Volume 64 - Issue 9 - September 2024

Consultant

Photo Essay
Photo Essay
04/12/2025
Alexander K.C. Leung, MD, MBBS, FRCPC, FRCP; Benjamin Barankin, MD, FRCPC; Joseph M. Lam, MD; Kin Fon Leong, MD
This article is part of a series describing and differentiating dermatologic lumps and bumps. In Part 43, Leung and colleagues describe blue nevi. To access previously published articles in the series,...
04/12/2025
Case In Point
Case In Point
04/11/2025
Dongsheng Jiang, MD, MS; Joanna Jiang, MD; Juan Qiu, MD, PhD
Lyme disease is the predominant vector-borne ailment in the United States, afflicting approximately 476,000 individuals annually. Notably, 95% of LD cases reported to the CDC emanate from 14 states spanning...
04/11/2025
What's the Take Home?
What's the Take Home?
04/10/2025
Ronald N. Rubin, MD
In a 3-week period, two men present to the office asking for advice regarding prostate cancer screening and evaluations they have undergone in recent weeks.
04/10/2025
Photoclinic Challenge
Photoclinic Challenge
03/08/2025
A 13-year-old girl was admitted to our emergency department with a 4-day history of worsening conjunctivitis, stomatitis, and odynophagia, leading to decreased oral intake and dehydration.
03/08/2025
photoclinic
photoclinic
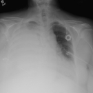
10/09/2024
Preslav Valchev, MD; Jerry Kenmoe, MD; Narjis Batool, MD
A 74-year-old woman with a past medical history of stage 4 invasive ductal carcinoma presented to the emergency department with fatigue and gradually worsening dyspnea during the past 2 months.
10/09/2024