Case 1:
For several months, a 12-year-old boy has been bothered by intermittent pruritus of the feet. He is very active in sports all year, and his feet tend to perspire heavily. He has a family history of seasonal allergies. He says that the rash worsened after he used an over-the-counter hydrocortisone( cream.
What might explain the rash?
A. Contact dermatitis to hydrocortisone.
B. Exacerbation of tinea pedis from hydrocortisone.
C. Contact dermatitis to athletic shoes.
D. Juvenile plantar dermatosis.
E. Impetigo.
Case 1: This atopic patient has juvenile plantar dermatosis, D, as a result of excessive foot perspiration from his athletic activities. This dermatosis can erupt on the plantar or dorsal surface and is more common in children than adults because the skin surface has not thickened yet. The diagnosis is based on a history of atopy and hyperhidrosis and negative results on a potassium hydroxide( evaluation. The patient's condition was exacerbated by contact dermatitis to the hydrocortisone cream, A. Up to 5% of persons who undergo patch testing show contact hypersensitivity to corticosteroids, including hydrocortisone.1
This patient responded to hygienic measures, such as keeping his feet dry, and a topical corticosteroid to which he was not sensitive.
Tinea pedis can be exacerbated by topical corticosteroids, but tinea is scalier than the condition seen here. Shoe dermatitis is usually confined to the dorsum of the feet and does not extend to the ankles. Impetigo presents with crusting erosions.
Case 2:
For several months, a 12-year-old girl has had asymptomatic erythematous papules on the sides of her nose.She is otherwise healthy.
Which condition is responsible for the eruption?
A. Acne.
B. Keratosis pilaris.
C. Staphylococcal infection.
D. Candidal infection.
E. Seborrheic dermatitis.
Case 2: The patient had a papular variant of seborrheic dermatitis, E, that is common in preteenagers. This is generally a clinical diagnosis based on the appearance and location of the lesions. The dermatitis responded to a sulfacetamide(/sulfur topical antibiotic. An antifungal cream is another treatment option.
Acne is not typically confined to the paranasal region. Keratosis pilaris typically is found in the mid-cheek area. Staphylococcal and candidal infections are more inflammatory and symptomatic.
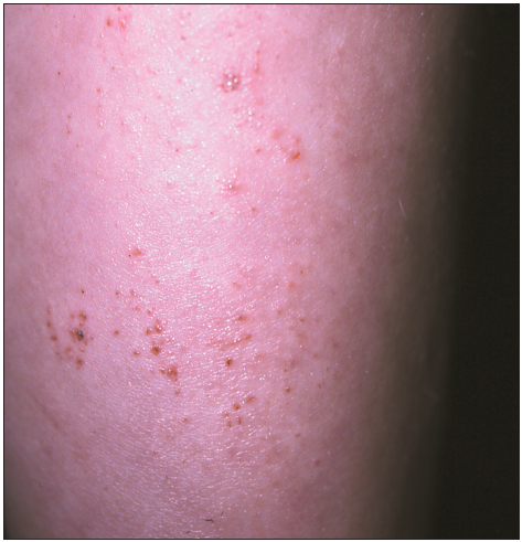
Case 3:
For several weeks, an 11-year-old girl has had itchy shins. She plays soccer and wears shin guards. Although she bathes frequently, she has not used any new soaps. The family has a dog, and there is a family history of asthma.
What is the cause of the itchy shins?
A. Scabies.
B. Contact dermatitis.
C. Atopic dermatitis.
D. Psoriasis.
E. Lichen simplex chronicus.
Case 3: This patient had a flare of atopic dermatitis, C, attributable to a combination of abrasion from the shin guards and bathing twice a day.
Scabies would be more widespread after a few weeks. The lesions of contact dermatitis are usually more confluent than the discrete lesions seen here. Psoriasis would be more erythematous and scaly. Lichen simplex chronicus would be considered if the patient did not respond to moisturizers and mild topical corticosteroids.
