Volume 58 - Issue 2 - February 2018

Consultant

Case In Point
Case In Point
09/02/2022
A 29-year-old man presented with worsening of pain and swelling in the posterior aspect of the right thigh, which had been associated with subjective fever 2 days prior to presentation.
09/02/2022
What's the Take Home?
What's the Take Home?
04/04/2021
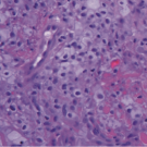
A 63-year-old woman presented for further evaluation of possible liver disease. Approximately 8 months previously, she had undergone a routine physical examination with laboratory testing.
04/04/2021
Photoclinic
Photoclinic
01/08/2020
Otto Louis-Jacques, MD
Ingestion of foreign bodies is a frequent occurrence among children, with coins being the most common in the United States and Europe.
01/08/2020
Photoclinic
Photoclinic
05/30/2019
Andrew Krispinsky, MD
H pylori is a microaerophilic, spiral-shaped, gram-negative bacterial species that is linked to many GI tract diseases.
05/30/2019
Travel Medicine
Travel Medicine
05/16/2019
When patients present with signs and symptoms that raise suspicion for meningitis, primary care providers should ask about recent travel to Hawaii.
05/16/2019
Photoclinic
Photoclinic
05/08/2019
A computed tomography scan of the brain showed a right frontal hematoma measuring 3.4 × 2.0 cm with mild edema and no midline shift.
05/08/2019
Photo Quiz
Photo Quiz
02/28/2019
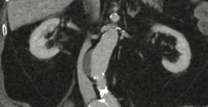
Urinalysis results were suggestive of urinary tract infection. Computed tomography scans of the abdomen/pelvis were obtained
02/28/2019
Dermclinic
Dermclinic
09/27/2018
David L. Kaplan, MD
Nevus of Ota is a hamartoma of dermal melanocytes that is congenital and can present at birth or during puberty, as in this patient’s case.
09/27/2018
Medicine
Medicine
09/26/2018
Richard Colgan, MD
Hippocrates’ teachings have withstood centuries of scrutiny and are perhaps as relevant today as they were back then.
09/26/2018
Dermclinic
Dermclinic
09/25/2018
David L. Kaplan, MD
Urticaria tends to come and go, unlike these lesions, which have been present for a few days.
09/25/2018
Photoclinic
Photoclinic
03/04/2018
A 15-year-old girl presented for a well-child visit. During the review of systems, she stated that she had had vaginal pain on and off since 8 years of age.
03/04/2018
Dermatology
Dermatology
02/09/2018
Here is a series of 4 case reports pertaining to dermatologic disorders.
02/09/2018
What's Your Diagnosis?
What's Your Diagnosis?
02/08/2018
Nevus lipomatosus superficialis is a hamartoma that is characterized by the presence of ectopic mature adipose tissue in the dermis.
02/08/2018
Dermclinic
Dermclinic
02/08/2018
David L. Kaplan, MD
Keratoacanthoma is characterized by rapid growth over a few weeks to months, typically followed by spontaneous resolution over 4 to 6 months in most cases.
02/08/2018
doctor's stories
doctor's stories
02/08/2018
Medicine is an art, and in this era of cost concerns and less-is-more diagnostics, the physician must truly be an artist.
02/08/2018
Editorial
Editorial
02/08/2018
This issue offers an innovative review article on the 5 Keys to Healthy Lifestyle Change and a pair of thought-provoking essays.
02/08/2018
Nutrition
Nutrition
02/08/2018
Tom Rifai, MD
The keys represent 5 different but interrelated and interdependent areas of focus.
02/08/2018
Nutrition
Nutrition
02/08/2018
With so many Americans at cardiometabolic risk, it is important that primary care providers identify lifestyle-driven risk factors and prescribe appropriate therapy, primarily lifestyle-based therapy. ...
02/08/2018