Cannabinoid Hyperemesis Syndrome: Refractory Recurrent Vomiting in a Teenager
A 17-year-old male presented to the emergency department with a 2-year history of recurrent nausea, emesis, abdominal pain, and dehydration. His current episode began 5 days before presentation with nausea, abdominal pain, and nonbilious emesis. Chest pain and dyspnea developed the morning of presentation.
Past workup for similar episodes included endoscopy, colonoscopy, erythrocyte sedimentation rate, C-reactive protein, antitissue transglutaminase IgA, urea breath test for Helicobacter pylori, computed tomography (CT) scan of the brain, and an abdominal CT scan, all of which were unrevealing. He was diagnosed with cyclic vomiting syndrome after extensive negative testing for alternative diagnoses. His symptoms persisted after treatment with cyproheptadine, amitriptyline, and omeprazole.
On arrival, the patient appeared ill and had a temperature of 98.8°F, a heart rate of 90 beats/min, blood pressure of 144/87 mm Hg, respirations of 18 breaths/min, and oxygen saturation of 96% on room air. He had subcutaneous emphysema in the supraclavicular area. An audible crunching sound was noted over the precordium during cardiac auscultation. The patient’s lung sounds were clear, and his chest expansion was symmetric. He had diffuse epigastric abdominal pain without guarding or rebound tenderness. The remainder of his physical examination was unremarkable.
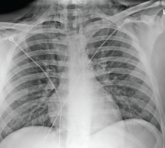
Laboratory evaluation included a normal lipase and complete metabolic panel. A plain radiograph revealed pneumomediastinum (Figure). A fluoroscopic esophagram was negative for signs of esophageal leak.
During admission, he was noted to take long, hot showers. He refused to leave the shower to participate in bedside rounding. His mother reported that he often took hot showers at home, sometimes for most of the day, which helped his nausea. With that additional history, he was questioned about illicit drug use. He admitted to daily marijuana use that began prior to the start of these episodes.
DIAGNOSIS AND CLINICAL COURSE
Our final diagnosis was cannabinoid hyperemesis syndrome (CHS). The patient was counseled to stop using marijuana and was referred to an outpatient substance abuse treatment program. He had full resolution of symptoms when he refrained from using marijuana. The patient’s symptoms returned when he resumed marijuana use against medical advice.
DISCUSSION
Marijuana use is common among teenagers in the United States. In 2014, 35% of U.S. high school seniors reported marijuana use in the past year. In addition, the percentage of high school students who view marijuana use as potentially harmful is decreasing.1 As marijuana use becomes more prevalent, there have been increasing reports of CHS in children. CHS is cyclic vomiting that is associated with chronic cannabinoid use. Symptoms resolve within 1 to 2 days of abstaining from the drug.2 The emesis is described as unrelenting and profuse, occurring up to 5 times per hour.3
Traditionally, cannabinoids have been used as anti-emetics. The active compound in cannabis, delta-nine-tetrahydrocannabinol, acts on cannabinoid type 1 (CB1) receptors in the brain to prevent nausea. It has been suggested that the paradoxical effect seen in cannabinoid hyperemesis occurs from toxic effects of cannabinoids on CB1 receptors in the gastric mucosa, leading to suppression of peristalsis and subsequent delayed gastric emptying.4
A recent review of CHS cases found that 98% were associated with symptom improvement from excessive hot showering.2 Some patients have reported spending days in the shower, and in 1 report a patient rented a hotel room during episodes to have unlimited hot water access.5
Exactly why hot showering alleviates cannabinoid hyperemesis is unknown. One proposal is that CB1 receptors are present near the thermoregulatory control center of the hypothalamus and perhaps chronic CB1 stimulation is counteracted by hot showering.6 Another proposal suggests that showering may cause a redistribution of blood flow toward the skin and away from the gut, where activated CB1 receptors are found.7
Reported sequelae of CHS include esophagitis, pneumomediastinum, weight loss, burns/scalding from hot showering, dehydration and Mallory-Weiss tears.2,4,7 Pneumomediastinum was noted in our patient with classic signs during the physical exam, including subcutaneous emphysema and an audible crunch during cardiac auscultation. This extra noise is known as Hamman’s sign and occurs when the heart beats against air-filled mediastinal tissue.
Patients often undergo extensive medical investigations before being accurately diagnosed with CHS. Use of pain medications and anti-emetics has not proven helpful in treating CHS. Patients must strictly avoid cannabis use and should be referred to substance abuse counseling as indicated.6
Jeanna Auriemma, MD, is an instructor of pediatrics within the Department of Pediatrics at the Wake Forest School of Medicine in Winston-Salem, North Carolina.
Tricia Lucin, MD, is an instructor of pediatrics within the Department of Pediatrics at the Wake Forest School of Medicine in Winston-Salem, North Carolina.
REFERENCES
- Johnston LD, O’Malley PM, Miech RA, et al. Monitoring the future: national survey results on drug use. 1975-2014: overview, key findings on adolescent drug use. Ann Arbor, MI: Institute for Social Research, the University of Michigan. http://www.monitoringthefuture.org//pubs/monographs/mtf-overview2014.pdf
- Nicolson SE, Denysenko L, Mulcare JL, et al. Cannabinoid hyperemesis syndrome: a case series and review of previous reports. Psychosomatics. 2012;53(3):212-219.
- Soriano-Co M, Batke M, Cappell MS. The cannabis hyperemesis syndrome characterized by persistent nausea and vomiting, abdominal pain, and compulsive bathing associated with chronic marijuana use: a report of eight cases in the United States. Dig Dis Sci. 2010;55(11):3113-3119.
- Donnino MW, Cocchi MN, Miller J, Fisher J. Cannabinoid hyperemesis: a case series. J Emerg Med. 2011;40(4):63-66.
- King T. Cannabinoid hyperemesis syndrome- a classic case with compulsive hot showering [abstract]. J Hosp Med. 2015;10(suppl 2). http://www.shmabstracts.com/abstract/cannabinoid-hyperemesis-syndrome-a-classic-case-with-compulsive-hot-showering/. Accessed May 23, 2015.
- Chang YH, Windish DM. Cannabinoid hyperemesis relieved by compulsive bathing. Mayo Clin Proc. 2009;84(1):76-78.
- Patterson DA, Smith E, Monahan M, et al. Cannabinoid hyperemesis and compulsive bathing: a case series and paradoxical pathophysiological explanation. J Am Board Fam Med. 2010;23(6):790-793.
