Volume 60 - Issue 1 - January 2020

Consultant

Photoclinic
Photoclinic
08/12/2022
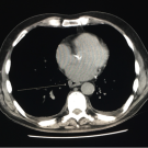
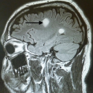
A 27-year-old man presented to the ED for a headache that had been present for 2 weeks. He reported that the headache was dull, varying in intensity throughout the day, worse in the morning and after work,...
08/12/2022
Case In Point
Case In Point
04/02/2022
A 20-year-old man presented with double vision and tingling/electric shock-like sensations of the right side of the body.
04/02/2022
What's Your Diagnosis?
What's Your Diagnosis?
02/25/2022
A healthy 38-year-old man presented to a walk-in clinic for evaluation of a rash on his upper neck that his primary care physician had diagnosed as a possible skin abscess 2 days prior.
02/25/2022
Guest Commentary
Guest Commentary
01/29/2022
When physicians make mistakes, the following faults should be considered: A dearth of knowledge (ignorance); having accepted incorrect theories; and having organized these theories or conclusions in a...
01/29/2022
Photoclinic
Photoclinic
10/08/2021
A 15-month-old boy presented to the emergency department with multiple episodes of vomiting and a subjective fever for 2 days.
10/08/2021
Photoclinic
Photoclinic
10/01/2021
A 17-year-old young woman, an immigrant from Venezuela, presented with decreased visual acuity in her right eye. Her medical history was significant for congenital toxoplasmosis with intracranial...
10/01/2021
Photoclinic
Photoclinic
07/22/2021
A 53-year-old man presented to the emergency department and was subsequently admitted to the medical ward with hematemesis, melena, and atypical chest pain, all occurring intermittently for the past few...
07/22/2021
Photoclinic
Photoclinic
07/02/2021
An 8-year-old girl presented with a red area in her right eye. She reported that the lesion had appeared approximately 2 days prior to presentation. She denied any pain, decrease in vision, photophobia, or...
07/02/2021
Photo Essay
Photo Essay
01/07/2020
This article is part 3 of a 15-part series of Photo Essays describing and differentiating conditions affecting the nails. Parts 4 through 15 will be published in upcoming issues of Consultant. To access...
01/07/2020