Volume 60 - Issue 6 - June 2020

Consultant

Photoclinic
Photoclinic
08/30/2022
An 8-year-old girl with no significant medical history presented with a 4-day history of diplopia and pain on eye movements.
08/30/2022
Photoclinic
Photoclinic
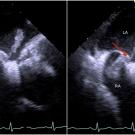
08/16/2022
Transesophageal echocardiography demonstrated thrombi in transit through a patent foramen ovale and showed the presence of thrombi in all 4 chambers of the heart.
08/16/2022
Guest Commentary
Guest Commentary
11/12/2021
Sometimes a patient’s self-diagnosis can be helpful. On the other hand, a patient also can lead the diagnostician astray. The power of suggestion can cause the clinician to anchor on one part of the history...
11/12/2021
What's the Take Home?
What's the Take Home?
07/01/2020
A 67-year-old man was brought to the emergency department for evaluation of an evolving neurological event. He had been watching evening TV with his wife as is usual for them when he reported having an...
07/01/2020
Photo Essay
Photo Essay
06/01/2020
This article is part 8 of a 15-part series of Photo Essays describing and differentiating conditions affecting the nails. Parts 9 through 15 will be published in upcoming issues of Consultant. To access...
06/01/2020
Photoclinic
Photoclinic
05/08/2020
A 78-year-old woman presented to the hospital with 1-day history of biliary colic, emesis, and diarrhea. Her medical history was significant for type 2 diabetes with neuropathy, dyslipidemia, and...
05/08/2020
Review
Review
05/01/2020
Coronary angioplasty is now one of the most widely performed cardiac procedures in the world. It has become routine to open an occluded artery, but this was not the case just a few decades ago.
05/01/2020
Case In Point
Case In Point
04/16/2020
Nutritional rickets has been commonly reported as a public health problem in Africa and several parts of the Asian subcontinent. However, there has been a recent reemergence of vitamin D deficiency noted in...
04/16/2020
Photoclinic
Photoclinic
03/20/2020
A 5-year-old girl with a history of premature birth presented to her primary care pediatrician for her annual well-child check. On physical examination, an elongated, swollen, crooked left middle finger was...
03/20/2020
Photoclinic
Photoclinic
03/19/2020
Lumbar epidural anesthesia is frequently administered to the obstetric patient. The loss of resistance is a well-established technique to identify and access the epidural space; however, this technique is...
03/19/2020