Peer Reviewed
Localized Papules in a Man with Weakness and Lightheadedness
Introductory sentence. A 67-year-old man presented after 3 weeks of generalized weakness, lightheadedness, and rash.
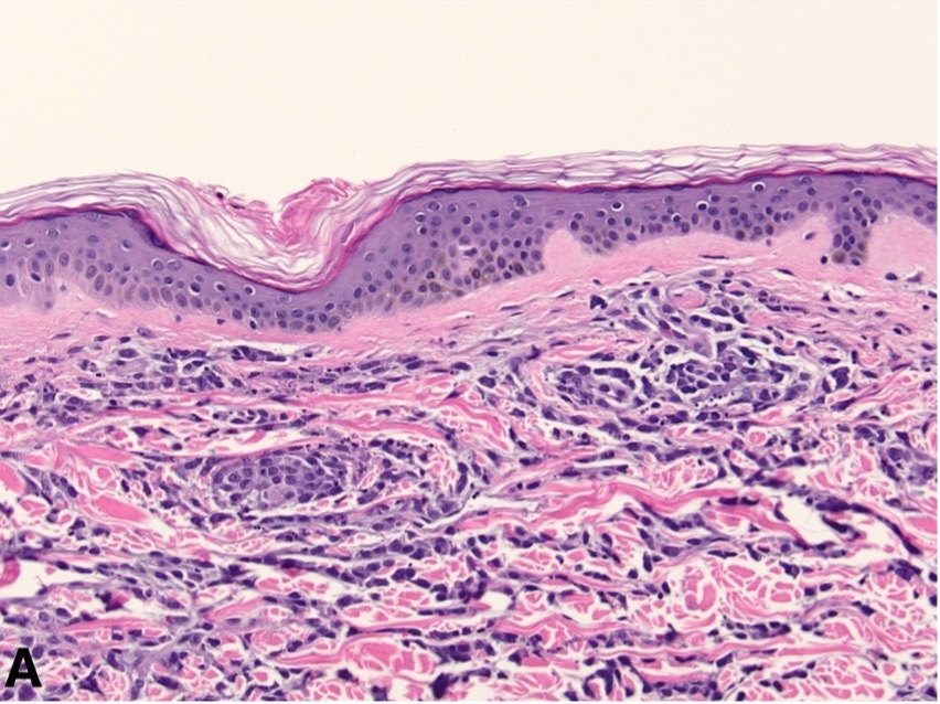
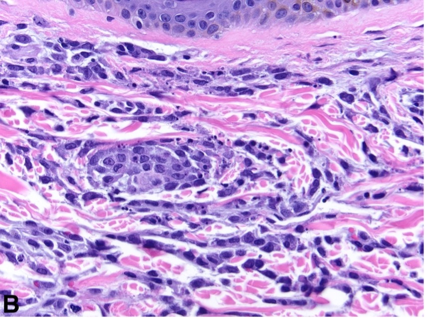
History. The patient’s history was notable for heart failure secondary to familial dilated cardiomyopathy and atrial fibrillation. The patient reported experiencing lightheadedness, ambulatory dysfunction and dyspnea on exertion that had become acutely worse during the past 2-3 days. A physical examination revealed papules on the left chest overlying his pacemaker that had spread to the surrounding areas of his central chest (Figure 1) and left shoulder (Figure 2). A shave biopsy was performed and revealed a diffuse interstitial infiltrate composed of myeloid cells.

Figure 1. Diffuse pink perifollicular papules on the chest.

Figure 2. Pink papules overlying the patient’s pacemaker on his left chest.Diagnostic testing. Skin biopsy revealed a diffuse interstitial infiltrate composed of myeloid cells (Figure 3AB). A complete blood count with differential revealed pancytopenia with 60% monocytes and a macrocytic anemia (normal range, 2-8%). A subsequent peripheral blood smear showed atypical monocytoid cells. Bone marrow biopsy revealed > 95% blasts.


Figure 3A-B. A. Hematoxylin and eosin (H&E) 20x objective magnification and B. H&E 40x objective magnification are shown. Diffuse interstitial infiltrate composed of atypical myeloid cells consistent with leukemia cutis.
