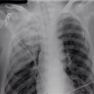
radiology quiz
radiology quiz
11/11/2024
Alexandra Close, BS; Maaria Chaudhry, MS; Kirill Alekseyev, MD; Bilal Chaudhry, MD
A 60-year-old woman presented to the emergency department with blunt thoracic trauma after a head-on motor vehicle accident.
11/11/2024
Photoclinic
Photoclinic
06/21/2024
Matthew Nemoy, DO; Jalal Damani, DO; Craig Backous, DO
A 64-year-old woman with diaphoresis presented to a community medical center following 2 days of pain due to a lump on the left side of her neck.
06/21/2024
Photoclinic
Photoclinic
06/07/2023
A 22-year-old man presented to our emergency department with a 6-day history of intermittent fever, shortness of breath, cough, diarrhea, and chills. He had gone to a bar with friends who were visiting from...
06/07/2023
Photoclinic
Photoclinic
03/17/2023
A 60-year-old man with no significant medical history presented to the emergency department (ED) with a 5-week history of fevers and chills associated with night sweats, decreased appetite, and a 0.9-kg...
03/17/2023
Case in point
Case in point
08/14/2022
Approximately 2.5% of adrenal masses represent metastatic disease, and 5% are adrenocortical carcinoma (ACC). Given the poor prognosis associated with ACC, early diagnosis and curative resection are...
08/14/2022
What's the Take Home?
What's the Take Home?
06/08/2022
The family of an 88-year-old man brought him to the office out of concern for changes in his status.
06/08/2022
Review Article
Review Article
04/08/2022
Obesity hypoventilation syndrome (OHS) is a potentially unrecognized complication of obesity that carries a significant health care burden and worrisome morbidity and mortality rates. OHS appears to be a...
04/08/2022
Pulmonary Pitfalls
Pulmonary Pitfalls
04/08/2022
Sarcoidosis will remain a diagnostic challenge in the 21st century by virtue of its protean manifestations and presentations. The difficulties in ascertaining a correct diagnosis have posed a clinical...
04/08/2022
Pulmonary Pitfalls
Pulmonary Pitfalls
03/28/2022
Prednisone is a prodrug. Prednisone is a glucocorticoid. Prednisone is a mineralocorticoid. But is prednisone a poison? What have patients taught us about prednisone?
03/28/2022
Photoclinic
Photoclinic
10/01/2021
A 62-year-old man with metastatic prostate cancer, congestive heart failure, and chronic obstructive pulmonary disease presented to an outside emergency department with right-sided chest pain and dyspnea. ...
10/01/2021