Top Papers Of The Month
Top Papers Of The Month
03/21/2019
Respiratory viruses are a known trigger of pediatric asthma exacerbations, but it is not clear how their presence affects the severity of exacerbation or the response to treatment.
03/21/2019
What's the Take Home?
What's the Take Home?
02/04/2019
A 74-year-old man had changed health care providers and presented for his initial office visit. He simply did not want a colonoscopy but was willing to consider alternatives for colorectal cancer...
02/04/2019
Photoclinic
Photoclinic
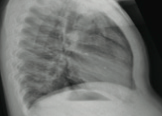
01/14/2019
A 2-year-old boy presented to the emergency department with a persistent cough with production of green purulent sputum.
01/14/2019
Case Report
Case Report
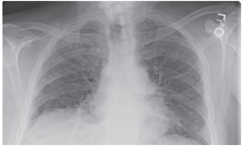
08/08/2018
Magda Mendez, MD, FAAP; Omar Alharbi, MD; Hoda Karbalivand, MD
A 6-year-old boy presented in the emergency department with difficulty breathing and chest pain.
08/08/2018
Feature
Feature
06/06/2017
Gabriel Ortiz, MPAS, PA-C; Mary Knudtson, DNS, NP
Primary care providers play a vital role in overseeing the management of patients with allergic rhinitis. To accomplish this task, they must understand the recommended treatment approaches for rhinitis, be...
06/06/2017
Feature
Feature
06/06/2017
Gabriel Ortiz, MPAS, PA-C; Mary Knudtson, DNS, NP
Primary care providers play a vital role in overseeing the management of patients with allergic rhinitis. To accomplish this task, they must understand the recommended treatment approaches for rhinitis, be...
06/06/2017
Feature
Feature
06/06/2017
Gabriel Ortiz, MPAS, PA-C; Mary Knudtson, DNS, NP
Primary care providers play a vital role in overseeing the management of patients with allergic rhinitis. To accomplish this task, they must understand the recommended treatment approaches for rhinitis, be...
06/06/2017
Pulmonary Pitfalls
Pulmonary Pitfalls
02/23/2017
Samuel Louie, MD; Chinh T. Phan, DO
Interstitial lung disease has a history of baffling clinicians for several reasons—2 of those being confusing terminology and classification, which continue to thwart clinicians’ ability to establish a...
02/23/2017
Case In Point
Case In Point
10/31/2016
Hiliary Weill, MD; Joy Ishii Zarandy, DO, FAAFP, DABFM; Rajiv Joglekar, MD
A 40-year-old African American man presented with a peculiar rash involving the majority of his body.
10/31/2016
What's the Take Home?
What's the Take Home?
09/07/2016
Trent Wang, DO; Ronald N. Rubin, MD
Lung cancer screening with low-dose helical CT scanning should be conducted in high-risk individuals after an informed discussion of benefits and risks.
09/07/2016