Peer Reviewed
Ocular Toxoplasmosis
Lynnette Mazur, MD, MPH
University of Texas McGovern Medical School, Houston Texas
Joshua Matthews
Clements High School Sugar Land, Texas
Fatima Aly, MD
University of Texas McGovern Medical School, Houston Texas
Veneetha Cherian, MD
Michael E. DeBakey Veterans Affairs Medical Center, Houston, Texas
Citation:
Mazur L, Matthews J, Aly F, Cherian V. Ocular toxoplasmosis. Consultant. 2020;60(1):30-32.
A 17-year-old young woman, an immigrant from Venezuela, presented with decreased visual acuity in her right eye.
History. Her medical history was significant for a premature birth at 27 weeks’ gestational age, congenital toxoplasmosis with intracranial calcifications, a cataract of the left eye, and neonatal seizures. Her parents reported that she had been treated for the infection at birth. However, it was unknown what medications were used and whether the currently recommended 12-month toxoplasmosis treatment protocol of pyrimethamine/sulfadiazine and leucovorin had been followed.
Her past surgical history included several procedures on her left eye, including removal of the cataract at 5 months of age, implantation of an intraocular lens at 3 years of age, and enucleation with placement of a prosthesis at 6 years of age. She had no history of hearing loss, further seizures, or developmental delay. Before having immigrated to the United States, she had had an ophthalmologic examination every 6 months to monitor for possible reactivation of toxoplasmosis and for the development of sympathetic ophthalmia (SO) from the enucleation.
Several diagnoses were considered (Table 1); because of her history of congenital toxoplasmosis, a reactivation of the infection was suspected.
|
Table 1. Differential Diagnosis of Blurred Vision or Decreased Visual Acuity |
||
|
Anatomical Site |
Pathology |
Clues for Diagnosis |
|
Refractive Errors |
Astigmatism, hypermetropia, or myopia |
Vision improves with pinhole testing |
|
Corneal |
Corneal abrasions, dry eyes, penetrating eye injury |
Cornea appears irregular in diffuse light |
|
Iris |
Iritis, uveitis |
Pain and redness around the cornea, pupil sluggish |
|
Lens |
Cataracts |
Opacity in the media seen with ophthalmoscope |
|
Subluxation or dislocation of lens |
Iris appears tremulous |
|
|
Vitreous |
Hemorrhage, vitritis, posterior vitreous detachment (PVD) |
Fundus—no view with hemorrhage, hazy view in vitritis, and floaters with PVD. |
|
Retina |
Retinitis, retinal detachment, retinal or macular edema; infectious agents may include cytomegalovirus (CMV), HIV, toxoplasmosis, and tuberculosis |
Swollen retina appears white and fluffy; detached retina appears gray |
|
Optic nerve |
Optic neuritis |
Pain on eye movements, loss of colors |
|
Glaucoma |
Optic nerve head appears cupped |
|
|
Choroid |
Choroiditis/chorioretinitis caused by inflammation and infection; infectious agents may include CMV, HIV, toxoplasmosis, and tuberculosis |
Pigmentary changes seen near the lesion |
|
Sclera |
Scleritis |
Deep redness of sclera with scleral tenderness |
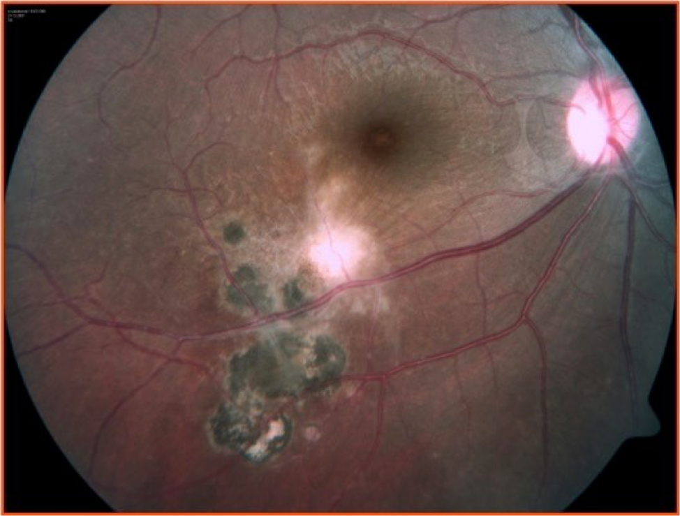
Physical examination. Her visual acuity was 20/40 with correction in her right eye; the sclera and cornea were clear. Funduscopic examination revealed a clear vitreous, but old patchy hyperpigmented scarring in the retina with an adjacent newer yellowish white elevated cotton-wool patch with indistinct margins (Figure), which are classic findings of chorioretinitis secondary to toxoplasmosis. She was referred to an ophthalmologist.

Figure. Funduscopic image showing an old hyperpigmented scar with a new yellowish white elevated cotton-wool patch with indistinct margins.
Discussion. Toxoplasmosis, caused by the intracellular parasite Toxoplasma gondii, is most commonly acquired by the ingestion of contaminated food, water, or soil (Table 2).
|
Table 2. Risk Factors for Toxoplasma gondii Infection |
|
Contact with T gondii from cat feces (after excretion, oocysts require a maturation phase [sporulation] of 1 to 5 days before they are infective by the oral route but can survive for years under most environmental conditions); can occur through gardening, cleaning a cat’s litterbox, and eating unwashed fruit or vegetables contaminated with soil |
|
Eating uncooked meat from infected animals or using kitchen utensils or chopping boards that have been in contact with raw contaminated meat |
|
Eating raw oysters, clams, or mussels |
|
Drinking unpasteurized raw milk or contaminated water |
|
Receiving an infected organ transplant or blood transfusion |
Persons born outside of the United States are more likely to be seropositive than those born in the United States, 25% vs 9%, respectively.1 Although infected adults may be asymptomatic, unborn children are particularly vulnerable. An estimated 800 to 4400 pregnant US women experience acute T gondii infection annually, and up to 400 infants are born with congenital toxoplasmosis.2
A pregnant woman may transmit the infection to her unborn child in 1 of 3 ways: through a previously seronegative mother who acquires acute primary infection during pregnancy or within 3 months prior to conception; through reactivation in a previously T gondii-immune pregnant woman who becomes immunocompromised during pregnancy; or after reinfection of a previously immune pregnant mother with a new, more virulent strain.2
The classic triad of congenital toxoplasmosis includes chorioretinitis, intracranial calcifications, and hydrocephalus. Microcephaly, seizures, jaundice, petechiae, generalized rash, strabismus, blindness, microphthalmia, hearing loss, pericardial or pleural effusions, intrahepatic calcifications, ascites, hepatosplenomegaly, echogenic bowel, and anemia also may be present. Developmental delay and learning disabilities may develop over time.3,4
Although symptomatic chorioretinitis occurs in only 0.2% to 0.7% of T gondii-infected adults annually in the United States (approximately 4800 people), it occurs in up to 75% of the offspring whose mothers were not treated during gestation and in up to 25% of offspring whose mothers were treated during pregnancy.5 The ocular lesions can occur in a previously healthy location, or reactivation of an existing lesion may occur.5 Additionally, more-virulent genotypes and severer ocular disease occur in children from South America, such as our patient.6
In addition to the risk of reactivation, SO was a concern in our patient’s case. SO is a granulomatous inflammation that follows insult to the uvea of one eye.7 The injured (enucleated) eye is referred to as the exciting eye, and the contralateral eye is referred to as the sympathizing eye. The inflammatory response in the sympathizing eye suggests an autoimmune mechanism. It presents with inflammation that may include optic nerve swelling, exudative retinal detachment, and anterior granulomatous inflammation with mutton-fat keratic precipitates that produce a hazy vitreous. The onset can be acute or insidious. Recurrences have been reported up to 66 years after injury.8 Complications may include secondary cataract, glaucoma, and chronic maculopathy. Extraocular symptoms such as hearing loss, headache, and meningeal irritation can also occur.7 Surveillance and early treatment with immunosuppressive agents may prevent vision loss.
Summary. This patient’s case highlights that an appreciation of the spectrum of illness between geographic regions is especially important when evaluating children and pregnant women from international settings.2 Because of the lifelong risk of vision loss, ongoing ophthalmologic vigilance is crucial for individuals with a history of toxoplasmosis. Treatment with pyrimethamine/sulfadiazine and leucovorin is recommended for new and reactivated lesions. Additionally, because our patient may experience reactivation with pregnancy or acquire another more-virulent strain of T gondii, ongoing surveillance is important for both her and her future children.
References:
- Jones JL, Kriszon-Moran D, Rivera HN, Price C, Wilkins PP. Toxoplasma gondii seroprevalence in the United States 2009-2010 and comparison with the past two decades. Am J Trop Med Hyg. 2014:90(6):1135-1139.
- Maldonado YA, Read JS; Committee on Infectious Diseases. Diagnosis, treatment, and prevention of congenital toxoplasmosis in the United States. Pediatrics. 2017;139(2):e20163860.
- Singh S. Congenital toxoplasmosis: clinical features, outcomes, treatment, and prevention. Trop Parasitol. 2016;6(2):113-122.
- Pappas G, Roussos N, Falagas ME. Toxoplasmosis snapshots: global status of Toxoplasma gondii seroprevalence and implications for pregnancy and congenital toxoplasmosis. Int J Parasitol. 2009;39(12):1385-139
- Wallon M, Garweg JG, Abrahamowicz M, et al. Ophthalmic outcomes of congenital toxoplasmosis followed until adolescence. Pediatrics. 2014;133(3):e601-e608.
- Gilbert RE, Freeman K, Lago EG, et al; European Multicentre Study on Congenital Toxoplasmosis (EMSCOT). Ocular sequelae of congenital toxoplasmosis in Brazil compared with Europe. PLoS Negl Trop Dis. 2008;2(8):e277.
- Chu XK, Chan C-C. Sympathetic ophthalmia: to the twenty-first century and beyond. J Ophthalmic Inflamm Infect. 2013;3(1):49.
- Zaharia MA, Lamarche J, Laurin M. Sympathetic uveitis 66 years after injury. Can J Ophthalmol. 1984;19(5):240-243.
