Volume 52 - Issue 10 - October 2012

Consultant

pityriasis rosea
pityriasis rosea
10/12/2012
David L. Kaplan, MD
After 1 month of scratching this slightly pruritic rash on his trunk, a 12-year-old boy was referred for consultation.
10/12/2012
DermClinic
DermClinic
10/12/2012
David L. Kaplan, MD
A 66-year-old woman’s psoriasis suddenly worsened after she underwent a biopsy of a tumor in her breast. The biopsy report revealed no evidence of breast cancer
10/12/2012
10/12/2012
This slightly itchy rash had slowly spread over a 37-year-old man’s trunk during the past month. The patient is otherwise healthy and denies the use of any new medications, soaps, or detergents.
10/12/2012
Skin
Skin
10/12/2012
David L. Kaplan, MD
One year ago, a 34-year-old woman cut her thumb with a knife while preparing dinner. This asymptomatic growth has developed at the site. She has no other lesions.
10/12/2012
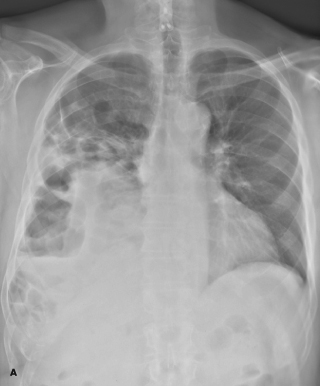
diaphragmatic hernia
diaphragmatic hernia
10/12/2012
Mark MacElwee, MD, FAAP; Zachary Hartsell, MPAS, PA-C
<p class="p1"><img src="/sites/default/files/images/Screen%20shot%202012-10-12%20at%202.17.23%20PM.png" alt="Diaphragmatic hernia" title="Diaphragmatic...
10/12/2012
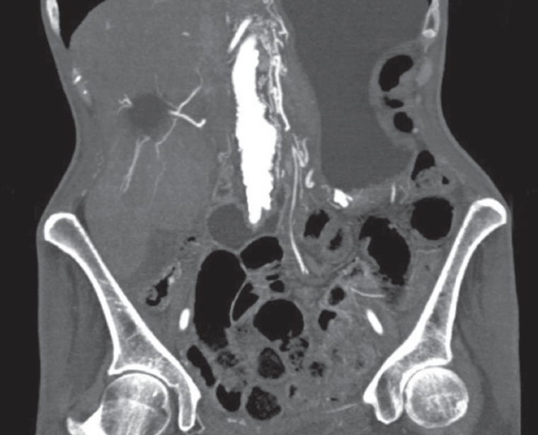
Myositis Ossificans
Myositis Ossificans
10/12/2012
Shailja Patel, MD; Satyajeet Roy, MD, FACP
<p class="p1"><img src="/sites/default/files/images/Screen%20shot%202012-10-12%20at%201.51.31%20PM.png" alt="sartorius musculature" title="sartorius...
10/12/2012
Pneumonia
Pneumonia
10/12/2012
Nelson L. Turcios, MD
<p>An 18-year-old girl was referred for evaluation of “uncontrolled asthma.” She had a long-standing history of recurrent coughing, wheezing, and documented pneumonias that were treated with frequent...
10/12/2012
syringomyelia
syringomyelia
10/12/2012
John Whyte, MD, MPH; Anthony L. Filly, MD
<p>A 37-year-old man presents to the emergency department (ED) with a headache that developed approximately 3 days earlier. The throbbing headache has worsened over the past few days...
10/12/2012
crowned dens syndrome
crowned dens syndrome
10/12/2012
Lester E. Mertz, MD; Luciana Funtowicz, MD; Elizabeth B. Windgassen, MD
<p><strong><img alt="birefringent crystals" height="90" src="/sites/default/files/images/Screen%20shot%202012-10-12%20at%2010.51.40%20AM.png"...
10/12/2012
Abdominal Pain
Abdominal Pain
10/12/2012
Carolyn Jones; Carolyn J. Sachs, MD, MPH; Shawn Kaku, MD
<p>Because abdominal pain is such a common chief complaint, arriving at an exact diagnosis is often challenging. The dangerous triad of vascular emergencies (mesenteric ischemia, abdominal aortic...
10/12/2012
Warfarin
Warfarin
10/12/2012
Gregory W. Rutecki, MD
<p><strong><em><img alt="dieulafoy lesion" height="90" src="/sites/default/files/images/Screen%20shot%202012-10-12%20at%2010.15.57%20AM.png"...
10/12/2012
What's Your Diagnosis?
What's Your Diagnosis?
10/11/2012
David Effron, MD
A 35-year-old man presents to your office with a worm (shown here) that he found in the toilet after a morning bowel movement. He denies any recent fever, chills, nausea, or vomiting.
10/11/2012
Influenza Vaccine
Influenza Vaccine
10/11/2012
<p>Each year, influenza takes its toll—particularly among the elderly. In the United States, about 3000 people succumb to this viral infection in years with low influenza activity; during epidemics,...
10/11/2012
musculoskeletal injuries
musculoskeletal injuries
10/11/2012
Here we present 6 cases of musculoskeletal disorders, including episternal ossicle, blount disease, and Baker's cyst.
10/11/2012
Type 2 Diabetes
Type 2 Diabetes
10/11/2012
Annie Hasse, MD; Kim A. Carmichael, MD, FACP
The relationship between chromium and diabetes was first noted in the 1950s when diabetes developed in chromium-deficient rats as a result of insulin resistance, which was reversed by chromium...
10/11/2012
Vision Loss
Vision Loss
10/11/2012
Ronald N. Rubin, MD
This patient, who has had type 1 diabetes for a long time, is experiencing the complication of diabetic retinopathy.
10/11/2012
Oral Lesions
Oral Lesions
10/11/2012
William Lawson, MD, DDS
<p>Viral and fungal infections, autoimmune conditions, immunodeficiency, drug reactions, contact allergy, and trauma all can precipitate punctate oral lesions. Herpetic lesions must be distinguished...
10/11/2012
Primary Care
Primary Care
10/11/2012
<p><strong><em>Editor’s note: </em></strong><em>In a recent issue (</em><em>CONSULTANT</em><em>, August 2012, page 547), Dr Gregory...
10/11/2012
marijuana
marijuana
10/11/2012
Gregory W. Rutecki, MD
Fibromyalgia, or for that matter many chronic pain syndromes, are not uncommon in primary care.
10/11/2012