Volume 63 - Issue 4 - April 2023

Consultant

Photoclinic
Photoclinic
03/19/2026
Catherine Anderson-Quinones, BM; Kinza Khan, BA; Sonal Khedkar, BS ; Andrew Wilner, MD; Jay Patel, DPM, MD
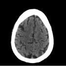
The patient was a 48-year-old man who presented with headache, left eye ptosis, a dilated pupil, and tooth pain for 10 days duration. They had a history of hypertension and poorly controlled type 2...
03/19/2026
Case in Point
Case in Point
12/13/2024
W. Clay Jackson, MD, DipTh
A 62-year-old woman presented to a palliative care clinic for follow-up of symptom management. She reported a recent fall after unexpectedly being shocked by her implantable cardioverter-defibrillator...
12/13/2024
Photoclinic
Photoclinic
11/16/2024
Elizabeth J. Donovan, MSPAS, PA-C; Mohammed M.H. Kalan, MD
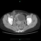
A 61-year-old woman presented to the emergency department with swelling and tenderness of the right groin, low-grade fever, and chills. The bulge had been present in the right groin for 2 months. Her newest...
11/16/2024
Case in Point
Case in Point
10/31/2024
Vikas Jain, MD; Lucas M. Walden; Jeffrey W. Prescott, MD, PhD
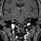
A 67-year-old man who developed new onset neurological symptoms was found to have bilateral internal carotid artery (ICA) pseudoaneurysms on computed tomography angiography.
10/31/2024
What’s Your Diagnosis?
What’s Your Diagnosis?
10/30/2024
Kent S. Handfield, MD, FAAD; Rachel Ruda, MD; Ford Lannan, MD
A 26-year-old man with no significant medical history presented to our clinic with an area of hair loss on his posterior scalp.
10/30/2024
Photoclinic
Photoclinic
10/30/2024
Ibrahim Farah, MD; Marwan Zaarab, MD; Juaquito M. Jorge, MD; Frederick M. Tiesenga, MD
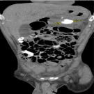
A 51-year-old man presented to the emergency department (ED) with a 1-month history of abdominal pain, nausea, and non-bloody/non-bilious vomiting, which was associated with difficulty swallowing, decreased...
10/30/2024
What's The Take Home?
What's The Take Home?
08/13/2024
Ronald N. Rubin, MD
A 67-year-old woman presented with neck and shoulder discomfort for nearly a month. The patient felt pain in her neck and shoulders with subacute onset about once a week. She called her primary physician...
08/13/2024
photo essay
photo essay
05/19/2024

Alexander K.C. Leung, MD1,2—Series Editor • Benjamin Barankin, MD3 • Joseph M. Lam, MD4 • Kin Fon Leong, MD5

Alexander K.C. Leung, MD1,2—Series Ed...
This article is part of a series describing and differentiating dermatologic lumps and bumps. To access previously published articles in the series, visit...
05/19/2024
Photoclinic
Photoclinic
04/30/2024
Sheldon P. Hersh, MD, FACS; Joshua N. Hersh, MD; Perry Gerard, MD, MBA; Sana Ali, MD
A 73-year-old man presented with a 1-week history of aural fullness and sudden hearing loss in the right ear. He denied any accompanying pain, tinnitus, facial weakness, or vertigo.
04/30/2024
Photoclinic
Photoclinic
04/02/2024
Roy Mathews, MD, DPM; Kaili Yang, MD; Amee Patel, MD, MPH
A 9-month-old girl presented to our emergency room with an atraumatic right-sided neck mass that was tender to palpation.
04/02/2024
Photo Quiz
Photo Quiz
03/08/2024
Allison Robbins, MD; Oliver J. Wisco, DO, FAAD, FACMS; Isabelle Moseley, BA
A 28-year-old man with a medical history significant for mild hypertension and pre-obesity presents with bilateral draining nodules and cysts with sinus tract formation in the axillae.
03/08/2024