Peer Reviewed
Isolated Congenital Left Coronary Artery to Coronary Sinus Fistula in a Neonate
Authors:
William M. Fogarty IV, DO
Postgraduate Year-2 Resident, Pediatrics, University of Florida College of Medicine–Jacksonville, Florida
Robert F. English, MD
Associate Professor, Division of Pediatric Cardiology, and Assistant Medical Director, Pediatrics, University of Florida College of Medicine–Jacksonville, Florida
Citation:
Fogarty WM IV, English RF. Isolated congenital left coronary artery to coronary sinus fistula in a neonate. Consultant. 2019;59(8):248-250.
A 20-year-old woman presented for her first prenatal care visit at 32 weeks of gestation. Her pregnancy had been uneventful. She denied use of medications, alcohol, tobacco, and illicit substances. Her family history was unremarkable.
An initial fetal ultrasonogram demonstrated an enlarged heart and aortic narrowing. The patient was subsequently referred to a pediatric cardiologist.
Fetal echocardiography was performed at 36 and 38 weeks of gestation. Both echocardiograms suggested total anomalous pulmonary venous return with obstruction of the pulmonary venous confluence in the left atrium, right-sided chamber dilation, right ventricular pressure and volume overload, and aortic flow reversal.
Because of concerns about the possibility of severe pulmonary hypertension and obstructed pulmonary venous return after birth, a cesarean delivery was performed at 39 weeks of gestation.
The child’s Apgar scores were 8 at 1 and 8 at 5 minutes. She was responsive and alert with no respiratory distress, but she was intubated due to the suspected cardiac pathology. Cardiovascular examination revealed a soft systolic murmur to the left sternal border, normal S1 and S2, and no gallop. An echocardiogram revealed normal pulmonary venous return and a severely dilated left main coronary artery (LMCA). There appeared to be a fistula connecting the left coronary system to the coronary sinus. The neonate was then taken to the catheterization laboratory.
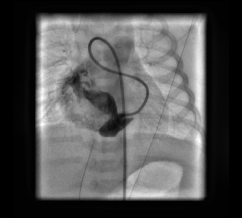
Coronary angiography revealed the fistulous connection to the coronary sinus off of the distal left circumflex coronary artery (LCX). Embolization of the fistula was performed using 2 coils (14 cm × 4 mm distally and 14 cm × 6 mm proximally). Repeated coronary angiography results confirmed the complete occlusion of the fistula and good filling of the left coronary artery (Figures 1-6, fluoroscopic anteroposterior views of the chest).

Figure 1. Angiography catheter positioned within the LMCA showing the dilated course of the LCX.

Figure 2. Angiographic view of the dilated LCX with contrast extension into the coronary sinus and the right atrium.

Figure 3. Fluoroscopic view showing placement of the first embolization coil into the LCX.

Figure 4. Angiogram with contrast after placement of the embolization coil demonstrating a view of the aortic root and LMCA. Mild contrast extension into the coronary sinus is visible.

Figure 5. Fluoroscopic view demonstrating placement of the second embolization coil in the LCX fistula.

Figure 6. Angiogram of the LCX showing no residual shunting through the fistula.
The neonate’s condition remained stable, and she was started on aspirin. Serial echocardiograms demonstrated closure of the patent ductus arteriosus, persistent large atrial septal defect, aneurysmal atrial septum, and normal biventricular function. The neonate was discharged on day of life 19.
DISCUSSION
The overall US prevalence of congenital heart disease (CHD) ranges from 4 to 10 per 1000 live births.1,2 Several authors have reported the accurate prenatal diagnosis of CHD to range from 27% to 36%, with increasing detection rates in recent years.3-6
Isolated congenital coronary artery fistula (CAF) occurs in 1 in 50,000 live births.7 Due to its low incidence and the difficulty in evaluation of the fetal coronary circulation, prenatal detection rates are low. There are only 8 reported cases of isolated CAF diagnosed prenatally.8-14 CAFs have been identified with greater accuracy in the setting of additional cardiac defects such as pulmonary atresia with intact ventricular septum; however, both false-positive and false-negative cases have been reported.15
The prenatal imaging in this patient clearly identified turbulent flow at the base of the left atrium. This turbulent flow and the dilated chamber proximal to it (the coronary system) were consistent with obstructed pulmonary venous return to either the coronary sinus or to the hepatic venous system. However, the reversal of flow in the aorta indicated the presence of significant runoff, as would be expected from a large CAF.
Although most patients with CAF are asymptomatic at diagnosis, heart failure, endocarditis, arrhythmia, and rupture of the fistula can be presenting findings.16 Additionally, premature arteriosclerotic changes within the fistula and thromboembolic events have been described as possible complications.7
Closure of hemodynamically significant fistulas is recommended, even in the absence symptoms. The preferred method of closure depends on the anatomy of the fistula. Transcatheter approaches have become increasingly favored over surgical closures with the implementation of closure devices such as duct occluders, balloons, and embolization coils as described in our case.17
- Botto LD, Correa A, Erickson JD. Racial and temporal variations in the prevalence of heart defects. Pediatrics. 2001; 107(3):E32.
- Ferencz C, Rubin JD, McCarter RJ, et al. Congenital heart disease: prevalence at livebirth: the Baltimore-Washington Infant Study. Am J Epidemiol. 1985;121(1):31-36.
- Friedberg MK, Silverman NH, Moon-Grady AJ, et al. Prenatal detection of congenital heart disease. J Pediatr. 2009;155(1):26-31, 31.e1.
- Acherman RJ, Evans WN, Luna CF, et al. Prenatal detection of congenital heart disease in southern Nevada: the need for universal fetal cardiac evaluation. J Ultrasound Med. 2007;26(12):1715-1719.
- McBrien A, Sands A, Craig B, Dornan J, Casey F. Major congenital heart disease: antenatal detection, patient characteristics and outcomes. J Matern Fetal Neonatal Med. 2009;22(2):101-10
- Sklansky M, Miller D, DeVore G, et al. Prenatal screening for congenital heart disease using real-time three-dimensional echocardiography and a novel ‘sweep volume’ acquisition technique. Ultrasound Obstet Gynecol. 2005;25(5):435-443.
- Schumacher G, Roithmaier A, Lorenz H-P, et al. Congenital coronary artery fistula in infancy and childhood: diagnostic and therapeutic aspects. Thorac Cardiovasc Surg. 1997;45(6):287-294.
- Sharland GK, Tynan M, Qureshi SA. Prenatal detection and progression of right coronary artery to right ventricle fistula. Heart. 1996;76(1):79-81.
- Cotton JL. Diagnosis of a left coronary artery to right ventricular fistula with progression to spontaneous closure. J Am Soc Echocardiogr. 2000;13(3):225-228.
- Mielke G, Sieverding L, Borth-Bruns T, Eichhorn K, Wallwiener D, Gembruch U. Prenatal diagnosis and perinatal management of left coronary artery to right atrium fistula. Ultrasound Obstet Gynecol. 2002;19(6):612-615.
- Khan MD, Qureshi SA, Rosenthal E, Sharland G. Neonatal transcatheter occlusion of a large coronary artery fistula with Amplatzer duct occluder. Catheter Cardiovasc Interv. 2003;60(2):282-286.
- Hung J-H, Lu J-H, Hung J, Chen J-D. Prenatal diagnosis of a right coronary-cameral fistula. J Ultrasound Med. 2006;25(8):1075-1078.
- Karagöz T, Ozkutlu S, Celiker A. Percutaneous closure of a prenatally diagnosed large coronary artery fistula with an Amplatzer vascular plug immediately after delivery. Acta Cardiol. 2008;63(3):405-408.
- Hayashi T, Inuzuka R, Ono H, Katori T. Prenatal diagnosis of coronary artery fistula: a case report and review of literature. Pediatr Int. 2012;54(2):299-302.
- Maeno YV, Boutin C, Hornberger LK, et al. Prenatal diagnosis of right ventricular outflow tract obstruction with intact ventricular septum, and detection of ventriculocoronary connections. Heart. 1999;81(6):661-668.
- da Cruz EM, Kaufman J, Goldberg S, et al. Anomalous coronary arteries. In: Munoz RA, Morell VO, da Cruz EM, Vetterly CG, eds. Critical Care of Children with Heart Disease: Basic Medical and Surgical Concepts. New York, NY: Springer; 2010:chap 38.
- Thomson L, Webster M, Wilson N. Transcatheter closure of a large coronary artery fistula with the Amplatzer duct occluder. Catheter Cardiovasc Interv. 1999;48(2):188-190.
