Do you have a diagnosis for her 6-week history of lesions?
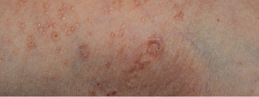
A 42-year-old female presented with a 6-week history of asymptomatic lesions on both antecubital fossa. She is otherwise healthy and takes no medications. She has had no change in her menstrual history.

What is responsible for her lesions?
A. Atopic dermatitis.
B. Molluscum contagiosum.
C. Lichen planus.
D. Psoriasis.
E. Flat warts.
(Answer and discussion on next page)
Answer—Lichen planus
A biopsy revealed changes consistent with lichen planus. These early lesions are just starting to manifest the classic features of flat-topped, purplish, polygonal papules. There is no uniformly satisfactory treatment for these lesions—some individuals respond to topical steroid therapy.
Note: The patient had received several vaccinations in the last 6 months to travel to Africa (2 months prior) and Asia (upcoming). Therefore, this may be a possible immunologic response.
