Volume 54 - Issue 4 - April 2014

Consultant

Skin Disorders
Skin Disorders
02/29/2016
Daniel Shumpert, MD
A 58-year-old white female presents to the family physician as a new patient. Her chief complaint is fatigue and anemia.
02/29/2016
Skin Disorders
Skin Disorders
02/29/2016
Damian Casadesus, MD, PhD; Annia Cotorruelo Martinez, MD; Nayle Araguez Ancares, MD
A 40-year-old Hispanic male with no significant past medical history was traveling back to his country when he was brought to the emergency department from the airport due to an altered mental status.
02/29/2016
hand foot mouth
hand foot mouth
02/29/2016
Khalid Jaboori, MD
A 26-year-old woman presents to your clinic with 5 days of burning and tingling lesions that initially began on her hands bilaterally.
02/29/2016
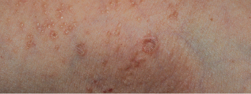
Urticaria
Urticaria
02/29/2016
Nathan G. Miller, DO, LT, MC
A 39-year-old white female complains of an erythematous pruritic rash that spontaneously resolved after about 24 hrs.
02/29/2016
Kerion
Kerion
04/24/2014
David L. Kaplan, MD
An otherwise healthy 6-year-old male presented 2 months ago with an itchy scalp and hair loss.
04/24/2014
Lichen planus
Lichen planus
04/24/2014
David L. Kaplan, MD
A 42-year-old female presented with a 6-week history of asymptomatic lesions on both antecubital fossa. She is otherwise healthy and takes no medications. She has had no change in her menstrual history. ...
04/24/2014
Melanoma
Melanoma
04/24/2014
David L. Kaplan, MD
A 63-year-old male was recommended to have a pigmented lesion behind his ear checked out. It was asymptomatic and of unknown duration; in fact, he was unaware of it.
04/24/2014
Medicare Update
Medicare Update
04/17/2014
Jessica Delaisse; Tyler Bliss; Emilio Gonzalez, MD; Shraddha Jatwani, MD; Lindsey Hunter-Ellul, MD; Ahmed Morsy, MD
A 41-year-old Honduran male with no significant past medical history was admitted to the internal medicine service with progressively worsening myalgias, migratory polyarthralgias, and fever for 10 days. ...
04/17/2014
Allergen
Allergen
04/16/2014
Sharon E. Jacob, MD
This article highlights ACD and explores top relevant allergens, regional-based dermatitis presentations, topic-based dermatitis presentations, as well as clinical tips and pearls for diagnosis and...
04/16/2014
Erythema Nodosum
Erythema Nodosum
04/16/2014
Patricia Reichert, DO, LT, MC; Michele Sprosty, MD, MC
A 20-year-old active duty female presented to the clinic with a 10-day history of bilateral symmetrical arthalgias of her knees and elbows, and a tender rash on her lower extremities.
04/16/2014
Hepatitis C
Hepatitis C
04/16/2014
Tim Casey
New hepatitis C medications are expected to lead to better cure rates and place even more of a financial burden on payers.
04/16/2014
Case In Point
Case In Point
04/16/2014
Complications of tattooing include aseptic inflammation, allergic reactions, pyogenic infections, and nonpyogenic infections.
04/16/2014
Department
Department
04/16/2014
Gregory W. Rutecki, MD
For a long time, urinary albumin excretion—whether measured by the cumbersome 24-hour urine collection or the spot albumin/creatinine ratio (ACR)—was solely a reflection of kidney disease, especially in...
04/16/2014
Rash
Rash
04/16/2014
Barbara Zeiger
Scientists have pinpointed a reason why eczema sufferers often experience an itch before a rash appears: Staphylococcus biofilm. Itching and inflammation not yet visible on the skin’s surface are the result...
04/16/2014
Warfarin
Warfarin
04/16/2014
Louis Kuritzky, MD; Eric A. Dietrich, PharmD, BCPS
We previously met Agatha, 85-year-old female with noted atrial fibrillation. Today, 7 days after initiation, her INR is subtherapeutic at 1.8. How do we adjust her dose in order to attain a therapeutic INR...
04/16/2014
syncope
syncope
04/16/2014
Ronald N. Rubin, MD
A 53-year-old man is admitted via the emergency room for evaluation of episodes of near syncope and syncope.
04/16/2014
Diabetes Q&A
Diabetes Q&A
04/16/2014
Kim A. Carmichael, MD, FACP
In a recent survey of patients with diabetes, 50% of those diagnosed with type 1 diabetes (T1D) and 75% of those with type 2 diabetes (T2D) remembered their physicians counseling them on the effects of...
04/16/2014
Rheumatology
Rheumatology
04/16/2014
A collection of photo-based cases of rheumatic disorders including vasculitis, heberden nodes, and crowned dens syndrome.
04/16/2014
cyst
cyst
04/15/2014
Tameka Simpson, DO; Ramneet Wadehra, DO; Jamey Hourigan, DO; Alan Lucerna, DO
A previously healthy 18-year-old white male presented to the emergency room with complaint of sharp left upper quadrant pain—exacerbated with deep inspiration—that had been gradually worsening over the past...
04/15/2014
cyst
cyst
04/15/2014
Tameka Simpson, DO; Ramneet Wadehra, DO; Jamey Hourigan, DO; Alan Lucerna, DO
A previously healthy 18-year-old white male presented to the emergency room with complaint of sharp left upper quadrant pain—exacerbated with deep inspiration—that had been gradually worsening over the past...
04/15/2014
cyst
cyst
04/15/2014
Tameka Simpson, DO; Ramneet Wadehra, DO; Jamey Hourigan, DO; Alan Lucerna, DO
A previously healthy 18-year-old white male presented to the emergency room with complaint of sharp left upper quadrant pain—exacerbated with deep inspiration—that had been gradually worsening over the past...
04/15/2014
Case Report
Case Report
04/15/2014
Daniel Yanfeng Lin, MD, PhD; Jennifer L. Good, MD; Donald M. Beckstead, MD
This article seeks to identify the etiology, prognosis, and factors that contribute to the prognosis, with a focus on central pontine myelinolysis as a contributing cause.
04/15/2014
Osteoporosis
Osteoporosis
04/15/2014
Allison Feibus, MS; Neil H. Baum, MD
This article provides an overview of osteoporosis in the male population, reviewing its classification, etiology, risk factors, diagnosis, and treatment.
04/15/2014
Osteoporosis
Osteoporosis
04/15/2014
Allison Feibus, MS; Neil H. Baum, MD
This article provides an overview of osteoporosis in the male population, reviewing its classification, etiology, risk factors, diagnosis, and treatment.
04/15/2014
Osteoporosis
Osteoporosis
04/15/2014
Allison Feibus, MS; Neil H. Baum, MD
This article provides an overview of osteoporosis in the male population, reviewing its classification, etiology, risk factors, diagnosis, and treatment.
04/15/2014
Dementia
Dementia
04/15/2014
Michael Gordon, MD, MSc, FRCPC
For the primary care physician who may see an increase in the number of older patients reporting nonspecific cognitive issues, the questions will be when to intervene and how?
04/15/2014
Dementia
Dementia
04/15/2014
Michael Gordon, MD, MSc, FRCPC
For the primary care physician who may see an increase in the number of older patients reporting nonspecific cognitive issues, the questions will be when to intervene and how?
04/15/2014
Dementia
Dementia
04/15/2014
Michael Gordon, MD, MSc, FRCPC
For the primary care physician who may see an increase in the number of older patients reporting nonspecific cognitive issues, the questions will be when to intervene and how?
04/15/2014
Feature
Feature
04/15/2014
Rachmel Cherner, MD
This column offers practical tips to identify the barriers to compliance and help patients become more active participants in their healthcare.
04/15/2014
Autism
Autism
04/15/2014
April marks Autism Awareness Month and an opportunity to highlight the resources, diagnostic tools, and treatment services available for individuals with developmental difficulties inherent with this...
04/15/2014