Volume 14 - Issue 10 - October 2015

Consultant for Pediatricians

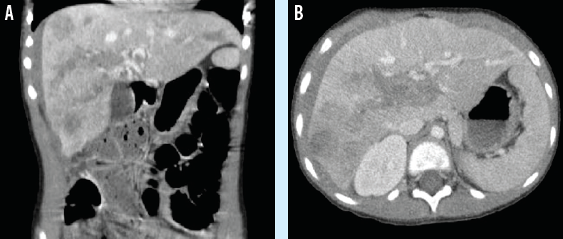
Lyme Disease
Lyme Disease
10/16/2015
Alexis S. Lieberman, MD; Genevieve A. Fasano
An 11-year-old boy presented to his pediatrician in an urban setting with left leg erythema, limping, lethargy, and fever.
10/16/2015
tinea incognito
tinea incognito
10/13/2015
Pavan Bang, MBBS
A 1½-year-old girl presented with a chief concern of a rash that had been present over her right thigh and buttock for approximately 6 months.
10/13/2015
poland syndrome
poland syndrome
10/13/2015
Lynnette J. Mazur, MD, MPH; Eduardo Mulanovich, BA; Jennifer Mitchell, BS; Rachael Keefe, MD, MPH
A 17-year-old male presented with hypoplasia of the left pectoralis muscle, areola, and nipple underneath self-made padding taped to his chest.
10/13/2015
Down Syndrome
Down Syndrome
10/13/2015
Veena Agusala; Bhargavi B. Kola, MD, MPA; Vivekananda Dasari, MD; Vijay Agusala
During the physical examination, both of a boy’s palms were noted to have a single straight line from one side to the other, consistent with bilateral single transverse palmar crease.
10/13/2015
sotos syndrome
sotos syndrome
10/13/2015
Carlos A. Perez, MD; Cynthia E. Herzog, MD; Sutapa Khatua, MD, MBBS
A 6-year-old girl with Sotos syndrome 1 presented with a 2-day history of abdominal pain and fever.
10/13/2015
acne
acne
10/13/2015

Alexander K. C. Leung, MD 
University of Calgary, Alberta, Canada

Benjamin Barankin, MD
Toronto Dermatology Centre, Toronto, Ontario, Canada

Alexander K. C. Leung, MD  Unive...
A 17-year-old Asian adolescent was concerned about unsightly lesions on his face, especially on the temples and cheeks.
10/13/2015
Erythema multiforme
Erythema multiforme
10/13/2015
Arianne Shadi Kourosh, MD, MPH; Molly A. Storer, BA, MS; Brent Ragar, MD
A 9-year-old boy with a history of congenital skeletal dysplasia presented for evaluation of a rash that had been present on his neck, trunk, and extremities for 2 days.
10/13/2015
Radiology Quiz
Radiology Quiz
10/13/2015
Maria N. Kelly, MD; Meredith S. Campbell; Carolyn G. Carter, MD, MS
A previously healthy 10-year-old girl presented to the emergency department for an ankle injury.
10/13/2015
Case In Point
Case In Point
10/13/2015
Andrew Faniku, MD; Osvaldo Regueira, MD; Michael Okogbo, MD
A 6-month-old girl presented to the clinic for her routine health maintenance visit. Her mother had noted a clear to whitish vaginal discharge that had started 2 weeks prior to the visit.
10/13/2015
Hospital Medicine
Hospital Medicine
10/13/2015
Jessica Tomaszewski, MD
Examining the demographics and trends of the diseases and conditions that lead to pediatric hospital stays can reveal wider implications for the care of children, especially when the cost of these inpatient...
10/13/2015
Positional Plagiocephaly
Positional Plagiocephaly
10/13/2015

Alexander K. C. Leung, MD—Series Editor; Amy A. M. Leung, OD; and Kam-Lun Ellis Hon, MD

Alexander K. C. Leung, MD—Series Edit...
A 5-month-old boy presented with mild flattening of the left occiput. The pregnancy was uncomplicated, and the mother was not on any medication.
10/13/2015
ewing sarcoma
ewing sarcoma
10/13/2015
Jennifer L. Weiner, MS, CPNP; Pamela L. Horn, MS, CNP, RNFA, MSN, CRNP; Thomas J. Scharschmidt, MD; Nicholas D. Yeager, MD
Ewing sarcoma is a rare and aggressive childhood cancer that generally is diagnosed in adolescents.
10/13/2015
Kawasaki Disease
Kawasaki Disease
10/13/2015
Trishna Sharma, MBBS; Parag Bhattarai, MD; Manu Sharma, MD; Riwaaj Lamsal, MD
A 4-year-old African American boy presented to the emergency department for evaluation of a generalized pruritic rash that had started on his face and had progressed to involve his entire body.
10/13/2015