Volume 14 - Issue 7 - July 2015

Consultant for Pediatricians

Photoclinic
Photoclinic
07/20/2019
Jonathan Popler, MD; Ann Beach, MD
A 7-week-old girl presented with a chief concern of fussiness.
07/20/2019
Ocular disorders
Ocular disorders
09/02/2015
David Allen Austin, MD, FRCP; Samantha A. Schrier Vergano, MD, FAAP, FACMG; John W. Harrington, MD
What’s behind this father and son’s photophobia?
09/02/2015
Ticks
Ticks
07/22/2015
Matthew Allison, MS; Cathleen Cook, MD, FAAP
A 3-year-old girl presented to the emergency department with a chief concern of acute ataxia.
07/22/2015
Dental Eruption Cyst
Dental Eruption Cyst
07/22/2015
Sanjeev Y. Tuli, MD; Daphna Y. Barbeau, MD
A 16-month-old boy presented to a primary care clinic for symptoms of a viral upper respiratory infection.
07/22/2015
Rocky Mountain Spotted Fever
Rocky Mountain Spotted Fever
07/22/2015
William B. Wadlington, MD
A 6-year-old girl presented to the emergency department (ED) with a chief concern of altered mental status.
07/22/2015
Unicystic Ameloblastoma
Unicystic Ameloblastoma
07/22/2015
Cameron L. McBride, BS ; Vanessa Nwaozo, MD; Lynnette J. Mazur, MD, MPH
An 11-year-old girl with an unremarkable past medical history was referred to an orthodontist for braces. A panoramic radiograph taken at that visit revealed a mandibular bone mass, and the girl was...
07/22/2015
Bullying
Bullying
07/22/2015
Jessica Tomaszewski, MD
Cyberbullying is becoming increasingly frequent as adolescents have more access to electronic devices.
07/22/2015
Abuse
Abuse
07/21/2015
Amirtha V. Chinnadurai, MD; Peace Ibekwe, MD
A 12-year-old girl presented to the emergency department with a burning rash on her left forearm that had begun 2 hours before.
07/21/2015
Abuse
Abuse
07/21/2015
Marilyn McKim Barnes, MN, RN, ARNP
A 17-year-old girl presented to a Child Protection Team clinic for concerns that her father had beaten her the day before.
07/21/2015
gonococcal infection
gonococcal infection
07/21/2015
Joanne Lane, DO; Rianna Leazer, MD
An 18-year-old young adult presented with a 1-week history of progressive left knee pain and swelling.
07/21/2015
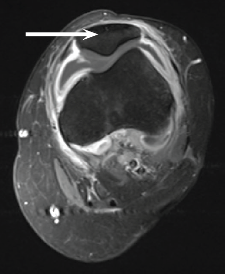
Hemangioma
Hemangioma
07/21/2015
Jennifer Zamora, PA-C; Alan Kwasman, MD; Timothy Mackey, MD
A 17-year-old adolescent presented with a chief concern of right foot pain.
07/21/2015
Erythema Nodosum
Erythema Nodosum
07/21/2015

Alexander K. C. Leung, MD—Series Editor, and Benjamin Barankin, MD

Alexander K. C. Leung, MD—Series Edit...
A 15-year-old girl presented with painful lesions on both legs of 7 days’ duration. The lesions initially had been erythematous but had turned brownish in the past 2 days.
07/21/2015
Lice infestation
Lice infestation
07/21/2015
Akshay Chaku, MD; Leigh Ann Lather, MD
This article reviews pediculosis epidemiology, pathophysiology and diagnosis, and discusses treatment options, including over-the-counter and prescription medications and nonpharmacologic approaches.
07/21/2015
id reaction
id reaction
07/21/2015
Carlos A. Perez, MD
A 13-year-old girl presented with a 2-week history of a new-onset erythematous vesicular eruption on her right palm.
07/21/2015