Volume 56 - Issue 5 - May 2016

Consultant

Case In Point
Case In Point
02/04/2020
Kairav Vakil, MD; Jessica Voight, MD; Edward McFalls, MD; Mackenzie Mbai, MD
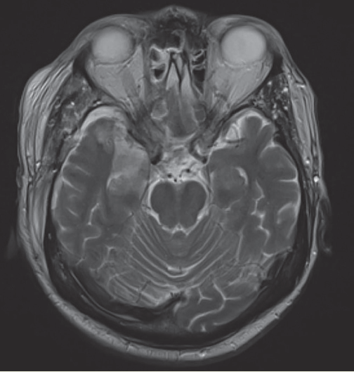
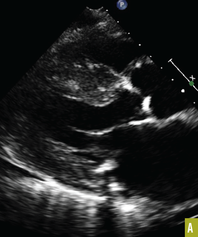
An 84-year-old man was admitted from the nephrology clinic with worsening renal dysfunction and progressive dyspnea.
02/04/2020
Photoclinic
Photoclinic
10/29/2019
Nicholas V. Mendez, BS; Ayman M. Salah, PhD; Kelsey A. Musgrove, BS; Syed A.A. Rizvi, PhD, MBA; Sultan S. Ahmed, MD; Jasmin Ahmed, BS, MS, MD
​A 33-year-old woman with no significant past medical history presented to our family medicine practice with concern for a headache when she laughs or leans her head forward.
10/29/2019
01/01/2017
Ricky Kortyna, MMS, PA-C; Emily Murphy, MPAS, PA-C
A 34-year-old man presented with a 2-year history of intermittent painful swelling below the angle of the right mandible.
01/01/2017
Photoclinic
Photoclinic
08/20/2016
John D. Betteridge, MD; Amilcar L. Morales-Cardona, MD; Daniel K. Hodge, MD; Manish B. Singla, MD; Difu Wu, MD; Ally R. Mazer, MD; Anita Bhushan, MD
A 32-year-old pregnant woman presented to her obstetrician with 1 week of loose, bloody bowel movements up to 7 times per day, along with lower abdominal cramping and urgency.
08/20/2016
Top Papers of the Month
Top Papers of the Month
05/26/2016
Gregory W. Rutecki, MD
There are a handful of antihypertensive agents that have been around for a long time, including hydralazine.
05/26/2016
Cardiometabolic Risk
Cardiometabolic Risk
05/26/2016
This article collects 3 photo-based case reports detailing conditions associated with cardiometabolic risk.
05/26/2016
Cardiometabolic Risk
Cardiometabolic Risk
05/26/2016
Edward Shahady, MD
This article reviews issues associated with defining target LDL-C levels and offer suggestions for reaching a safe lower LDL-C limit.
05/26/2016
05/26/2016
Primary care providers are being called on to manage the health of patients with complex, ubiquitous, and potentially lethal combination of risk factors.
05/26/2016
05/15/2016
David L. Kaplan, MD
A 62-year-old man presented for evaluation of a crusted lesion on the lateral lower right eyelid. It was asymptomatic and had been present for a few months. He was otherwise healthy.
05/15/2016
05/15/2016
David L. Kaplan, MD
This 15-year-old girl presented for evaluation of new pigmented lesion on her right sole. It was asymptomatic and had not been there 2 to 3 months ago.
05/15/2016
Dermatologic disorders
Dermatologic disorders
05/10/2016
Kelsey A. Musgrove, BS; Syed A.A. Rizvi, PhD, MBA; Sultan S. Ahmed, MD; Ayman M. Saleh, PhD; Jasmin Ahmed, BS, MS, MD
A 42-year-old woman with no past medical history and no medication use, who had undergone bilateral saline breast implantation with 5 subsequent repairs, presented 10 days after the last repair procedure...
05/10/2016
Cardiovascular Diseases
Cardiovascular Diseases
05/10/2016
Ronald N. Rubin, MD
A 60-year-old man sustained an acute myocardial infarction (AMI). A brief summary of his history revealed that he was a classic case of metabolic syndrome, with obesity, type 2 diabetes mellitus, and...
05/10/2016
05/10/2016
Benjamin Barankin, MD, FRCPC; Alexander K.C. Leung, MD, MBBS, FRCPC, FRCP
A 44-year-old man presented with an asymptomatic, erythematous lesion on his left flank.
05/10/2016
05/10/2016
Mohamad Kabach, MD; Julio Mercado, MD; Daniel M. Lichtstein, MD, MACP; Sandeep Dayanand, MD
Pellagra is caused by severe malnutrition associated with vitamin B3 (niacin) deficiency and possibly by excessive intake of leucine found in corn and cereals.
05/10/2016
05/10/2016
Here is a collection of 3 case reports about conditions affecting the brain.
05/10/2016
Pulmonary Pitfalls
Pulmonary Pitfalls
05/10/2016
Lam-Phuong Nguyen, DO; Richart W. Harper, MD; Samuel Louie, MD
Carbon monoxide diffusing capacity probably is the least understood pulmonary function test in clinical practice worldwide, even among experienced pulmonologists.
05/10/2016
Pulmonary Pitfalls
Pulmonary Pitfalls
05/10/2016
Lam-Phuong Nguyen, DO; Richart W. Harper, MD; Samuel Louie, MD
Carbon monoxide diffusing capacity probably is the least understood pulmonary function test in clinical practice worldwide, even among experienced pulmonologists.
05/10/2016
Pulmonary Pitfalls
Pulmonary Pitfalls
05/10/2016
Lam-Phuong Nguyen, DO; Richart W. Harper, MD; Samuel Louie, MD
Carbon monoxide diffusing capacity probably is the least understood pulmonary function test in clinical practice worldwide, even among experienced pulmonologists.
05/10/2016
Diabetes
Diabetes
05/10/2016
Eric A. Dietrich, PharmD, BCPS; Kyle Davis, PharmD, BCPS
Aspirin has been used clinically since 1899, and its role for the secondary prevention of cardiovascular (CV) disease is well established.
05/10/2016
Exclusive
Exclusive
05/10/2016
Gregory W. Rutecki, MD
Statistics help tell the disturbing story: While Clostridium difficile (C diff) infections are on the rise, treatment choices have been limited.
05/10/2016
Lymphoma
Lymphoma
05/10/2016
David L. Kaplan, MD
​This 59-year-old man had been followed in the clinic for years for indurated, erythematous plaques on the sun-exposed surface...
05/10/2016
Review Article
Review Article
05/10/2016
Eva Vivian, PharmD, MS
In shared decision-making (SDM), clinicians, diabetes educators, and other members of the health care team elicit perspectives and priorities of the patient and present options and information so that the...
05/10/2016
Eosinophilic Disease
Eosinophilic Disease
05/10/2016
Ami P. Belmont; Paul George, MD
Eosinophilic esophagitis (EoE) is an increasingly prevalent disease in the pediatric and adult populations and is a major cause of gastrointestinal (GI) tract morbidity. EoE is a diagnosis that often is...
05/10/2016
Peer Reviewed
Peer Reviewed
05/10/2016
Wayel Zanjir, MBBS; Samer Nuhaily, MD
Fibromyalgia is a chronic condition characterized by widespread musculoskeletal pain.
05/10/2016
05/10/2016
Abigail Urish, MD
Tattoos have long been discouraged by physicians due to the risks of various diseases transmittable through poorly sanitized tattoo methods and dyes. However, is there a role for a tattoo being a permanent...
05/10/2016
05/10/2016
The Asthma and Allergy Foundation of America (AAFA) reports that 10 people a day die from asthma in the United States, and that asthma affects 24 million Americans, including 6.3 million under the age of...
05/10/2016