Volume 64 - Issue 2 - February 2024

Consultant

Photoclinic Challenge
Photoclinic Challenge
10/29/2025
Consultant360’s Photoclinic Challenge is an interactive quiz based on an image featured in a Photoclinic article. View the slideshow for a brief overview of the case, patient history, and a key hint. In...
10/29/2025
Case Report Insights
Case Report Insights
07/05/2025
Matthew Nemoy, DO
In this Consultant Case Report Insights, Matthew Nemoy, DO, discusses his team’s study, “Supraclavicular Lymphadenopathy as the Presenting Feature of Disseminated Mycobacterium Tuberculosis,” including the...
07/05/2025
photoclinic
photoclinic
05/11/2025
Bruno Hochhegger, MD, PhD; U. George McCann, III, BS; Ali Mirza, BS, MPH; Michael Mathelier, BS; Scotty McGaugh, BA; Kevin Pierre, MD; Ralph Tullo, MD; Yazeed Fraij, DO; Hugh Davis, MD
A 37-year-old gravida two para one woman at 35 weeks and 3 days of gestation presented to labor and delivery triage with a two-day history of gestational hypertension, headaches, and visual disturbances. ...
05/11/2025
What's The Take Home?
What's The Take Home?
02/20/2025
Ronald N. Rubin, MD
The wife of a 75-year-old previously healthy man calls her internist to report her husband’s acute episode of “confusion.”
02/20/2025
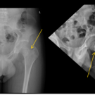
What's Your Diagnosis?
What's Your Diagnosis?
09/18/2024
Lana Soylu, MD, FAAP; Cole R. Fiedler, BS 
A 13-year-old boy presented to his pediatrician’s office with a 1-day history of left hip pain. The patient reported that he felt a sharp pain in his anterior left hip while running, causing him to limp. He...
09/18/2024
Photo Essay
Photo Essay
04/10/2024

Alexander K.C. Leung, MD1,2, Benjamin Barankin, MD3, Joseph M. Lam, MD4, Kin Fon Leong, MD5

Alexander K.C. Leung, MD1,2, Benjamin...
This article is part of a series describing and differentiating dermatologic lumps and bumps. In Part 36, Leung and colleagues describe pyogenic granuloma. To access previously published articles in the...
04/10/2024
Photoclinic
Photoclinic
04/05/2024
Jesse D. Bracamonte, DO; Murk Rani, MD; Denise Schweda, MD; Molly M. Kresin, DO
A 64-year-old woman presented to her primary care physician for a localized pruritic lesion on her upper mid back. The patient described the lesion as a pruritic and slightly darker area on her upper mid...
04/05/2024