Volume 54 - Issue 11 - November 2014

Consultant

churgstraus syndrome
churgstraus syndrome
01/19/2017
Essa Essa, MD, MBBS; Michael Langan, MD; Andrew D. Schreiner, BS, MD
A 65-year-old Caucasian female with a history of refractory asthma complains of progressive dyspnea, arthralgias, and bilateral lower extremity rash.
01/19/2017
deformity
deformity
12/11/2014
Aazib Khan, MD; Sayed K. Ali, MD, FACP
A 78-year-old male came into the clinic for a routine follow-up visit. He has a history of vertigo that has been associated with unsteadiness and multiple falls.
12/11/2014
Pfeiffer Syndrome
Pfeiffer Syndrome
11/20/2014
Hannah Lee, DO; Emma A. Omoruyi, MD, MPH
A girl was born at 37 weeks of gestation to a 40-year-old gravida 3, para 2 mother via cesarean delivery at a county hospital.
11/20/2014
Vasculitis
Vasculitis
11/20/2014
David L. Kaplan, MD
A 54-year-old female presents with an asymptomatic eruption on her legs.
11/20/2014
Eczema
Eczema
11/20/2014
David L. Kaplan, MD
A 46-year-old female with a history of eczema presents with a 2-month history over the summer of itching on her arms, mostly in a sun distributed pattern.
11/20/2014
Psoriasis
Psoriasis
11/20/2014
David L. Kaplan, MD
A 21-year-old male presented for evaluation of a rash that started on his legs 1 month prior following a sunburn earlier in the summer.
11/20/2014
cyst
cyst
11/19/2014
Diego P. Peralta, MD; Aymara Y. Chang, MD
A 28-year-old Caucasian male presented to our hospital for evaluation of hematuria.
11/19/2014
tumor
tumor
11/19/2014
Pankajkumar Shah, MD; Rao Velaga, MD; Rinkesh Patel, MBBS
A 69-year-old Caucasian male with known history of hypertension, peripheral vascular disease, and smoking presented to the surgeon with a neck mass.
11/19/2014
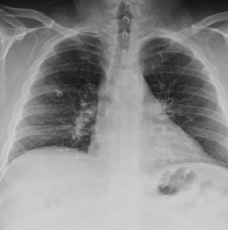
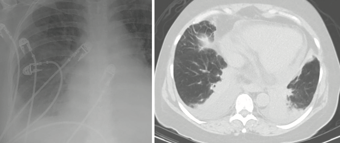
Breast cancer
Breast cancer
11/19/2014
Vishesh Kumar, MD; Neeraj Saini, MD; Vivek Saini, MD
A 55-year-old female with history of triple negative breast cancer stage IIA status presents with pleuritic right-sided pain in the infrascapular region with progressive dyspnea on exertion over the past 2...
11/19/2014
Preeclampsia
Preeclampsia
11/19/2014
Carlito Arenas, Jr., MD; Vincent Bryan Salvador, MD; Sabaa Joad, MD; Arunakumari Penumadu, MD; Valeriy Vilensky, MD
A 25-year-old African American, G2P2, without prior known comorbidities presented to the emergency department with 2 episodes of seizures, 8 days after an uncomplicated full-term normal spontaneous vaginal...
11/19/2014
HIV
HIV
11/19/2014
This article features a collection of HIV/AIDS related infections, including histoplasmosis, Karposi sarcoma, and oral hairy leukoplakia.
11/19/2014
cholecystitis
cholecystitis
11/18/2014
Ronald N. Rubin, MD
A 64-year-old woman is admitted with acute calculus cholecystitis. Over the last 48 hours, she has had steadily increasing pain in the right upper quadrant.
11/18/2014
xanthelasma
xanthelasma
11/18/2014

Alexander K.C. Leung, MD, and Benjamin Barankin, MD

Alexander K.C. Leung, MD, and Benjami...
A 47-year-old Caucasian man presented with bilateral yellowish skin lesions on the upper eyelids.
11/18/2014
xanthelasma
xanthelasma
11/18/2014

Alexander K.C. Leung, MD, and Benjamin Barankin, MD

Alexander K.C. Leung, MD, and Benjami...
A 47-year-old Caucasian man presented with bilateral yellowish skin lesions on the upper eyelids.
11/18/2014
xanthelasma
xanthelasma
11/18/2014

Alexander K.C. Leung, MD, and Benjamin Barankin, MD

Alexander K.C. Leung, MD, and Benjami...
A 47-year-old Caucasian man presented with bilateral yellowish skin lesions on the upper eyelids.
11/18/2014
Diabetes Q&A
Diabetes Q&A
11/18/2014
Eric A. Dietrich, PharmD, BCPS
The CHEST guidelines recommend monitoring the INR every 4 weeks in most patients. However, in those patients who have been stable on warfarin therapy for at least 3 months, CHEST suggests that it is...
11/18/2014
venous thromboembolism
venous thromboembolism
11/18/2014
Narin Sriratanaviriyakul, MD; Susan Murin, MD; Samuel Louie, MD
This column highlights pitfalls during the diagnostic evaluation for PE and discusses how to avoid them to minimize morbidity and mortality.
11/18/2014
spleen
spleen
11/13/2014
Gregory W. Rutecki, MD
A 23-year-old had a splenectomy after a motorcycle accident. He received the 23-valent pneumococcal vaccine (PCV23) after surgery and now, 6 months later, he is calling because he has a fever. What should...
11/13/2014
Mental Health Disorders
Mental Health Disorders
11/11/2014
Hani Raoul Khouzam, MD, MPH
In this first half of a 2-part series, the authors summarize the history of electroconvulsive therapy (ECT), the proposed mechanisms of action, and its clinical indications.
11/11/2014
Dermatology
Dermatology
11/11/2014
Wendy E. Roberts, MD
This article discusses the risk factors for skin disorders and offers treatment pearls when treating the geriatric population.
11/11/2014
anemia
anemia
11/11/2014
Danielle L. Heidemann, MD; Kimberly Baker-Genaw, MD; Nicholas A. Joseph, MD; Philip Kuriakose, MD
This article outlines an algorithm that can potentially lead to significant cost savings per diagnosis of microcytic anemia.
11/11/2014
Primary Care
Primary Care
11/11/2014
Richard Colgan, MD
Even the best-seasoned clinicians start out young, green, naïve, and with little clinical experience.
11/11/2014
Diabetes Q&A
Diabetes Q&A
11/11/2014
“Obesity is an issue, but it is not the only issue,” said Timothy Harlan, MD, keynote speaker at Consultant’s 2014 Cardiometabolic Risk Summit (October 10-12, 2014, Las Vegas). “Weight loss is only half the...
11/11/2014