures are especially suggestive of physical abuse. Most rib fractures, particularly posterior rib fractures, are attributed to violent shaking (as opposed to direct impact of chest compression).3
In our opinion, the possibility of physical abuse needs to be fairly and truthfully acknowledged with the family. When abuse is in the differential diagnosis, it should be incorporated as part of the overall workup. Evidence of abuse should not be sought only after other disorders have been ruled out. This proactive approach leads to optimal protection of the child and avoids the appearance to the family that abuse is only being discussed because "the doctors can't figure out what's wrong."
