Volume 13 - Issue 9 - September 2014

Consultant for Pediatricians

Osteopetrosis
Osteopetrosis
09/11/2014
Akshat Jain, MD
A 2-year-old girl presented with a chief concern of the hematologic abnormalities of anemia and thrombocytopenia.
09/11/2014
smoking
smoking
09/11/2014
Chalanda Jones, MD
While the number of children and adolescents smoking cigarettes has steeply declined in the United States in recent years, hookah use is growing in popularity in this country.
09/11/2014
Case Report
Case Report
09/11/2014
Heather B. Minto, MD; Kelly Maples, MD
A 10-year-old boy presented to an allergy and immunology clinic with an 8-month history of daily wheezing and coughing, as well as significant dyspnea after exercise, resulting in exercise limitation.
09/11/2014
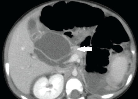
choledochal cyst
choledochal cyst
09/11/2014
Lauren Astrug, MD; Michael Baldovsky, DO; Daniel A. Thimann, MD
A 2-year-old girl, born at 30 weeks’ gestation with chronic lung disease, presented to the emergency department (ED) with concerns for constipation. She had been having ball-like stools for the past month. ...
09/11/2014
Diaper dermatitis
Diaper dermatitis
09/11/2014
Amy L. Gagnon, MD; Kenneth E. Greer, MD; Barbara B. Wilson, MD; Julia G. Gosis, BA, MD
While most eruptions in the diaper area are secondary to an irritant contact dermatitis, the differential diagnosis of diaper dermatitis includes many other inflammatory and infectious skin conditions. ...
09/11/2014
trichophytobezoar
trichophytobezoar
09/11/2014
Abdelkader Hawasli, MD; Laura Stewart, MD; Hernando Lyons, MD
A 4-year-old boy presented with a 3-week history of intermittent nonbloody diarrhea, nonradiating periumbilical abdominal pain that was relieved by passing stool, and a 1.8-kg weight loss. No vomiting,...
09/11/2014
ulerythema
ulerythema
09/11/2014

Alexander K. C. Leung, MD—Series Editor, and Benjamin Barankin, MD

Alexander K. C. Leung, MD—Series Edit...
A 17-year-old adolescent girl presented with a 12-year history of progressive hair loss involving the outer aspects of her eyebrows.
09/11/2014
acrodermatitis
acrodermatitis
09/11/2014
Michael Centilli, DO; Michael Legacy, OMS II; Michelle Legacy, DO; Eric Seiger, DO
A 3-year-old girl presented with an 18-month history of a widespread, pruritic rash that had not responded to numerous topical therapies.
09/11/2014
Warts
Warts
09/11/2014
There is excellent evidence-based medicine, known since its inception, that imiquimod has absolutely no effect on warts. Even the manufacturer admits that it should only be used on thin-walled warts...
09/11/2014