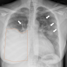
Photoclinic
Photoclinic
02/15/2026
Amanda Acevedo, BS; Rajvi Thakkar, BS; U. George McCann, III, BS; Kevin Pierre, MD; Damodaran Arulselvam, MD
A 63-year-old man developed acute bilateral lower extremity weakness and numbness immediately following a percutaneous lung biopsy.
02/15/2026
What's Your Diagnosis?
What's Your Diagnosis?
11/22/2025
Debbie Hoang, DO; Hannah Meyers, MD; Nathan Bradford, MD
A 34-year-old unhoused man with a history of polysubstance abuse presented to the emergency department with a sore throat for the past 4 days.
11/22/2025
Pulmonary Pitfalls
Pulmonary Pitfalls
07/21/2025
Krystal M. Craddock, MSc, RRT, CCM; Reshma Gupta, MD; Samuel Louie, MD; Brooks Thomas Kuhn, MD, MAS
A 56-year-old woman presented to the pulmonary clinic after hospital discharge for a severe exacerbation of chronic obstructive pulmonary disease. In the last 12 months, she has presented to the hospital...
07/21/2025
Pulmonary Pitfalls
Pulmonary Pitfalls
07/09/2025
Florence Chau-Etchepare, MD; Brian Morrissey, MD; Samuel Louie, MD
Compared to other chronic airway disorders like asthma and chronic obstructive pulmonary disease (COPD), bronchiectasis is generally among the least understood. This may be due, in part, to the sheer volume...
07/09/2025
photoclinic
photoclinic
05/11/2025
Bruno Hochhegger, MD, PhD; U. George McCann, III, BS; Ali Mirza, BS, MPH; Michael Mathelier, BS; Scotty McGaugh, BA; Kevin Pierre, MD; Ralph Tullo, MD; Yazeed Fraij, DO; Hugh Davis, MD
A 37-year-old gravida two para one woman at 35 weeks and 3 days of gestation presented to labor and delivery triage with a two-day history of gestational hypertension, headaches, and visual disturbances. ...
05/11/2025
What's The Take Home?
What's The Take Home?
03/08/2025
Ronald N. Rubin, MD
A 28-year-old man was referred to the allergy/immunology clinic by his primary care physician for recent episodes of wheezing and an elevated blood count.
03/08/2025
Photoclinic
Photoclinic
12/28/2024
Muhammad Ahmad Shahid, MD; Muzzamil Khan, MD; Richen Jirel, MD; Shannay Bellamy, MD; William Ott, MD
A 57-year-old man presented with a 1-day history of substernal chest pain, diaphoresis, palpitations, and lightheadedness while walking his dog. He initially attributed his symptoms to a panic attack,...
12/28/2024
photoclinic
photoclinic
12/24/2024
Afolake Mobolaji, MD, MPH, FAAFP; Folashade S. Omole, MD, FAAFP
A 68-year-old woman presented to the emergency room with pleuritic left-sided chest pain associated with shortness of breath and a productive cough with clear sputum but no hemoptysis.
12/24/2024
Pulmonary Pitfalls
Pulmonary Pitfalls
12/01/2024
Dylan Harrell, MD; Bradley Sanville, MD; Brooks Thomas Kuhn, MD, MAS
The length of time on invasive mechanical ventilation (IMV) increases the potential for numerous severe and even life-threatening complications, such as volutrauma, barotrauma, infection, damage to vocal...
12/01/2024
photoclinic
photoclinic
11/27/2024
Vivekanand Tatineni, DO; William Christopher Baughman, MD; Keara O'Connell, MD; Vikas Jain, MD
A 63-year-old man was admitted to the emergency department with left flank pain radiating into his chest. He had initially presented to an outside hospital and was transferred after 24 hours of observation...
11/27/2024