A 9-year-old Hispanic boy presented with submental swelling and dysphagia. The swelling had progressed over 5 days. He had no history of fever, difficulty in breathing, or voice change.
Over the past 2 years, this patient had had 2 previous episodes of neck swelling. The first occurred 2 weeks after a bout of Bell palsy. At that time, the swelling had been attributed to a lingual space abscess that was evident on a CT scan. The abscess had been incised and drained: pus from the abscess grew a few Haemophilus influenzae non-type b organisms. The second episode of swelling was thought to be lymphadenopathy: the patient was discharged home from the emergency department without therapy. A review of systems was negative for any other medical problems.
The patient was afebrile, and his vital signs were within normal limits. A nontender, nonfluctuant, firm 6-cm mass was palpable just below the chin in midline. It moved upward with tongue protrusion. Other physical examination findings were normal.
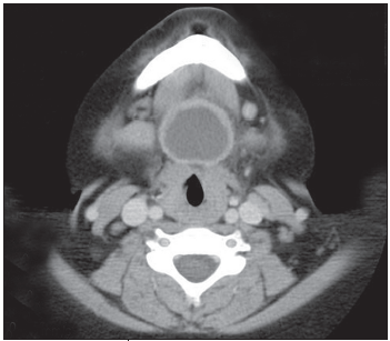
The complete blood cell count was normal, and blood culture was sterile. CT scans of the neck with contrast showed a well-defined, round cystic mass, with a homogeneous low- attenuation center and a ringlike enhancement in the midline immediately anterior and inferior to the hyoid bone (Figure). There was no evidence of significant fat around the nodes adjacent to the mass, and the airway was patent. The parotid and thyroid glands were within normal limits. These findings were thought to be consistent with an infected thyroglossal duct cyst (TGDC).
The abscess was incised and drained; bacterial culture again grew H influenzae non-type b, which were lactamase-negative. Postoperative thyroid function studies showed that the patient's T4 and free thyroxine levels were slightly elevated, but the thyroid-stimulating hormone level was normal.
Thyroglossal Duct CystTGDC is the most commonly described midline neck mass.1 It is also the most common congenital anomaly of the head and neck.2 The incidence of TGDC in the general population is unclear. Numerous case reports appear in the literature, which suggests that the anomaly is not uncommon. In one study, the incidence of TGDC was 7% in 200 consecutive autopsies.3 Review of a series of 1747 patients indicates that TGDC occurs in males and females with equal frequency.4
Anatomy ReviewThe thyroid gland appears in the ventral midline of the pharynx between the first and second pharyngeal pouches. It starts as an endodermal thickening during the fourth week, just caudal to the median tongue bud (tuberculum impar). The thyroid primordium soon elongates to form a prominent downward growth called the thyroid diverticulum. During its caudal migration in front of the hyoid bone and laryngeal cartilage, the thyroid gland expands and bifurcates.
For some time, the main gland remains connected to its site of origin at the base of the tongue by a narrow thyroglossal duct. By about the seventh week, when the thyroid reaches its final location at the level of the second and third tracheal cartilage, the thyroglossal duct has largely regressed. In almost half the population, the distal portion of the thyroglossal duct persists as the pyramidal lobe of the thyroid gland. The TGDC--a cystic remnant of the duct--may lie at any point along the migratory path of the thyroid gland. Because the migratory path of the thyroid gland lies close to the hyoid bone, the thyroglossal cyst can be encased in the bone or lie anterior or posterior to it.5,6
A TGDC usually presents as a swelling anywhere along the embryologic path of descent from the base of the tongue to the thyroid isthmus. However, 80% of TGDCs lie in a subhyoid position.4
Clinical ManifestationsAlthough TGDC is classically described as a painless swelling, 43% of children with this disorder present with an infected neck mass and therefore have swelling associated with pain.7 The age range is 1 to 11 years, with a mean age at presentation of 6 years.7 In another series, the mean age at the time of TGDC excision was 5 years (range, 6 months to 16 years).2 When both children and adults were included, the average age at presentation was 21.5 years.8
TGDC can occasionally lead to upper airway obstruction.9
Our patient did not have a family history of TGDC. However, hereditary TGDC with an autosomal dominant pattern has been described.10,11
Diagnosis and TreatmentCT is the imaging study most often used to diagnose TGDC.8
To prevent recurrence, complete excision of the TGDC up to the base of the tongue is the recommended surgical approach.12
Our patient had high levels of T4 and free thyroxine. Unfortunately, we do not have the histopathology on the excised mass. We believe that it may have contained associated thyroid tissue. Thyroid follicles have been found in 33% to 56% of histopathologic specimens of TGDC.13,14
Clinical hypothyroidism has been well described following removal of an ectopic thyroid gland that was mistakenly thought to be a TGDC. Ninety percent of ectopic thyroid tissue is found at the base of the tongue; the remaining 10% can be found anywhere in the anterior aspect of the neck. Ectopic thyroid tissue represents the sole functioning thyroid tissue in 75% of affected patients.15 In about 1% to 2% of patients with ectopic thyroid, TGDC is misdiagnosed.16,17
In a study of 230 patients with TGDC, 8 patients had histopathologic features consistent with thyroid tissue rather than an epithelial-lined TGDC; 5 of these 8 patients had clinical evidence of hypothyroidism before surgery.18 The authors of that study suggest that when thyroid tissue is found on histologic study, a postoperative thyroid scan should be performed to demonstrate the presence of a nor- mal-functioning thyroid gland.
Opinions vary as to the optimal investigations to look for functioning thyroid tissue in a patient with a presumed TGDC. Tunkel and Domenech19 suggest that a careful medical history and physical examination--with special attention to signs and symptoms of hypothyroidism--should be performed. In patients with clinical evidence of hypothyroidism, preoperative serologic thyroid function tests and radioisotope scans of the thyroid gland are warranted.
Preoperative ultrasonographic scans offer a sensitive means of identifying a normal thyroid gland in patients with TGDC.20,21 Retrospective studies have demonstrated that no patients had hypothyroidism when the TGDC was excised after ultrasonography demonstrated a normal thyroid gland. Thus, ultrasonography of the thyroid gland is indicated in all patients with TGDC. If the scans show the thyroid gland to be normal, there is no need for further radioisotope scanning.
The risk of papillary thyroid carcinoma is increased by up to 10% in persons with TGDC.22,23 Age-related risk is not well defined, and it is not clear whether all TGDCs should be excised to prevent papillary carcinoma.
