Volume 58 - Issue 6 - June 2018

Consultant

Photoclinic
Photoclinic
01/09/2020
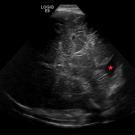
At 29 weeks of gestation, an enlarged cisterna magna of 1.1 cm had been discovered on fetal ultrasonography. Repeated measurement at 36 weeks had shown a dilation of 1.2 cm.
01/09/2020
Photoclinic
Photoclinic
08/28/2019
A 79-year-old man presented to an outpatient clinic for evaluation of an extensive erythematous rash containing pustules and open sores across his left shoulder, chest, and back.
08/28/2019
Case in Point
Case in Point
05/29/2019
A 23-month-old girl presented to the hospital for evaluation of a perianal mass. Her grandmother stated that the lesion had appeared 6 months ago.
05/29/2019
Photoclinic
Photoclinic
11/14/2018
A 38-year-old woman was admitted to our hospital after an incidental finding of hypokalemia on routine screening. She reported generalized pain, fatigue, weakness, polyuria, and nocturia.
11/14/2018
Photoclinic
Photoclinic
05/30/2018
Routine examination of the oral cavity revealed bilateral bony growths along the buccal aspect of the mandible and maxilla as well as the mandibular arch. The growths were covered with normal mucosa.
05/30/2018
doctor's stories
doctor's stories
05/30/2018
A patient came to me in search of a primary care physician who could affirm the psychosomatic nature of most of his symptoms, thus avoiding unnecessary tests that would only exacerbate his somatic...
05/30/2018
What's Your Diagnosis?
What's Your Diagnosis?
05/30/2018
A woman presented to the ED with a 2-week history of swelling, rash, and a tingling sensation in her left middle finger.
05/30/2018
What's the Take Home?
What's the Take Home?
05/30/2018
A lesion of 15 cm in diameter was present over his right scapula. The lesion was basically round, with the central 2 cm being deep purple-black, with ulceration and eschar formation present.
05/30/2018
Doctor's Stories
Doctor's Stories
05/30/2018
Students often participate in debriefing sessions after a simulation exercise. It is just as important for students to receive this feedback as for health care professionals in practice.
05/30/2018
Photo Quiz
Photo Quiz
05/29/2018
A 5-month-old boy presented to the ED within a few hours of the sudden onset of a rash on his hands, feet, and face.
05/29/2018
Feature Article
Feature Article
05/27/2018
Ectropion can be the cause of epiphora and dry eyes. While this condition can range from a very mild to a widely diffuse ectropion, any presentation of the condition may cause symptoms.
05/27/2018
Feature Article
Feature Article
05/25/2018
Pyogenic granuloma, also known as lobular capillary hemangioma, describes a benign vascular tumor with rapid growth and a friable surface that most commonly appears spontaneously on mucosal and cutaneous...
05/25/2018