Volume 56 - Issue 2 - February 2016

Consultant

Asthma
Asthma
01/17/2017
Nicholas J. Kenyon, MD, MAS; Celeste Kivler, RCP, RRT, CCRC; Samuel Louie, MD
Two pitfalls in everyday asthma care are that omalizumab is a new asthma treatment, and that it is not recommended by the 2007 NAEPP treatment guidelines.
01/17/2017
02/17/2016
Sultan S. Ahmed, MD; Jasmin Ahmed, BS, MS, MD; Nicholas V. Mendez, BS; Kelsey A. Musgrove, BS; Syed A.A. Rizvi, PhD, MBA
A 42-year-old African American man with no past medical history presented with isolated worsening back pain at the lumbosacral spine with no radiation for 6 to 7 months.
02/17/2016
02/17/2016
Steven Luger, MD; Randall H. Suslick, MD
A 44-year-old man presented to an urgent care clinic in Western Iowa with a complaint of generalized fatigue, malaise, and subjective fevers of 3 weeks’ duration.
02/17/2016
02/17/2016
Michael L. Sternberg, MD; David G. Nesbitt, MD
A 61-year-old man presented to the emergency department with a 1-day history of burning abdominal pain, nausea, and 11 episodes of nonbloody emesis.
02/17/2016
Photoclinic
Photoclinic
02/17/2016
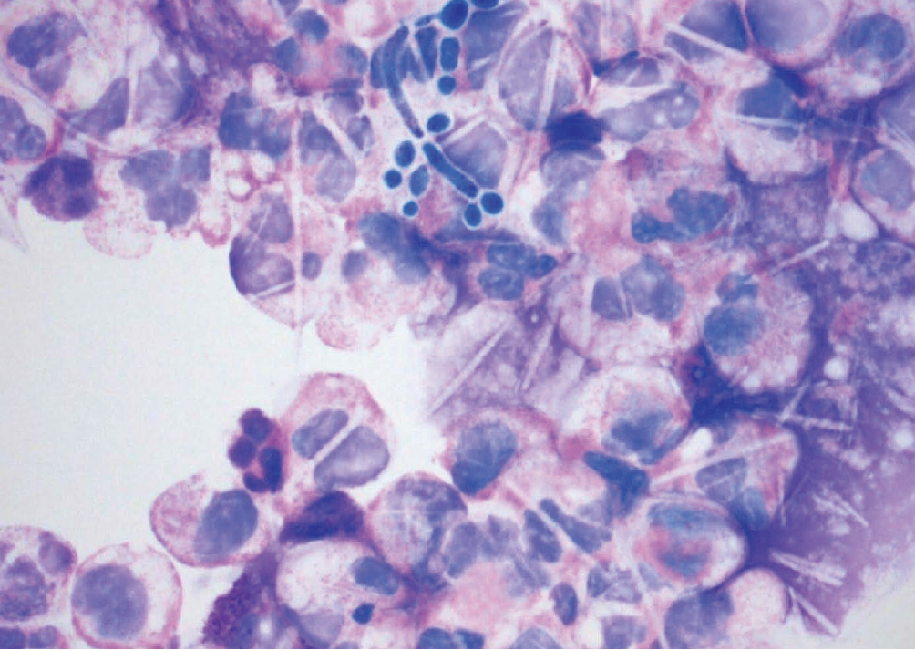
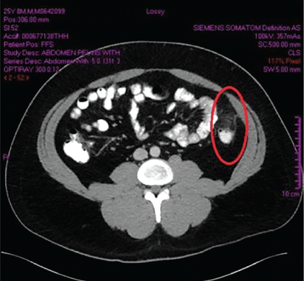
Ahmed Raziuddin, MD; Mohammed Hassan-Ali, MD, MSc; Mohemmad Abbas, MD
A 25-year-old man presented with a 4-day history of sudden pain in the left lower quadrant, leading to the primary care provider's initial diagnosis of diverticulitis.
02/17/2016
02/17/2016
Michael Gordon, MD, MSc, FRCPC
In modern health care facilities, medical ethics are embedded into the complexities of the clinical decision-making process.
02/17/2016
Critical Care
Critical Care
02/17/2016
Gregory W. Rutecki, MD
Acutely ill patients tend to have similar complaints.
02/17/2016
02/17/2016
Poorva Bindal, MBBS; Padmashri Rastogi, MD
A 68-year-old man presented to the emergency department (ED) with a 2-day history of nausea, watery diarrhea, loss of appetite, weakness, and dizziness.
02/17/2016
02/17/2016
Eric A. Dietrich, PharmD, BCPS; Kyle Davis, PharmD, BCPS
Patients with active cancer are at an increased risk for venous thromboembolism (VTE), which is a cause of significant morbidity and mortality.
02/17/2016
02/17/2016
William Scharpf, BS; Laura F. Sandoval, DO; Jonathan Stuart Crane, DO, MD
Lupus pernio is a disease in which abnormal groupings of inflammatory cells can form in multiple organs of the body.
02/17/2016
02/17/2016
A 7-year-old girl was brought to the emergency department because of moderate pain on swallowing and mild upper abdominal discomfort.
02/17/2016
Peer Reviewed
Peer Reviewed
02/17/2016
Ronald N. Rubin, MD
A woman with a known heart murmur was diagnosed with stage C1 aortic stenosis (AS).
02/17/2016
02/17/2016
David L. Kaplan, MD
A 75-year-old man presented with a sudden onset of blisters on his anterior proximal thighs and on his left arm but not on his right arm.
02/17/2016
02/17/2016
David L. Kaplan, MD
A 48-year-old woman presented with a 2-month history of small pruritic blisters on her palms and soles.
02/17/2016
02/17/2016
David L. Kaplan, MD
After having been outdoors in July, a 35-year-old man presented with a sudden onset of itchy blisters confined to both feet and lower legs.
02/17/2016
Hair Loss
Hair Loss
02/17/2016
Jennifer Rabjohns, MS-IV; Aditi Jayanth, MD; David Effron, MD
In case 1, a 16-year-old, otherwise healthy African American adolescent presented to the emergency department (ED) with her grandmother.
02/17/2016
Allergic Angioedema
Allergic Angioedema
02/17/2016
Abdulrazak Alchakaki, MD; Dhafer Salem, MD, MPH
For many years, corticosteroids, antihistamines, and epinephrine have been used to treat severe angioedema related to therapy with angiotensin-converting enzyme inhibitors (ACEIs).
02/17/2016
02/17/2016
Meagan Soltwisch, DNP, APRN, FNP-C; Nancy Beckham, PhD, FNP-C
The inappropriate prescribing of antibiotics for symptoms of rhinosinusitis is prevalent in the United States.
02/17/2016
Psoriasis
Psoriasis
02/17/2016
Dane Hill, MD; Steven R. Feldman, MD, PhD; Simona Bartos, MPH, BS
Psoriasis is a ubiquitous chronic inflammatory skin disease that occurs most often in adults, with men and women affected with equal prevalence.
02/17/2016
02/17/2016
Gabriel Aisenberg, MD; Gabriela Sanchez Petitto, MD
Some patients with advanced cancer experience symptoms for which pharmacologic management, including cancer therapies, offers little or no relief.
02/17/2016
Letters to the Editor
Letters to the Editor
02/17/2016
Having worked as a primary care nurse practitioner (NP) for the past 20 years, as well as having just completed my doctoral work on advanced care planning, I was dismayed upon reading Drs Weinberg and...
02/17/2016
02/17/2016
In this space in last month’s issue, I mentioned how we at Consultant have been hard at work behind the scenes at Consultant360.com, and that exciting new enhancements were coming soon.
02/17/2016