Volume 15 - Issue 10 - October 2016

Consultant for Pediatricians

herpes infection
herpes infection
09/23/2016

Alexander K. C. Leung, MD—Series Editor, and Benjamin Barankin, MD

Alexander K. C. Leung, MD—Series Edit...
A 6-year-old girl presented with vesicles on the right lower lip.
09/23/2016
epstein pearls
epstein pearls
09/23/2016

Alexander K. C. Leung, MD, and Benjamin Barankin, MD

Alexander K. C. Leung, MD, and B...
A 2-week-old infant presented with whitish lesions on the roof of her mouth.
09/23/2016
smegma
smegma
09/23/2016
Kumara V. Nibhanipudi, MD, FAAP; Samrina Kahlon, MD; Jack Kevin Vassar, PA-C
A  20-month-old uncircumcised boy with no past medical history was brought to the emergency department by his mother with a complaint of a “white bump” on his penis.
09/23/2016
Paget-Schroetter syndrome
Paget-Schroetter syndrome
09/23/2016
Debbie W. Chen, MD; Gretchen Diemer, MD
An otherwise healthy 18-year-old man developed progressive right upper extremity pain, mild swelling, and ecchymosis 1 day after throwing 96 pitches at baseball practice.
09/23/2016
herpes infection
herpes infection
09/22/2016
Karoline Korah, DO; Kris Rooney, MD; April Bingham, MD
An 8-month-old girl presented with acute onset of fever, increased irritability, redness and swelling, and pain in her left hand.
09/22/2016
Top Papers Of The Month
Top Papers Of The Month
09/22/2016
Jessica Tomaszewski, MD
It is estimated that males make up about 5% to 10% of the cases of bulimia and anorexia nervosa overall.
09/22/2016
Vitamin D Recommendations
Vitamin D Recommendations
09/22/2016
Beau DiCicco, MD; Lynnette J. Mazur, MD, MPH; Helena Jenkinson, BS ; Elizabeth Eisenmenger, BS
When treating a patient with hypopigmented lesions, postinflammatory hypopigmentation and pityriasis alba must be considered.
09/22/2016
Vitamin D Recommendations
Vitamin D Recommendations
09/22/2016
Beau DiCicco, MD; Lynnette J. Mazur, MD, MPH; Helena Jenkinson, BS ; Elizabeth Eisenmenger, BS
When treating a patient with hypopigmented lesions, postinflammatory hypopigmentation and pityriasis alba must be considered.
09/22/2016
Vitamin D Recommendations
Vitamin D Recommendations
09/22/2016
Beau DiCicco, MD; Lynnette J. Mazur, MD, MPH; Helena Jenkinson, BS ; Elizabeth Eisenmenger, BS
When treating a patient with hypopigmented lesions, postinflammatory hypopigmentation and pityriasis alba must be considered.
09/22/2016
latent tuberculosis
latent tuberculosis
09/22/2016
Aniruddh Setya, MD; Priyanka Nair, MD
A 10-month-old girl was admitted to the hospital with complaints of fever, cough, and fast breathing for 5 days.
09/22/2016
latent tuberculosis
latent tuberculosis
09/21/2016
Bailee Olliff; Lana Soylu, MD, FAAP
The results of a physical examination showed that the boy had approximately 14 café au lait macules on his left trunk and 2 on his left armpit.
09/21/2016
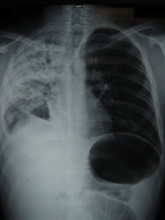
latent tuberculosis
latent tuberculosis
09/21/2016
Zachary Obinna Enumah, MA; Jeffrey M. Chinsky, MD, PhD
A 16-year-old boy presented to the emergency department after being referred by his primary care physician for having failed outpatient therapy for pneumonia.
09/21/2016