Volume 64 - Issue 8 - August 2024

Consultant

Pulmonary Pitfalls
Pulmonary Pitfalls
07/09/2025
Florence Chau-Etchepare, MD; Brian Morrissey, MD; Samuel Louie, MD
Compared to other chronic airway disorders like asthma and chronic obstructive pulmonary disease (COPD), bronchiectasis is generally among the least understood. This may be due, in part, to the sheer volume...
07/09/2025
Case in point
Case in point
04/09/2025
Emily Penrose, MS; Kerry Ohlson, RN, BSN; Kristine Voos, BS, CHES; Brenden A. Bedard, MPH; Paul A. Petit, MSL
This paper summarizes a case of botulism in a 69-year-old man caused by Clostridium baratii (C. baratii) type F toxin and the resultant investigation conducted at a local health department. The case is...
04/09/2025
what's your diagnosis?
what's your diagnosis?
04/08/2025
Afolake Mobolaji, MD, MPH, FAAFP; Nwamaka Dike, MD; Folashade S. Omole, MD, FAAFP
A 66-year-old man presents to the clinic with a small, bright red bump on his left ring finger, which he noticed about 1 to 2 months prior to presentation.
04/08/2025
Photoclinic
Photoclinic
03/13/2025

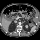
U. George McCann III, BS1 Isabella Amador, BS1 John Ramos Rivas, BS1 Kevin Pierre, MD2 Maher Khazem, MD2 Spaulding Solar, MD2 Andrew McCurry, MD2 Jeffrey Vogel, MD2 Hugh Davis, MD2

U. George McCann III, BS1 • Isabella ...
A 75-year-old man developed sharp left upper quadrant pain immediately following an esophagogastroduodenoscopy (EGD) and colonoscopy performed for persistent generalized abdominal discomfort.
03/13/2025
Photo Essay
Photo Essay
09/04/2024
Alexander K.C. Leung, MD, MBBS, FRCPC, FRCP; Benjamin Barankin, MD, FRCPC; Joseph M. Lam, MD; Kin Fon Leong, MD
This article is part of a series describing and differentiating dermatologic lumps and bumps. In Part 42, Leung and colleagues describe acquired melanocytic nevi. To access previously published articles in...
09/04/2024