Volume 59 - Issue 8 - August 2019

Consultant

Photo Essay
Photo Essay
06/07/2022
This article is part 4 of a 5-part series of Photo Essays describing and differentiating conditions affecting the tongue and related structures in the oral cavity.
06/07/2022
Photoclinic
Photoclinic
04/23/2022
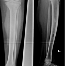
A 15-year-old boy presented with persistent pain in the mid left leg for the past 3 weeks. The pain was associated with a limp and sometimes awoke him from sleep.
04/23/2022
Photoclinic
Photoclinic
04/12/2022
Shobhana Chaudhari, MD; Aleksandr Drozdov, MD
CT scans of an 81-year-old woman revealed vacuum phenomena in the intervertebral disks on the levels L1 through S1. Many internists are not familiar with the interpretation of this finding and its clinical...
04/12/2022
Feature Article
Feature Article
02/12/2021
Nasal septal perforation, a communication between the nasal passageways, is usually discovered incidentally during clinical or radiological examination. A broad variety of presumed etiologies have been...
02/12/2021
Photoclinic
Photoclinic
02/12/2021
A 34-year-old Hispanic woman with Fitzpatrick skin type III presented to a dermatology clinic with what she described as a changing birthmark.
02/12/2021
Photoclinic
Photoclinic
04/23/2020
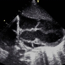
A 20-year-old woman presented for her first prenatal care visit at 32 weeks of gestation. Her pregnancy had been uneventful. An initial fetal ultrasonogram demonstrated an enlarged heart and aortic...
04/23/2020
Photo Quiz
Photo Quiz
02/20/2020
A 55-year-old white woman presented with new-onset acute bilateral hand swelling and numbness, upper-limb motor weakness, generalized fatigue, bilateral popliteal inflammation, and a transient episode of...
02/20/2020
Photo Quiz
Photo Quiz
01/29/2019
A 9-year-old boy was brought to a primary care office by his mother. The patient had complained of self-limited sudden left otalgia the day before his visit.
01/29/2019
Photoclinic
Photoclinic
12/11/2018
Due to a neonate’s tachypnea and pallor at delivery, echocardiography was done to assess for cardiac lesions, only to find one of the rarest conditions known of cardiac origin, of which requires serious...
12/11/2018