Volume 5 - Issue 3 - March 2006

Consultant for Pediatricians

Photo Quiz
Photo Quiz
04/29/2011
Noah S. Scheinfeld, MD, JD
Can you identify this asymptomatic lesion on the neck of a healthy 14-year-old boy?
04/29/2011
Dermclinic
Dermclinic
04/29/2011
Kirk Barber, MD, FRCPC
I was asked to see this child by her physician who was concerned that these lesions were a neoplastic event.
04/29/2011
04/29/2011
Srinivasan Suresh, MD, MBA
Millions enjoy skiing, snowboarding, and sledding. These cold weather activities--while exhilarating--also cause many injuries, each with distinct clinical characteristics
04/29/2011
04/29/2011
David S. Reitman, MD
Your patient, Keith, is a 19-year-old college freshman who is currently on spring break following the successful co
04/29/2011
04/29/2011
Jennifer Marin, MD
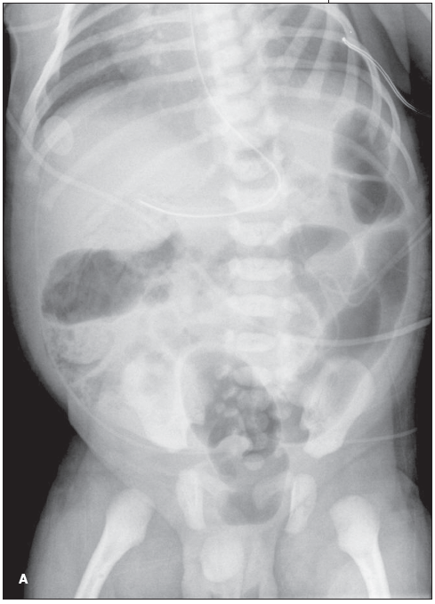
A 30-hour-old boy--born to a 36-year-old gravida 3, para 3, at full term via a spontaneous vaginal delivery--was noted to a have a mildly distended abdomen while in the newborn nursery.
04/29/2011
asthma
asthma
04/29/2011
David S. Reitman, MD
Gonorrhea (aka "the clap," or "the drip") is caused by sexually transmitted Neisseria gonorrhoeae--a Gram-negative diplococcus.
04/29/2011
asthma
asthma
04/29/2011
Elias Milgram, MD
The mother of a young child was concerned about these hyperpigmented streaks that had appeared on her son's upper chest during the previous 2 weeks.
04/29/2011
asthma
asthma
04/29/2011
Shashi Sahai, MD; Mark Borkin, MD; Deepak M. Kamat, MD, PhD
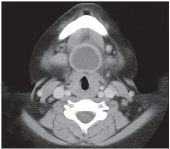
A 9-year-old Hispanic boy presented with submental swelling and dysphagia.
04/29/2011
asthma
asthma
04/29/2011
Sairah Chachad, MD; Deepak M. Kamat, MD, PhD
This day-old, macular, blanching, nonpruritic rash had developed in the right axilla and on the right arm and right side of the trunk of a 3 1/2-year-old boy.
04/29/2011
asthma
asthma
04/29/2011
G. Patrick Daubert, MD
A 2-year-old African American boy was brought for evaluation of symptoms of an upper respiratory tract infection and intermittent abdominal pain.
04/29/2011
asthma
asthma
04/29/2011
Bhagwan Das Bang, MD
The parents of a 2-month-old infant were concerned about a gradually enlarging reddish mass in the inner canthus of their daughter's left eye.
04/29/2011
asthma
asthma
03/29/2006
Alexander K.C. Leung, MD, MBBS, FRCPC, FRCP; Howard Fischer, MD; Ahdi Amer, MD
<DIV id=article-content-body> <P><IMG class=imageBorderBlue border=0 alt="" align=left src="/sites/default/files/transfer/img_4dbb14e73c95c.jpg" width=100...
03/29/2006
03/29/2006
Seven-year-old girl with generalized rash that started as a single isolated oval lesion on the lower abdomen (A). Six days later, diffuse papulosquamous lesions appeared mainly on the trunk (B), sparing the...
03/29/2006