Volume 5 - Issue 8 - August 2006

Consultant for Pediatricians

Featured
Review Article
Review Article
04/29/2011
Musculoskeletal infections in children encompass a broad spectrum of entities that vary greatly in severity and complexity.
04/29/2011
Photo Essay
Photo Essay
04/29/2011
Alexander K.C. Leung, MD, MBBS, FRCPC, FRCP; C. Pion Kao, MD
For 2 days, a 4-year-old girl had complained of discomfort and a yellow discharge from the left eye.
04/29/2011
Medical profession
Medical profession
04/29/2011
Laurie Meng, PA-C
After falling down a flight of stairs, a toddler was diagnosed with a growth plate fracture in his ankle.
04/29/2011
Medical profession
Medical profession
04/29/2011

August 1, 2006

August 1, 2006
This 18-year-old girl had been taking divalproex for seizure disorder for 2 years.
04/29/2011
Case In Point
Case In Point
04/29/2011
Ellen Bass, MD, MPH; Dante Pappano, MD, MPH
Bladder knots following transurethral catheterization occur almost exclusively in young boys who have been catheterized with a feeding tube.
04/29/2011
Medical profession
Medical profession
04/29/2011
Robert Giusti, MD; Daniel Gelfond, MD
A 12-year-old boy from Pakistan presented with weakness, night sweats, anorexia, and chronic cough of 2 months' duration.
04/29/2011
Medical profession
Medical profession
04/29/2011
Robert L. Hendren, DO
 
04/29/2011
Medical profession
Medical profession
04/29/2011

August 1, 2006

August 1, 2006
An 8-year-old boy was brought to the emergency department with fever, bloody and mucous diarrhea, and abdominal pain.
04/29/2011
Medical profession
Medical profession
04/29/2011
Howard Fischer, MD
<DIV id=article-content-body> <P>This past February, I wrote an editorial for this journal called "Skeptical Sentiments."<SUP>1</SUP> In that essay, I mentioned the...
04/29/2011
Developmental Delay
Developmental Delay
04/29/2011

July 31, 2006

July 31, 2006
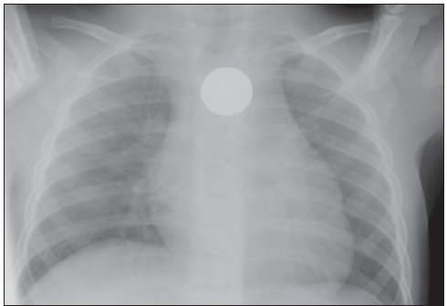
Infants and toddlers will put just about anything into their mouths.
04/29/2011
Developmental Delay
Developmental Delay
04/29/2011
Michael I. Reiff, MD
Attention deficit hyperactivity disorder (ADHD) is the most commonly diagnosed bio-behavioral disorder of childhood.
04/29/2011
Developmental Delay
Developmental Delay
04/29/2011

ALEXANDER K. C. LEUNG, MD–Series Editor, WM. LANE M. ROBSON, MD, and HARDALLY R. HEGDE, MD
Dr Leung is clinical associate professor of pediatrics at the University of Calgary and pediatric consultant at the Alberta Children’s Hospital in Calgary, Alberta. Dr Robson is medical director of The Childrens’ Clinic in Calgary. Dr Hegde is a pediatric consultant at the Alberta Children’s Hospital.


 
ALEXANDER K. C. LEUNG, MD–Series Edit...
Six-year-old East Indian boy delivered by normal spontaneous vaginal delivery to a para 3, gravida 2, 42-year-old mother following uncomplicated, full-term pregnancy.
04/29/2011
Photoclinic
Photoclinic
04/29/2011
Howard Fischer, MD; Abha Sharma, MD
A 27-month-old boy is brought by his mother to the emergency department with a 1-day history of sluggish behavior and unsteady gait.
04/29/2011
Pediatrics
Pediatrics
04/29/2011
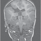
Atiya Khan, MD, MRCP; Suzy Mascaro-Walter, MSN, CFNP
Schizencephaly can be unilateral or bilateral and may present as an isolated malformation or be associated with other brain abnormalities.
04/29/2011
infection
infection
04/29/2011
Robert L. Hendren, DO
Is there a biomarker for the diagnosis of ADHD?
04/29/2011
infection
infection
04/29/2011
Adelaide S. Robb, MD
Attention deficit hyperactivity disorder (ADHD) is very common.
04/29/2011
Pediatrics
Pediatrics
04/29/2011
Jodi Ganz, MD; Flora S. Kim, BA
A solitary mastocytoma is the most common cutaneous mastocytoses in children. Most cases resolve on their own, but a skin biopsy may be necessary in atypical cases.
04/29/2011
infection
infection
04/29/2011
Kirk Barber, MD, FRCPC
For several months, a 12-year-old boy has been bothered by intermittent pruritus of the feet.
04/29/2011
Chest pain
Chest pain
04/29/2011
Deepak M. Kamat, MD, PhD; Prashant V. Mahajan, MD, MPH, MBA; Manu Kundra, MD; Marney Gundlach, MD
Chest pain in children evokes anxiety in patients and their parents—and prompts frequent visits to the pediatrician's office, urgent care facility, or emergency department.
04/29/2011
Photoclinic
Photoclinic
04/29/2011
Jack-Ky Wang, MD; Laurie Meng, PA-C
Right lower leg pain prompted a 15-year-old boy to seek medical attention.
04/29/2011
dermatophyte infections
dermatophyte infections
04/29/2011
Joe R. Monroe, PA-C, MPAS, PA
The parents of a 3-year-old girl sought evaluation of their daughter's hair loss.
04/29/2011