Case in Point
Case in Point
11/01/2016
Hollis W. Merrick, MD; Basil E. Akpunonu, MD; Steven R. Bruhl, MD, MS
A 5-week-old breastfed boy presented to the pediatric gastroenterology office for evaluation of possible GERD.
11/01/2016
Hepatology
Hepatology
09/07/2016
Brian Dinh, MD; Kyle Ball, DO; Sangeeta Agrawal, MD
VPA-induced hyperammonemic encephalopathy (VHE) is a rare adverse effect and therefore is commonly overlooked.
09/07/2016
crohns
crohns
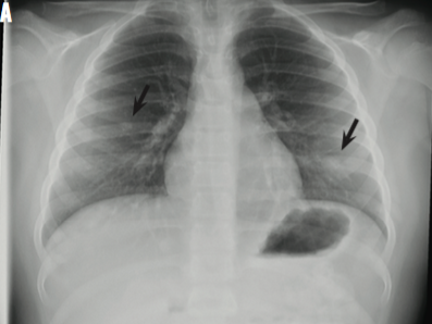
06/24/2016
Michael Malandra, MD; Andrada R. Popescu, MD; Nitin R. Wadhwani, MD; Jeffrey B. Brown, MD
An 11-year-old boy presented with 6 days of a cough and right upper quadrant abdominal pain that radiated to the chest.
06/24/2016
Photo Quiz
Photo Quiz
09/11/2014
A 61-year-old Caucasian male with a past medical history of diabetes mellitus type 2, hyperlipidemia, obstructive sleep apnea, and poor dentition, presented to the emergency room with fevers, malaise, and...
09/11/2014
Hepatitis C
Hepatitis C
01/23/2014
Ronald N. Rubin, MD
Man with cirrhosis of the liver due to hepatitis C was diagnosed via a liver biopsy.
01/23/2014
Photoclinic
Photoclinic
03/22/2013
Gentiana Bakaj, MD; Mahfuzul Haque, MD, FRACP
An 82-year-old African American woman presented to the emergency department with abdominal pain of 5 days’ duration; the pain was aggravated by movement and relieved somewhat by sitting down.
03/22/2013
Case In Point
Case In Point
02/13/2013
Kim Waterhouse, MD; Jose Derdoy, MD; David S. Brink, MD
Eosinophilic Esophagitis is characterized by an eosinophilic infiltration of the esophagus that is suspected to be a reaction to an antigen.
02/13/2013
Feature
Feature
04/30/2011
Allen L. Ginsberg, MD
Brief case histories of patients who have similar liver enzyme abnormalities but dissimilar clinical backgroundsare examined.
04/30/2011
Hepatology
Hepatology
04/30/2011
Ronald N. Rubin, MD
Liver biopsy can detect the degree and extent of active inflammation, as well as the presence of bridging fibrosis and cirrhosis.
04/30/2011
Case Report
Case Report
04/30/2011
Major Chad M. Sisk, DO
For 6 weeks, a 29-year-old previously healthy man had between 10 and 15 episodes daily of small-volume bloody diarrhea with intermittent paraumbilical pain.
04/30/2011