Volume 63 - Issue 3 - March 2023

Consultant

Photoclinic
Photoclinic
07/14/2025
Geethika Thota, MD; Karthik Yeruva, MD; Abhishek D. Dave, MD; Sudeepthi Reddy Mekala, MBBS; Thulasi Ram Gudi, MD
A 74-year-old man with a history of chronic obstructive pulmonary disease presented to the emergency department reporting hoarseness of his voice and difficulty eating 2 days prior to his hospital...
07/14/2025
Photoclinic
Photoclinic
04/14/2025
Farrah Alarmanazi, MS-IV; Chirag B. Shah, PharmD, MD; Monarch Shah, MD
A 74-year-old woman with a history of hypertension was seen in an outpatient office with complaints of intermittent palpitations with associated headaches and dizziness for 1 week duration. Vital signs were...
04/14/2025
Case in Point
Case in Point
01/03/2025
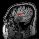
Jacob Moser; Abigail Bourland; Richard Byrd, MD
A 13-year-old, right-handed, adolescent boy presented to his pediatrician for his annual health maintenance examination with no chief complaint.
01/03/2025
Photoclinic
Photoclinic
11/18/2024
David Effron, MD; C. Clare Charbonnet, MD; Charles L. Emerman, MD; Agnieszka A. Ardelt, MD, PhD, MBA
A 66-year-old, right-handed man presented to the emergency department (ED) reporting the perception of hearing speech “in fast forward.” The perception was intermittent; episodes lasted for a few minutes...
11/18/2024
What’s Your Diagnosis?
What’s Your Diagnosis?
10/29/2024
Bilal Chaudhry, MD; Lidya Didenko; Maaria Chaudhry, MS
A 49-year-old man presented for evaluation of a 10-year history of progressive pain in his joints. The joint pain is localized predominantly in his hands and feet.
10/29/2024
Photo Quiz
Photo Quiz
09/20/2024
Michelle L. Gallagher, DO; Fayven Teklehaimanot, BS ; Yasmine Abushukur, BS 
A 17-year-old girl presented for evaluation of “hair loss” that had begun approximately 1 year prior to presentation.
09/20/2024
Photo Essay
Photo Essay
06/13/2024

Alexander K.C. Leung, MD1,2—Series Editor • Benjamin Barankin, MD3 • Joseph M. Lam, MD4 • Kin Fon Leong, MD5

Alexander K.C. Leung, MD1,2—Series Ed...
This article is part of a series describing and differentiating dermatologic lumps and bumps. In Part 25, Leung and colleagues describe lipomas.
06/13/2024
Photoclinic
Photoclinic
04/16/2024
Kent Axcell, BS; Yesul Kim, MD; Edward J. Fox, MD; Joseph J. Drabick, MD; Bryan E. Anderson, MD
A 60-year-old man presented to the emergency room with a left upper extremity angiosarcoma secondary to chronic lymphedema of the left upper extremity.
04/16/2024
Photoclinic
Photoclinic
04/01/2024
Hinduja Nallamala, DO; Lannie Cation, MD
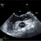
A 66-year-old man presented to the hospital with hypoxia requiring 15 L/min of supplemental oxygen. The patient’s medical history included non-ischemic cardiomyopathy with systolic heart failure, a left...
04/01/2024
Case In Point
Case In Point
03/04/2024
Lexi Crawford, MD; Manju Korattiyil, MD; Gabrina Dixon, MD, MEd
Kawasaki disease is an acute febrile vasculitis that affects medium-sized arteries and occurs predominantly in children. In many patients, the clinical manifestations of Kawasaki disease are atypical or...
03/04/2024