Volume 15 - Issue 2 - February 2016

Consultant for Pediatricians

Becker Nevus
Becker Nevus
02/28/2016

Alexander K. C. Leung, MD—Series Editor, and Benjamin Barankin, MD

Alexander K. C. Leung, MD—Series Edit...
A 16-year-old boy presented with an asymptomatic, hyperpigmented, hypertrichotic lesion on his right upper chest extending into the right axilla.
02/28/2016
gallstones
gallstones
02/08/2016
Brandon Anderson, MD; Carl H. Cramer, II, MD; Aida N. Lteif, MD; Carola A.S. Arndt, MD; Christopher Moir, MD; Jane Matsumoto, MD; Jeanne Tung, MD
An otherwise healthy 39-month-old male was referred with a 20-month history of 4 to 5 loose stools per day and recent growth deceleration.
02/08/2016
brachial plexus
brachial plexus
02/08/2016
Carl Tabb, II, BS 
In this review, the pathophysiology and management of brachial plexus injuries are discussed, along with the clinical findings associated with Erb’s palsy and Klumpke's palsy, in an attempt to aid...
02/08/2016
Cannabinoid
Cannabinoid
02/08/2016
Jeanna Auriemma, MD; Tricia Lucin, MD
A 17-year-old male presented to the emergency department with a 2-year history of recurrent nausea, emesis, abdominal pain, and dehydration.
02/08/2016
urticaria multiforme
urticaria multiforme
02/05/2016
Sanjay Mehta, MD; Gerald C. Almazan, MD; Srividya Naganathan, MD
A 2-year-old boy with no significant medical history presented to the emergency room with a pruritic rash that began 3 days earlier.
02/05/2016
Top Papers Of The Month
Top Papers Of The Month
02/03/2016
Jessica Tomaszewski, MD
Thousands of children die each year from abuse and neglect while health care providers often fail to recognize the indicators.
02/03/2016
Otitis Media
Otitis Media
02/03/2016
Danielle G. Hirsch, MD, MPH; Michelle Penque, MD; Brian H. Wrotniak, PhD; Richard D. Thomas, MD
A 6-year-old female presented to the emergency department with a 3-day history of fever, left-sided headache, difficulty sleeping, vomiting, and phonophobia with hyperacusis of her left ear.
02/03/2016
Otitis Media
Otitis Media
02/03/2016
Danielle G. Hirsch, MD, MPH; Michelle Penque, MD; Brian H. Wrotniak, PhD; Richard D. Thomas, MD
A 6-year-old female presented to the emergency department with a 3-day history of fever, left-sided headache, difficulty sleeping, vomiting, and phonophobia with hyperacusis of her left ear.
02/03/2016
Otitis Media
Otitis Media
02/03/2016
Danielle G. Hirsch, MD, MPH; Michelle Penque, MD; Brian H. Wrotniak, PhD; Richard D. Thomas, MD
A 6-year-old female presented to the emergency department with a 3-day history of fever, left-sided headache, difficulty sleeping, vomiting, and phonophobia with hyperacusis of her left ear.
02/03/2016
Vitamin D
Vitamin D
02/03/2016
Marjon Vatanchi, MD; Jessica Mounessa, BS; Devorah Shagalov, MD; Sharon Glick, MD
A 7-year-old African American girl presented to the emergency department with a history of recurrent episodes of hyperpigmented patches on the face during the past 6 months.
02/03/2016
Mycoplasma pneumoniae
Mycoplasma pneumoniae
02/03/2016
Alireza Habibi, DO; Gagandeep Singh, MD; Alvaro Galvis, MD; Anthony Shoo, MD; Pisespong Patamasucon, MD
A 10-year-old and previously healthy Caucasian male presented with a 2-week history of fever, cough, and pruritic rash.
02/03/2016
Rash
Rash
02/02/2016
Maria N. Kelly, MD; Chris Schreier, ARNP; Shayla Salgado; Ryan St. Pierre-Hetz
An 11-year-old male presented to clinic with a 1- day history of a pruritic rash.
02/02/2016
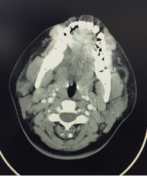
cystic hygroma
cystic hygroma
02/02/2016
Anuja Sriparameswaran, MD
At birth the infant was noted to have a soft mass on the right lateral neck, but was otherwise well without any other dysmorphic features.
02/02/2016
Kikuchi disease
Kikuchi disease
02/01/2016
Syed A.A. Rizvi, PhD, MBA; Sultan S. Ahmed, MD; Ayman M. Saleh, PhD; Jasmin Ahmed, BS, MS, MD; Michael O'Laughlin, BS; Shazia Zafar, MD; Souhad B. Younes, MD
A 17-year-old female with no medical history presented to our emergency department due to 2 weeks of intermittent fever and enlarged lymph nodes.
02/01/2016
terra firma-forme dermatosis
terra firma-forme dermatosis
02/01/2016
Megha D. Patel, BS; Stephen Schleicher, MD
A 13-year-old Caucasian female presented with a rash on her neck for approximately 3 weeks in duration.
02/01/2016
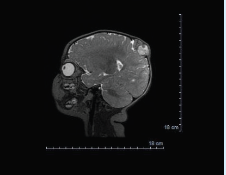
tumor
tumor
02/01/2016
Mariam Fahim, DO; Judith Oh Leonor, OMS-IV
A male born via normal spontaneous vaginal delivery with unremarkable prenatal labs was noted to have a 1-cm lesion near the vertex of the skull.
02/01/2016
Edema
Edema
01/29/2016
Samantha A. Schrier Vergano, MD, FAAP, FACMG; Sajithya Perera, MD
A 1-day-old term African American female was found to have localized edema of her right middle finger during her newborn examination.
01/29/2016