Volume 63 - Issue 7 - July 2023

Consultant

What's The Take Home?
What's The Take Home?
04/21/2025
Ronald N. Rubin, MD
A 51-year-old man who works in the delivery services industry presented with bilateral leg edema, weight loss, and fatigue. He has lost more than 4.5 kg (10 lb) in the past 4 months without dieting. In...
04/21/2025
photoclinic
photoclinic
12/24/2024
Afolake Mobolaji, MD, MPH, FAAFP; Folashade S. Omole, MD, FAAFP
A 68-year-old woman presented to the emergency room with pleuritic left-sided chest pain associated with shortness of breath and a productive cough with clear sputum but no hemoptysis.
12/24/2024
photoclinic
photoclinic
11/27/2024
Vivekanand Tatineni, DO; William Christopher Baughman, MD; Keara O'Connell, MD; Vikas Jain, MD
A 63-year-old man was admitted to the emergency department with left flank pain radiating into his chest. He had initially presented to an outside hospital and was transferred after 24 hours of observation...
11/27/2024
radiology quiz
radiology quiz
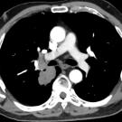
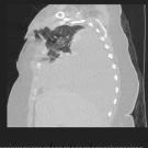
11/11/2024
Alexandra Close, BS; Maaria Chaudhry, MS; Kirill Alekseyev, MD; Bilal Chaudhry, MD
A 60-year-old woman presented to the emergency department with blunt thoracic trauma after a head-on motor vehicle accident.
11/11/2024
Case in Point
Case in Point
10/24/2024
James Matera, DO
A 24-year-old woman presented to the emergency department (ED) with joint swelling, severe arthralgias, and myalgias. She works as a nurse in a busy ED. She was admitted to the hospital for further workup. ...
10/24/2024
Photoclinic
Photoclinic
08/31/2024
Melissa M. Warne, BS; Daniel Buscaglia, DO
A 54-year-old woman presented to an outpatient office for recurrent erythema and tenderness of the right lower eyelid and cheek. She was not taking any medications, and her health was excellent. She denied...
08/31/2024
Case in point
Case in point
06/16/2024
Alan Lucerna, DO; James Espinosa, MD; Joseph Pagano, DO; Henny Schuitema, DO
A 38-year-old man received a booster dose of the Pfizer COVID-19 vaccine about 6 months after completing two doses of the Moderna COVID-19 vaccine primary series. Following his Pfizer booster dose, the...
06/16/2024
Photo Essay
Photo Essay
07/21/2023

Alexander K.C. Leung, MD1,2, Benjamin Barankin, MD3, Joseph M. Lam, MD4, Kin Fon Leong, MD5

Alexander K.C. Leung, MD1,2, Benjamin...
This article is part of a series describing and differentiating dermatologic lumps and bumps. In Part 29, Leung and colleagues describe keratoacanthoma. To access previously published articles in the...
07/21/2023