Volume 14 - Issue 5 - May 2015

Consultant for Pediatricians

Atopic Dermatitis
Atopic Dermatitis
05/26/2015
A 13-year-old boy with a history of chronic atopic dermatitis, which had mainly affected the antecubital and popliteal areas, presented with a diffuse papular eruption in the lower abdomen that had...
05/26/2015
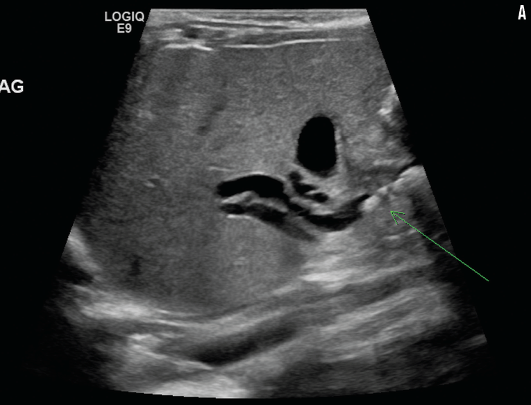
cholestasis
cholestasis
05/26/2015
A 30-day old infant was transferred to a children’s hospital. He had been born at 32 weeks’ gestation and arrived having never been fed, on total parenteral nutrition (TPN) and intravenous lipid emulsion...
05/26/2015
Kaposiform Hemangioendo-thelioma
Kaposiform Hemangioendo-thelioma
05/26/2015
An infant girl was noted to have jaundice with edema and violaceous discoloration of her right forearm at birth.
05/26/2015
osteogenesis imperfecta
osteogenesis imperfecta
05/26/2015
A 5-week-old girl with an uncomplicated birth history presented to a pediatric emergency department with concern for swelling of her right leg. There had been no known traumatic event.
05/26/2015
granuloma
granuloma
05/26/2015
Clifford Madsen, DO; B. Chance Gentry, MD
A 1-month-old boy presented to the clinic for a routine well-child visit. His mother brought up no concerns, but on physical examination, a soft, fleshy mass was noted to be protruding from the boy’s...
05/26/2015
lumbosacral hemangioma
lumbosacral hemangioma
05/26/2015
Lisa Bouma, MD; Magda Mendez, MD, FAAP; Sergey Prokhorov, MD; Apeksha Sathyaprasad, MD
A 2-month-old boy was referred to a neurology clinic for a superficial strawberry hemangioma over his lower back.
05/26/2015
duchenne muscular dystrophy
duchenne muscular dystrophy
05/26/2015
Roger Rossi, DO; Kathryn Eckert; Dawn Deike, DO; Chun Ho, MD
This article presents a case of severe DCM in a 15-year-old boy with DMD who presented clinically with gastrointestinal symptoms.
05/26/2015
barbae
barbae
05/23/2015

Alexander K. C. Leung, MD—Series Editor, and Benjamin Barankin, MD

Alexander K. C. Leung, MD—Series Edit...
A 17-year-old white adolescent boy presented with an 8-month history of painful papules on both sides of his neck.
05/23/2015
histoplasmosis
histoplasmosis
05/22/2015
Kristin E. Herbert, DO, MPH
A 13-year-old girl presented to a Florida emergency department with concern about chest pain, weakness, and weight loss.
05/22/2015
breastfeeding
breastfeeding
05/22/2015
Jessica Tomaszewski, MD
Breastfeeding offers children a number of long-lasting health effects such as a lower risk of developing respiratory tract infections, diarrhea, and otitis media.
05/22/2015
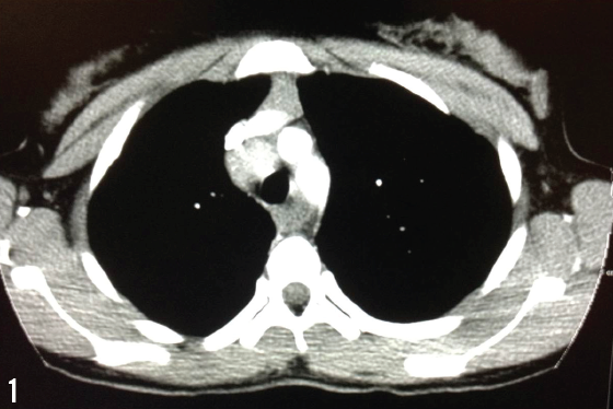
neuroblastoma
neuroblastoma
05/22/2015
Rhonda Graham, DO
A boy aged 2 years and 9 months was admitted to a hospital’s pediatric unit with a chief concern of difficulty breathing, which had started a few weeks ago.
05/22/2015
hunter syndrome
hunter syndrome
05/22/2015
Golder N. Wilson, MD, PhD
Hunter syndrome, or mucopolysaccharidosis II, is a genetic disorder caused by a deficiency of iduronate 2-sulfatase (I2S), an enzyme involved in the breakdown of mucopolysaccharides.
05/22/2015
hand-foot-mouth
hand-foot-mouth
05/22/2015
Barbara B. Wilson, MD; Krista N. Larson, BS; Jessica M. Kwock, MD
An otherwise healthy 15-year-old white adolescent presented with a 5-day history of a rash that first had been noted on his hands and feet.
05/22/2015
drug use
drug use
05/22/2015
To the Editor: I enjoy reading your journal, but I find one aspect particularly irksome. I am referring to your insistence on using only generic names for commonly used drugs.
05/22/2015