Photo Quiz
Photo Quiz
09/22/2021
A 47-year-old man presented to the emergency department with 5 days of intermittent dizziness and fatigue. He described the sensation as if the room were spinning while he was standing.
09/22/2021
What's Your Diagnosis?
What's Your Diagnosis?
12/21/2020
Benjamin Barankin, MD, FRCPC; Alexander K.C. Leung, MD, MBBS, FRCPC, FRCP
A 50-year-old white man presented with recurrent eruptions of asymptomatic pustules on his palms and feet for the past 3 years.
12/21/2020
Pulmonary Pitfalls
Pulmonary Pitfalls
11/20/2020
The old adage, “Not all that wheezes is asthma,” attributed to physician Chevalier Jackson (1865-1958), has never been more relevant than today, given reports that at least 30% of physicians’ asthma...
11/20/2020
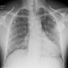
Case In Point
Case In Point
01/21/2020
Julie S. Berg, MD; Neha H. Shah, MD, MPH
A 5-year-old boy presented to the emergency department with a 1-month history of cough that had been unresponsive to albuterol.
01/21/2020
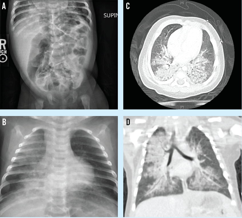
Photo Essay
Photo Essay
12/18/2019
This is a collection of 4 case reports about conditions affecting the respiratory system.
12/18/2019
Pulmonary Pitfalls
Pulmonary Pitfalls
10/16/2019
COPD is underdiagnosed and consequently undertreated, but even when the clinical diagnosis has been confirmed by spirometry, patients with COPD are not prescribed or use evidence-based maintenance therapy...
10/16/2019
Photoclinic
Photoclinic
07/20/2019
Jonathan Popler, MD; Ann Beach, MD
A 7-week-old girl presented with a chief concern of fussiness.
07/20/2019
What's the Take Home?
What's the Take Home?
07/11/2019
Ronald N. Rubin, MD
The association of cancer and thromboembolic disease has been observed for a very long time, first being described by Armand Trousseau in 1859.
07/11/2019
Pulmonary Pitfalls
Pulmonary Pitfalls
05/20/2019
A patient with a history of hay fever and smoking has wheezing, a productive cough, and dyspnea—it must be asthma. Or is it?
05/20/2019
Controversies in Clinical Care
Controversies in Clinical Care
04/26/2019
Eric A. Dietrich, PharmD, BCPS; Kyle Davis, PharmD, BCPS
A 63-year-old white woman presented for continued workup for shortness of breath and an ongoing cough.
04/26/2019