Young Man With a Debilitating Headache
A 37-year-old man presents to the emergency department (ED) with a headache that developed approximately 3 days earlier. The throbbing headache has worsened over the past few days to the point where the patient—a personal trainer at a gym and an amateur bodybuilder—can barely get out of bed.
The headache primarily involves the left side of the patient’s face, and is associated with tearing of the left eye. Minimal visual disturbances are noted. The patient is also experiencing some numbness of both hands.
The patient is otherwise in excellent health. There is no history of migraine, trauma, fever, chills, or sweats. He has taken some ibuprofen with minimal relief.
Results of the physical examination are unremarkable. MRI of the brain and cervical and thoracic spine, and MRA of the intracranial vasculature are done while the patient is in the ED.
What finding on this scan points to the cause of the patient’s headache?
(Answer and discussion on next page)
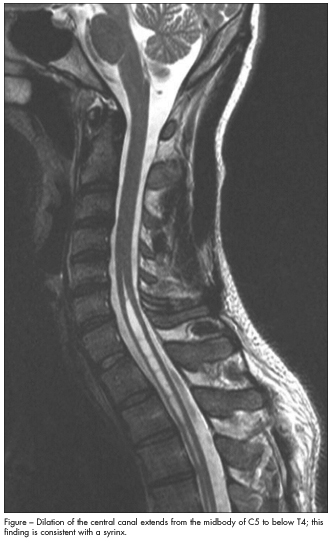
Answer: Idiopathic syrinx (syringomyelia)
Axial and sagittal T2-weighted images show a dilation of the central canal that extends from the midbody of C5 to below T4—a finding consistent with a syrinx (Figure). The cerebellar tonsils are in the normal position (no Chiari malformation or tonsillar ectopia). No enhancement with intravenous contrast or intramedullary spinal cord mass is identified. The images point to an idiopathic syrinx—a syringomyelia.
Syringomyelia is an uncommon cause of headache. In this condition, a cyst forms within the spinal canal, either congenitally or from trauma. In most cases, the disorder is related to a congenital Chiari malformation, which occurs in a developing fetus, and which causes the lower part of the cerebellum to protrude from its normal location in the back of the head into the cervical or neck portion of the spinal canal.
The cyst—a syrinx—gradually expands and elongates over time, eventually resulting in destruction of the cord’s center. This can cause a variety of symptoms, although patients typically present with headache, back pain, and stiffness, as well as numbness of the extremities.
Symptoms typically begin between the ages of 25 and 40 years; they are more common in men than in women and may worsen with straining or any activity that causes cerebrospinal fluid pressure to fluctuate.
Signs of the disorder tend to develop slowly, although sudden onset may occur with coughing or straining. Symptoms may occur intermittently during long periods of stability.
The usual treatment is surgery, with drainage of the syrinx. Left untreated, syringomyelia can lead to progressive weakness in the arms and legs, loss of hand sensation, and chronic severe pain.
Patients with asymptomatic syringomyelia are usually followed closely. Patients are advised to avoid activities that involve straining.
OUTCOME OF THIS CASE
In this case, the patient was advised to stop all weight-lifting activities. His symptoms resolved within 3 days. Follow-up with a neurologist was arranged.
